L’esistenza di prove a lungo termine dell’associazione tra una condizione di iperglicemia ed esiti parodontali avversi è ormai nota in letteratura, come confermato dal Consensus Report della International Diabetes Federation (IDF) e European Federation of Periodontology (EFP) del 2018. L’evidenza di una relazione bidirezionale tra diabete e parodontite, patologie croniche non trasmissibili, è sostenuta da risultati di una molteplicità di studi clinici sperimentali che dimostrano l’efficacia della terapia parodontale non chirurgica nel migliorare il grado di compenso metabolico nel paziente diabetico1.
I soggetti diabetici, soprattutto quelli in fase di scompenso metabolico, sono particolarmente esposti al rischio di sviluppare gengivite e parodontite e, quest’ultima, in forma molto più severa rispetto ai soggetti non diabetici6-8. L’infiammazione, con l’aumento di interleuchina (IL) -1-β, fattore di necrosi tumorale-α, IL-6, attivatore del recettore del rapporto fattore-kappa B /ligando/osteoprotegerina, stress ossidativo e recettore Toll-like (TLR) fornisce il legame meccanicistico tra le due patologie1, 2.
A fronte dell’evidenza derivante dai dati sperimentali circa la comprovata correlazione tra malattia parodontale e patologia diabetica3, si pone, come centrale, la realizzazione di un approccio multidisciplinare al trattamento del paziente diabetico, che rilevi l’importanza di una proposta terapeutica integrata. Scopo precipuo dell’igienista dentale, accanto agli obiettivi a breve termine, è di fornire un trattamento indirizzato al conseguimento del miglioramento delle condizioni di salute orale, che si accompagnano ad un cambiamento favorevole della qualità di vita del paziente, garantendo una corretta educazione all’igiene orale individualizzata, motivando il paziente all’impiego di presidi per l’igiene domiciliare idonei alla condizione clinica associando, laddove sia necessario, l’utilizzo di agenti chimici per il controllo della placca batterica1-3. Nel trattamento del paziente affetto da diabete è di fondamentale importanza avere in considerazione il periodo d’insorgenza della malattia, la presenza di complicanze, il grado di compenso/scompenso metabolico, dati clinici che richiedono che l’aggiornamento venga effettuato periodicamente. A questo proposito, secondo quanto indicato dalle linee guida1, la somministrazione di un questionario iniziale seguito da un check up dei soggetti ad alto rischio di sviluppare il diabete, risulta efficace nel monitoraggio della potenziale insorgenza di un quadro di parodontite.
Caso clinico
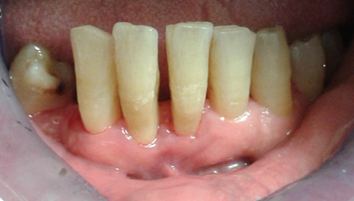
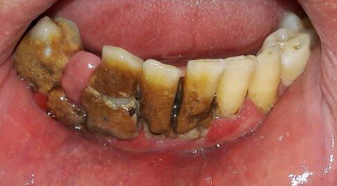
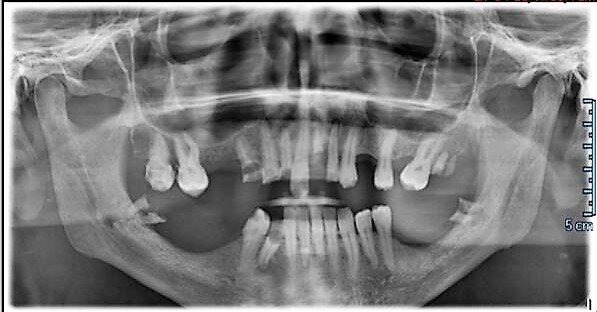
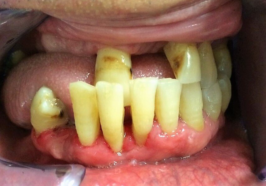
Descriviamo il caso di un paziente maschio di 56 anni con diagnosi di parodontite moderata generalizzata (Figg. 1-3), affetto da Diabete Mellito II in fase di scompenso (HbA1C 8,4%). Oltre alla malattia diabetica diagnosticata da 12 anni, il paziente presentava in anamnesi insufficienza renale, pregresso infarto miocardico acuto e storia di ipertensione arteriosa. I dati anamnestici hanno guidato la scelta dell’iter terapeutico da parte del team odontoiatrico.
