L’Odontoiatria del minimo intervento è una filosofia di cura del paziente basata sul trattamento delle cause della patologia ancor prima dei suoi sintomi. In ambito cariologico, va ricordato come la malattia cariosa sia una malattia da scompenso tra fattori protettivi e non protettivi tali per cui il fisiologico processo di demineralizzazione della struttura dentaria non sia bilanciato dalla capacità di remineralizzazione da parte del paziente. Il risultato clinico di questo scompenso è la lesione cariosa1.
La decisione sulla tipologia di trattamento da eseguire a carico di una determinata lesione cariosa sarà guidata da una accurata valutazione sullo stato di avanzamento della lesione e sul suo grado di attività. A questo scopo si suggerisce l’adozione della sistematica ICDAS2 (in grado di differenziare le lesioni cariose in iniziali, moderate, avanzate) e dei criteri di Nyvad3 (in grado di distinguere le lesioni cariose in non attive ed attiva). Intendere genericamente come “carie” una cavitazione in dentina, non è più sufficiente. A questo proposito, come suggerito dalle raccomandazioni cliniche in odontostomatologia, risulta mandatorio effettuare la prima visita odontoiatrica almeno entro i 18-24 mesi, indipendentemente dalla presenza o meno di problematiche dentali4 . Una volta individuata la lesione cariosa in termini di entità ed attività, sarà possibile valutare la tipologia di trattamento più indicata.
Trattamento non invasivo
Costituisce il pilastro del minimo intervento e va applicato sempre e comunque mediante motivazione ad una corretta alimentazione e utilizzo ragionato di prodotti fluorati5 (dentifrici, gel, vernici). Ad oggi esiste una crescente evidenza di alta qualità riguardo la possibilità di poter trattare anche lesioni cariose avanzate attraverso terapie non invasive realizzate con prodotti a base di argento e fluoro ad alte concentrazioni (Riva Star Aqua, SDI)6 (Fig. 1).
Trattamento micro invasivo
Indicato in caso di lesioni iniziali di pazienti ad alto rischio carie, consiste nella sigillatura dei solchi/infiltrazioni delle superfici lisce. La sua efficacia si basa sull’arresto della lesione7 ottenuto per mezzo di una combinazione tra effetto meccanico di barriera e, in caso di utilizzo di materiali bioattivi come i cementi vetroionomerici e i cosiddetti “smart materials”, un effetto biologico derivato dalla liberazione di ioni.
Trattamento mini invasivo
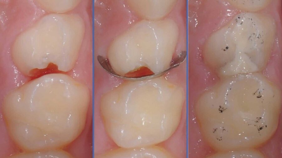
Riservato a lesioni moderate e avanzate, consiste principalmente (ma non solo) nel trattamento restaurativo diretto eseguito in modalità atraumatica o convenzionale attraverso il principio della rimozione selettiva della lesione cariosa. Storicamente la fase di rimozione della dentina è da sempre stata intesa come non selettiva (o totale) ossia che si conclude solo allorquando si raggiunga la cosiddetta dentina “dura” (hard dentine) aumentando quindi il rischio di esposizioni iatrogene pulpari. In odontoiatria pediatrica sarà suggeribile quindi limitarsi a una rimozione selettiva (o parziale) ossia che si conclude nel momento in cui si raggiunga la cosiddetta dentina “affetta” (ma non infetta) di consistenza intermedia tra la dentina dura e la dentina rammollita (Leathery & Firm dentine). È evidente come questa distinzione intraoperatoria sia tutt’altro che semplice e oggettiva da eseguire; a questo proposito è crescente l’evidenza a supporto della rimozione chemio-meccanica della lesione cariosa, ovverosia sull’ausilio di un mezzo chimico (a base di ipoclorito o di enzimi derivati dalla papaina) in grado di facilitare l’operatore durante questa delicata procedura8 (Fig. 2).
Come anticipato, il principio di rimozione selettiva è alla base del processo restaurativo che potrà essere eseguito in modalità atraumatica o convenzionale. Per quanto riguarda le modalità restaurativa atraumatica, questa fu introdotta da Frencken negli anni 90 e consisteva nell’utilizzo esclusivo di strumenti manuali nella fase di rimozione selettiva della lesione cariosa, e di cementi vetroionomerici polvere-liquido nella fase di restauro, il tutto senza ausilio di anestetico locale e isolamento assoluto del campo operatorio. Ad oggi esistono diverse varianti.
