Questo semplice protocollo consente la rapida eliminazione del biofilm e del tartaro nei pazienti con apparecchi ortodontici. Gli apparecchi ortodontici possono essere un fattore scatenante che contribuisce all’insorgere di gengiviti, alla formazione di carie ed alla demineralizzazione dei denti. Inoltre, il biofilm crea attrito sui fili dell’apparecchio. La prevenzione e il mantenimento durante la fase di trattamento sono quindi essenziali (Fig. 1).
Caso 1 - Trattamento GBT su un paziente con brackets
Step 1, 2 e 3
Utilizzare il rivelatore di placca per identificare la presenza e la posizione del biofilm. Questo passaggio è decisivo per motivare i pazienti e far capire loro l'importanza della prevenzione e del mantenimento, seguendo le istruzioni per l'igiene orale domiciliare. Il rivelatore di placca (Figg. 2, 3) consente una facile rimozione del biofilm con l’utilizzo della tecnologia AIRFLOW. Tutto il biofilm e il tartaro di recente formazione, presenti intorno all'apparecchio e nell’area sotto e sopragengivale, possono essere rimossi con semplicità (Figg. 4, 5).
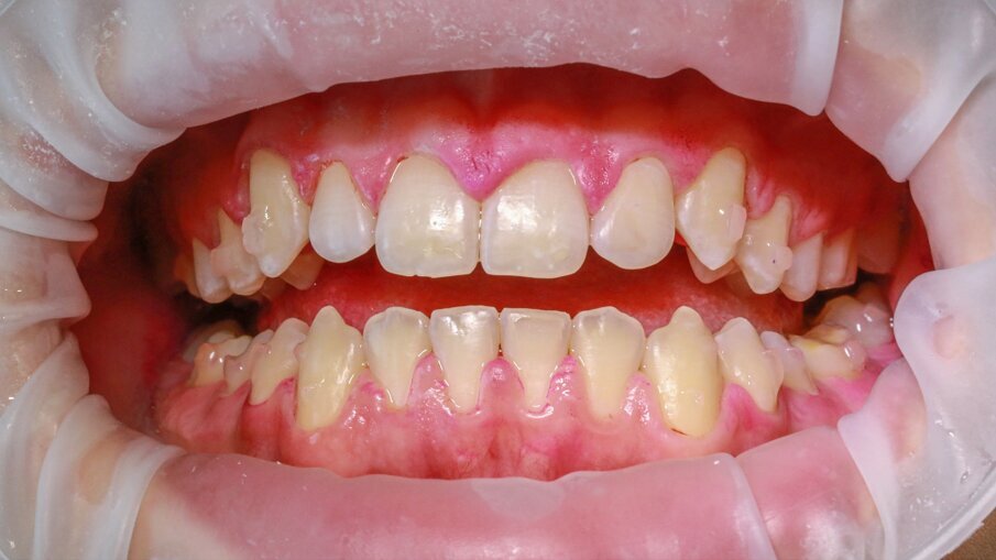
Step 4 e 5
Completa eliminazione del biofilm. Dopo la diagnosi e la localizzazione, la Guided Biofilm Therapy prosegue con lo step AIRFLOW, nel quale si utilizza l'esclusiva polvere PLUS (Fig. 3). Ciò consente una pulizia profonda e la completa eliminazione del biofilm e del tartaro di recente formazione non solo a livello sotto e sopragengivale, ma anche nelle zone di difficile accesso. La superficie degli apparecchi ortodontici, dei brackets e dei fili non viene alterata e il tessuto gengivale viene preservato. Infatti, grazie alla sua granulometria ultrafine (14 μm), la polvere PLUS consentirà una pulizia efficiente e delicata.
Fig. 2 - Situazione iniziale.
Fig. 3 - Applicazione del rivelatore di placca.
Fig. 4 - Rimozione di biofilm e tartaro, utilizzando il manipolo AIRFLOW e la polvere PLUS.
