TORONTO, Canada: I ricercatori canadesi hanno suggerito che la placca dentale, biofilm batterico che si forma sulle superfici dentali, può essere utilizzato per prevedere, identificare e trattare le malattie. In un laboratorio di recente istituzione, raccolgono e analizzano campioni di placca per esaminare i biomarcatori correlati a determinate condizioni orali e sistemiche, come il diabete.
In particolare, i ricercatori analizzano il gene del rRNA 16S, unico per ogni tipo batterico, ma presente in tutti, che può pertanto essere utilizzato per distinguere le singole specie. L’analisi della placca richiede solo poche ore, e i risultati aiutano gli scienziati a determinare il rischio di malattia e a far luce sull'efficacia di un rapido e specifico trattamento.
La ricerca è condotta presso il recente Oral Microbiome and Metagenomics Research Laboratory della Facoltà di odontoiatria dell’Università di Toronto. È attualmente focalizzata sulla placca come fonte di biomarcatori microbiologici per la malattia, ma mira anche ad individuare i biomarcatori infiammatori, per esempio.
«Stiamo fornendo un servizio di sorveglianza batterica ai pazienti», ha detto il dottor David Lam, il corresponsabile del laboratorio. «Non esiste nessun altro servizio come questo in Canada ad oggi. Vogliamo andare oltre, monitorando la progressione della malattia e le risposte alle terapie».
In futuro, del lavoro del laboratorio potranno beneficiare anche i malati di cancro di testa e collo sottoposti a radioterapia, che spesso come ritengono i ricercatori danneggia mucosa orale e le ghiandole salivari. Con lo sviluppo di terapie basate sulla trasposizione della placca, per esempio, i campioni di placca sani potrebbero contribuire a stabilizzare il contenuto batterico della bocca e proteggere efficacemente i denti senza l'uso di prodotti chimici, operazioni o altre procedure invasive.
Anche se l'analisi della saliva è già parte della ricerca sul microbioma orale, i numeri batterici nella saliva possono variare e fluttuare a causa di una serie di fattori, tra cui la dieta. Tuttavia, secondo i ricercatori, il contenuto batterico da placca rimane stabile nel tempo. Inoltre, ad esempio, il test della placca può essere di facile accesso e non invadente confrontato con altri metodi, come ad esempio quelli che coinvolgono il sangue.
Le patologie infettive che colpiscono i tessuti parodontali e perimplantari hanno un comune primum movens eziopatogenetico: l’accumulo di placca ...
Le patologie infettive che colpiscono i tessuti parodontali e perimplantari hanno un comune primum movens eziopatogenetico: l’accumulo di placca ...
BIRMINGHAM, Regno Unito: In un recente studio, i ricercatori dell’Università di Birmingham hanno esaminato le cartelle di pazienti con una storia di ...
LONDRA, Regno Unito: Sebbene la comprensione delle cause e dei possibili trattamenti per la malattia parodontale sia migliorata notevolmente negli ultimi ...
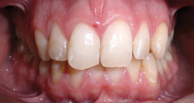
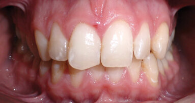
Un uomo di 21 anni si presenta con un importante disturbo dovuto a una ricaduta di un trattamento ortodontico effettuato durante l’adolescenza. Ha ...
Un uomo di 21 anni si presenta con un importante disturbo dovuto a una ricaduta di un trattamento ortodontico effettuato durante l’adolescenza. Ha ...
Jalupro è un sistema integrato di prodotti per la cura e la rigenerazione cutanea, pensato per contrastare i principali segni dell’invecchiamento. ...
SAN JOSE, California, USA: Secondo un rapporto pubblicato di recente, l’ aumento della domanda di trattamenti dentali e l’incremento della ...
Pennsylvania. Non bisogna cercare su Internet per scoprire che la gomma da masticare è argomento controverso. In un recente studio, che potrebbe aiutare a ...
TURKU, Finlandia: L’ansia dentale ha implicazioni sui trattamenti odontoiatrici, in quanto i pazienti possono ritardare le cure, influenzando ...
Live webinar
gio. 7 maggio 2026
17:00 (CET) Rome
Live webinar
gio. 7 maggio 2026
18:00 (CET) Rome
Live webinar
gio. 7 maggio 2026
18:00 (CET) Rome
Dra. Maria Carolina Erhardt, Dra. Thais Tomé Feldens
Live webinar
gio. 7 maggio 2026
20:30 (CET) Rome
Live webinar
lun. 11 maggio 2026
18:00 (CET) Rome
Live webinar
lun. 11 maggio 2026
19:00 (CET) Rome
Live webinar
mar. 12 maggio 2026
19:00 (CET) Rome
To post a reply please login or register