In termini di rimozione della lesione cariosa queste varianti consistono nell’utilizzo singolo o congiunto di:
- strumenti meccanici (rotanti, oscillanti);
- mezzi di rimozione chemio meccanica della carie (a base di ipoclorito di sodio o derivate dalla papaina);
- meccanismi di disinfezione chimica (SDF, Ozono) e luminosa (laser);
- foto-ablazione (laser).
In termini di restauro dell’elemento queste varianti consistono nell’utilizzo singolo o congiunto di:
- cementi vetroionomerici ad alta viscosità (Fig. 3);
- cementi vetroionomerici modificati con resina;
- materiali resinosi idrofili bioattivi (“smart materials”).
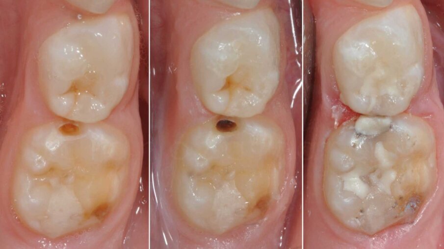
Al trattamento restaurativo atraumatico concettualmente si contrappone il trattamento restaurativo convenzionale, un trattamento che nella maggior parte dei casi può richiedere l’esecuzione di anestesia locale oltre che l’ottenimento di un isolamento assoluto del campo operatorio. In odontoiatria pediatrica minima invasività significa anche riduzione del numero di passaggi e conseguentemente dei tempi intra-operatori. A questo proposito sarà dunque consigliabile l’utilizzo di sistemi adesivi universali10, previa eventuale mordenzatura selettiva dello smalto, e di resine composite o smart di tipo “bulk”11 (Fig. 4) ossia in grado di essere stratificate mediante apporti di altezza pari a 4 mm.
Conclusioni
L’Odontoiatria pediatrica, oltre a richiedere adeguate abilità comunicative verso i piccoli pazienti ed i loro caregiver, richiede una alta competenza in termini di cariologia e di materiali dentari. La necessità di mantenere un continuo e attivo contatto intra operatorio con il bambino impone altresì il “fare proprie” le diverse procedure cliniche che andranno applicate con accuratezza e precisione.
Tag:
Perché il microscopio? In molti forum odontoiatrici si legge che il microscopio sia strumento non rilevante ai fini di una terapia ...
AMMAN, Giordania: Il passaggio dall’università al mondo professionale è, per molti studenti, un percorso carico di tensioni. La pressione psicologica ...
In attesa delle indispensabili misure del Governo rispetto agli interventi di assistenza nei confronti dei professionisti iscritti alle Casse di Previdenza ...
HONG KONG: La paura del dentista è uno dei principali ostacoli nelle cure odontoiatriche. Anche se è noto che è strettamente legata ...
Roberto Rosso della Key-Stone ha affermato in un’intervista che nel nostro Paese la protesi di “origine digitale” copre circa la ...
Prendiamo il caso di un odontoiatra che si affacci alla professione e voglia intraprendere il percorso come collaboratore presso colleghi o lanciarsi ...
Dental Tribune Italia ha avuto modo di intervistare il Dott. Alberto Rieppi in merito all’evoluzione dell’endodonzia e all’importanza che riveste ...
Per il controllo della patogenesi delle patologie orali è necessario sviluppare nuove strategie di prevenzione primaria in odontoiatria pediatrica ...
LOUGHBOROUGH, UK: In risposta alla crisi globale sull’obesità e alla sua comprovata connessione con la salute orale, i ricercatori della Loughborough ...
La Medicina Rigenerativa rappresenta il settore delle più recenti applicazioni scientifiche in campo medico. Il 24 e 25 febbraio in corso Francia, ...
Live webinar
mer. 22 aprile 2026
17:00 (CET) Rome
MDT Andreas Chatzimpatzakis
Live webinar
mer. 22 aprile 2026
17:00 (CET) Rome
Live webinar
mer. 22 aprile 2026
18:00 (CET) Rome
Live webinar
gio. 23 aprile 2026
17:00 (CET) Rome
Live webinar
gio. 23 aprile 2026
18:30 (CET) Rome
Live webinar
gio. 23 aprile 2026
19:00 (CET) Rome
Live webinar
gio. 30 aprile 2026
1:00 (CET) Rome
Dr. Renato Leonardo D.M.D.
To post a reply please login or register