Fig. 5 - Dopo la pulizia con la polvere PLUS, il paziente riacquista una bocca pulita.
Fig. 6 - Questo protocollo si distingue per il suo comfort e consente la pianificazione di sedute di profilassi di richiamo senza resistenza da parte del paziente.
Caso 2 - Trattamento GBT su un paziente con allineatori trasparenti
Fig. 7 - Localizzazione del biofilm (© Marie-Claude Ekstand).
Fig. 8 - Dopo la pulizia con la polvere PLUS, il paziente riacquista una bocca pulita (© Marie-Claude Ekstand).
Fig. 9 - Dopo la pulizia con la polvere AIRFLOW PLUS, con allineatori trasparenti (© Marie-Claude Ekstand).
Step 6, 7 e 8
Grazie al protocollo GBT, l’utilizzo di strumenti ad ultrasuoni non è più dato per scontato. Infatti, dopo la pulizia con AIRFLOW e polvere PLUS, il clinico può facilmente identificare gli eventuali depositi di tartaro rimanenti: l'utilizzo di strumenti ad ultrasuoni diventa necessario solo su queste concentrazioni di tartaro. Il finissimo strumento PS di EMS consente una decalcificazione completa, anche in aree di difficile accesso (Fig. 6). Segui EMS Dental - Italia su Facebook per rimanere sempre aggiornato sulle novità, gli ultimi aggiornamenti di prodotto, iniziative esclusive ed eventi. Visita la pagina: facebook.com/EMSDentalItalia.
L'articolo è stato pubblicato sulla rivista Dentoscope, n. 221/2020 e su Dental Tribune Italian Edition n. 2/21.
Tag:
A soli 7 anni dall’ingresso nel mercato italiano, con una crescita costante che l’ha portata nella Top Ten già dal quinto anno, Alpha-Bio Tec punta ...
Il dott. Gregorio Tortora condivide la sua esperienza clinica nella gestione delle patologie parodontali, soffermandosi in particolare sulle recessioni ...
Cent’anni di storia in uno sguardo attento. Prossima a festeggiare le cento candeline, Isabella Picciotto racconta la sua avventura nel campo della ...
Nel 2011 verrà lanciato il Global Awards Dental Tribune per celebrare l'eccellenza in odontoiatria
Sono trascorsi 40 anni da quando Sandro Martina costituì una prima società unipersonale, attiva poco oltre i confini della provincia di ...
Il 4 febbraio 2026, nella Sala Refettorio della Camera dei deputati, si è svolto il Convegno “Odontoiatria speciale nel soggetto fragile” organizzato ...
La normativa italiana in merito alla pubblicità sui farmaci, anche se datata, è molto severa tanto che, a differenza di quanto avviene in ...
BERLINO, Germania: A cinque anni dalla sua entrata in vigore, il Regolamento UE sui dispositivi medici 2017/745 (MDR) sta ridefinendo il modo in cui i ...
L’estetica del sorriso riveste un ruolo importante nelle relazioni sociali. Le crescenti esigenze estetiche della popolazione hanno favorito lo ...
San Francisco ‒ Un approccio a vari livelli che includa una valutazione del rischio di carie, misure preventive energiche e restauri conservativi può ...
Live webinar
gio. 7 maggio 2026
2:00 (CET) Rome
Ms. Ellen Karlin, Dr. Sara Karlin
Live webinar
gio. 7 maggio 2026
17:00 (CET) Rome
Live webinar
gio. 7 maggio 2026
18:00 (CET) Rome
Live webinar
gio. 7 maggio 2026
18:00 (CET) Rome
Dra. Maria Carolina Erhardt, Dra. Thais Tomé Feldens
Live webinar
gio. 7 maggio 2026
20:30 (CET) Rome
Live webinar
lun. 11 maggio 2026
18:00 (CET) Rome
Live webinar
lun. 11 maggio 2026
19:00 (CET) Rome
To post a reply please login or register