In sede di valutazione clinica, il paziente presentava una scarsissima igiene orale e si evidenziavano evidenti segni di flogosi gengivale a causa di notevoli depositi di tartaro sopragengivale e sottogengivale, che rendevano difficoltoso un accurato esame parodontale. Successivamente, si è proceduto alla discussione in team circa la necessità di un intervento terapeutico personalizzato ed efficace che prendesse anche in esame la scarsa disponibilità emotiva e psicologica del paziente ad affrontarlo. Nel presente caso clinico l’adherence è stata considerata come un processo in continuo divenire. Adottando un approccio mutuato dal metodo biopsicosociale5 in una fase preliminare, un primo colloquio è stato svolto con il coniuge del paziente, al fine di instaurare un percorso riabilitativo di salute orale che fosse supportato anche dal caregiver.
Su indicazione dell’odontoiatra, la fase operativa dell’area di competenza dell’igienista dentale è stata scandita da una seduta di scaling succeduta da due sedute di root planing, pianificate in seguito ad esame parodontale completo, soltanto in seguito a colloquio motivazionale. La parodontite e la sua cronicità avevano avuto un impatto anche psicologico sul paziente, considerata anche la difficoltà oggettiva di self-care. L’obiettivo della fase motivazionale è stata un’educazione all’empowerment4, 5, inteso come coinvolgimento attivo del paziente nella cura della propria salute orale, sviluppatosi mediante l’acquisizione di capacità di applicazione di una tecnica di spazzolamento adeguata alle esigenze specifiche. A tal fine, al termine della seduta di scaling, il paziente è stato supportato simulando in ambulatorio una situazione di cura orale domiciliare, colmandone le lacunee e favorendo la presa di coscienza delle propria autoefficacia. Quindi, è stato affiancato dal caregiver nel controllo quotidiano della tecnica appresa nei 15 giorni seguenti. È stato consigliato l’utilizzo di uno spazzolino a setole medie (GUM® Technique® PRO) e per l’igiene degli spazi interdentali l’impiego di uno scovolino imbibito di clorexidina (GUM® Trav-Ler®) con elevata efficacia antibatterica. Inoltre, il paziente è stato istruito a eseguire sciacqui con clorexidina 0,12% associata a cetilpiridinio cloruro 0,05% (GUM® Paroex® 0,12% CHX + 0,05% CPC), per 30 secondi 2 volte/die per 7 giorni dopo la seduta di scaling.
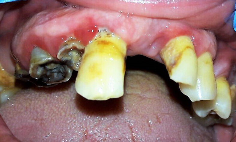
Il paziente è stato sottoposto a rivalutazione 14 giorni successivi alla prima seduta (Fig. 4), durante la quale si rilevavano segni flogistici persistenti; è stata pertanto data indicazione al paziente di eseguire sciacqui con clorexidina 0,06% associata a cetilpiridinio cloruro 0,05% (GUM® Paroex® 0,06% CHX + 0,05% CPC), indicata per un uso quotidiano, sino al termine del trattamento parodontale non chirurgico e avulsione degli elementi dentali compromessi, eccetto che nel giorno dell’intervento per non interferire con la stabilizzazione del coagulo. Il paziente è stato quindi sottoposto a controllo delle condizioni di igiene orale settimanalmente per 4 settimane consecutive. La rivalutazione parodontale a distanza di tre mesi dal trattamento parodontale non chirurgico ha evidenziato un significativo miglioramento dell’aspetto delle mucose (Figg. 5, 6), quale segno tangibile della risoluzione della flogosi, e riduzione della profondità di tasca al sondaggio parodontale. Inoltre, si è potuto apprezzare una riduzione dei valori di emoglobina glicosilata (HbA1C) pari a 0,4%. Il paziente è sottoposto a controllo parodontale e debridement sopragengivale a intervalli trimestrali, seguito da sciacqui con clorexidina 0,12% associata a cetilpiridinio cloruro 0,05% (GUM® Paroex® 0,12% CHX + 0,05% CPC), per 30 secondi 2 volte/die per 7 giorni dopo la seduta di scaling.
Conclusioni
Il caso descritto è esemplificativo della complessità che l’insorgenza di un quadro clinico di parodontite cronica in un paziente diabetico con scarso controllo metabolico può presentare. Un ulteriore motivo di interesse per il caso riportato, deriva dalla riduzione significativa dei valori di emoglobina glicosilata in seguito a trattamento parodontale non chirurgico.
Alla luce delle considerazioni effettuate l’intervento parodontale non chirurgico risulta efficace nell’influenzare positivamente il controllo metabolico del paziente diabetico con un effetto anche sul miglioramento riferito della qualità della vita, condizione clinica che potrebbe apportare benefici non soltanto alla patologia primitiva ma anche alle variabili psicologiche. Sarà comunque indispensabile per il clinico e per il paziente avere sempre presente il grado di compenso metabolico, in termini di emoglobina glicosilata Per raggiungere tali obiettivi non si potrà non tenere conto dell’educazione del diabetico, della sua capacità di autogestione nonché della scelta di presidi di igiene orale domiciliare idonei. Ciò sarà importante soprattutto per i pazienti in con diabete instabile caratterizzato da ampie escursioni glicemiche. Anche se l’obiettivo nella terapia è comune a tutti i pazienti affetti da parodontite, rivolto in entrambi i casi al conseguimento della salute orale, le modalità e le strategie di intervento saranno diversi nel diabetico rispetto al soggetto sano.
Bibliografia
- Sanz M., Ceriello A., Buysschaert M., Chapple I., Demmer RT., Graziani F., Herrera D., Jepsen S., Lione L., Madianos P., Mathur M., Montanya E., Shapira L., Tonetti M., Vegh D.. (2018) Scientific evidence on the links between periodontal diseases and diabetes: Consensus report and guidelines of the joint workshop on periodontal diseases and diabetes by the International Diabetes Federation and the European Federation of Periodontology. Journal of Clinical Periodontology 45(2):138-149.
- Chapple I.L.C., Genco R.. (2013) Diabetes and periodontal diseases: consensus report of the Joint EFP/AAP Workshop on Periodontitis and Systemic Diseases. Journal of Clinical Periodontology 40 (s14), 106-112.
- Albert, D.A., Ward, A., Allweis P., Graves D.T., Knowler W.C., Kunzel C., Leibel R.L., Novak K.F., Oates T.W., Papapanou P.P., Schmidt A.M., Taylor G.W., Lamster I.B., Borgnakke W. S., Ylostalo P. V., Taylor G. W., Genco R. J.. (2013) Effect of periodontal disease on diabetes: systematic review of epidemiologic observational evidence. Journal of Clinical Periodontology 40 (Suppl 14), 135–152.
- (1977) Psychol Rev; 84:191-215.
- Funnell, Anderson. (2004) Clinical Diabetes 22:123-127.
- Bagdade JD., Nielson KL., Bulger RJ.. Reversible abnormalities in poorly controller diabetic patients. Am J Med Sci 263:451, 1972.
- Campus C., Salem A., Uzzau S., Baldoni E., Tonolo G.. Diabetes and Periodontal Disease: a Case-Control Study. J Periodontol 76:418-425, 2005.
- Genco RJ., Grossi SG., Ho A., Nishimura F., Murayama Y.. A Proposed Model Linking Inflammation to Obesity, Diabetes, and Periodontal Infections J Periodontol 76(11S):2075s-2083s, 2005.
Tag:
I pazienti non vedenti o ipovedenti non hanno mai avuto a disposizione, fino ad oggi, sussidi per comprendere a fondo le tecniche di igiene orale, il suo ...
Perché è importante il mantenimento della salute orale nei pazienti diabetici?
Il diabete può influire significativamente sulla salute orale, aumentando ...
L’obiettivo che un professionista deve perseguire, se vuole occuparsi di wellness, è mantenere la salute dei tessuti del cavo orale sani per ...
Migliorare l’estetica del sorriso è desiderio di tutti i pazienti, ma la gestione di un cavo orale che abbia i tessuti dentali e parodontali ...
La correzione di disallineamenti, di diastemi o di malocclusioni sia in età infantile che durante l’adolescenza o in età adulta può essere curata con ...
Baierbrunn - Nei bambini, l’educazione all’igiene dentale è indispensabile. Sembra che a trarne vantaggio siano anche i loro genitori. ...
L'igienista dentale non può aprire uno studio autonomo di igiene orale, senza la presenza di una struttura guidata dall'odontoiatra. A confermarlo il...
Il contesto in cui opera l’igienista è la salute orale in collegamento con la promozione della salute più in generale. Per operare si ...
Un locale commerciale di pochi metri quadri, possibilmente nello stesso stabile dello studio odontoiatrico, una selezione dei migliori prodotti per ...
L’epidemiologia delle endocarditi infettive è un settore della medicina molto complesso. In teoria, qualsiasi episodio di batteriemia ...
Dr. Bruce McFarlane Certified Specialist in Orthodontics Fellow: Royal College of Dentists of Canada Diplomate: American Board of Orthodontics
Live webinar
mer. 15 aprile 2026
20:00 (CET) Rome
Live webinar
gio. 16 aprile 2026
2:00 (CET) Rome
Linda Hecker MS, BSDH, RDH
Live webinar
gio. 16 aprile 2026
18:00 (CET) Rome
Dr. Pär-Olov Östman, Dr. Robert Gottlander DDS
Live webinar
ven. 17 aprile 2026
18:00 (CET) Rome
Live webinar
ven. 17 aprile 2026
19:00 (CET) Rome
Dr. Stuart Yeaton BDentSc, MOrth
Live webinar
lun. 20 aprile 2026
19:00 (CET) Rome
Dr. Alberto Monje DDS, MS, PhD
To post a reply please login or register