Negli ultimi vent’anni l’odontoiatria ha vissuto una profonda evoluzione: dall’attenzione alla patologia si è passati a un approccio più ampio che include l’estetica come parte integrante del percorso terapeutico. Oggi si parla infatti di “odontoiatria estetica”, concetto parallelo alla medicina estetica, che risponde ai crescenti bisogni dei pazienti.
Il sorriso, come afferma Tony Robbins nei suoi “6 bisogni primari dell’uomo”, ha un impatto profondo sul senso di sicurezza, di significatività, sulla crescita personale e professionale e, infine, sulle relazioni interpersonali. Un sorriso poco curato può compromettere la percezione di sé e la fiducia sociale. Uno studio della American Academy of Cosmetic Dentistry ha evidenziato che la quasi totalità del campione considera un bel sorriso essenziale per il successo personale e professionale: il 70% ritiene che un sorriso poco attraente riduca le possibilità di carriera, mentre un terzo ammette di nascondere il proprio sorriso nelle fotografie.
L’estetica dentale, dunque, non è solo un fattore estetico, ma un indicatore di salute e autostima. L’industria dello sbiancamento dentale – insieme a quella degli allineatori ortodontici – continua a crescere costantemente, stimando un giro d’affari globale di circa 12 miliardi di dollari (Data Bridge Market Research). L’associazione tra allineatori trasparenti e trattamenti sbiancanti risponde a un’esigenza condivisa di miglioramento estetico e psicologico. Lo sbiancamento dentale è considerato dalla comunità scientifica un trattamento conservativo per trattare le discromie dei denti per la sua semplicità di utilizzo ed efficacia rispetto ad altre metodiche invasive come l’uso di corone e faccette ed è uno dei trattamenti più richiesti in ambito odontoiatrico.
Sbiancamento dentale in età adolescenziale
L’età adolescenziale (12–17 anni) rappresenta una fascia di popolazione particolarmente sensibile all’immagine personale. Diversi studi hanno rilevato un crescente interesse verso lo sbiancamento dentale, motivato principalmente da ragioni estetiche e di autostima. Un sondaggio condotto nel Regno Unito nel 2020 ha rivelato che circa il 40% degli adolescenti intervistati si dichiarava interessato al trattamento sbiancante. In un altro studio su 2.495 bambini e adolescenti, il 32% si è detto insoddisfatto del colore dei propri denti e il 19% dei genitori condivideva questa percezione1. Studi clinici condotti su adolescenti hanno mostrato una buona aderenza al trattamento sbiancante e un interesse crescente verso la procedura. In uno studio clinico randomizzato su 60 adolescenti, è stata dimostrata l’efficacia e la sicurezza del trattamento domiciliare supervisionato dall’odontoiatra2.
Nonostante l’assenza di dati precisi sull’incidenza d’uso in questa fascia d’età, l’evidenza clinica suggerisce che lo sbiancamento sia ormai diffuso anche tra i 12 e i 17 anni. Negli Stati Uniti, l’American Academy of Pediatric Dentistry raccomanda l’uso controllato di prodotti a base di perossido dai 12 anni in su. In Europa, invece, la normativa limita l’uso dei prodotti sbiancanti contenenti perossido a pazienti maggiorenni, vietandone l’impiego a fini estetici nei minori di 18 anni. Tuttavia, la domanda è in aumento: molti adolescenti acquistano prodotti OTC (senza perossido) online e senza supervisione dell’odontoiatra e igienista dentale.
Il mercato europeo dei prodotti sbiancanti OTC (strisce, gel, dentifrici) cresce con un tasso medio annuo del 4%, e si stima che entro il 2028 raggiungerà un valore globale di circa 9,6 miliardi di dollari3. In Italia tali prodotti sono facilmente reperibili, sia in farmacia sia online. Tuttavia, studi recenti4 (Nature, 2024) hanno confermato che i prodotti OTC risultano meno efficaci dei kit professionali e spesso portano a recidive cromatiche nelle settimane successive.
Quadro normativo
La direttiva europea 2011/84/EU, recependo le conclusioni del Comitato Scientifico per la Sicurezza dei Consumatori (CSSC), ha stabilito limiti stringenti per l’uso dei prodotti sbiancanti a base di perossido, al fine di tutelare i consumatori da rischi dovuti a un mercato non regolamentato. L’utilizzo di perossido di idrogeno fino al 6% è considerato sicuro se il trattamento è eseguito sotto la supervisione di un odontoiatra o igienista dentale qualificato.
Pertanto, i prodotti contenenti fino al 6% di perossido possono essere utilizzati solo in ambito odontoiatrico. Tuttavia, la normativa ne vieta l’uso nei minori di 18 anni per finalità estetiche. Le principali criticità nei pazienti adolescenti sono legate alla possibilità di un distretto radicolare incompleto con apice pervio, all’ampiezza della camera pulpare e al maggiore rischio di sensibilità.
È importante sottolineare che la normativa non vieta l’utilizzo del perossido per finalità terapeutiche, purché giustificate e supervisionate. In tal caso, il trattamento rientra nelle competenze dell’odontoiatra, ai sensi della Legge 409 comma 2 del 1985 (e successive modifiche 2023), che consente la prescrizione di tutti i medicamenti necessari all’esercizio della professione ivi compreso lo sbiancamento con perossido purché abbia un fine terapeutico. Per tali trattamenti è obbligatorio: documentare clinicamente la necessità terapeutica e ottenere un consenso informato specifico firmato da entrambi i genitori o dal tutore legale.
Indicazioni cliniche allo sbiancamento dentale nel paziente minorenne
Lo sbiancamento dentale a fini terapeutici può essere indicato nei seguenti casi:
- discromie dentarie di origine patologica o farmacologica;
- ipomineralizzazione dello smalto;
- fluorosi dentale;
- colorazioni da tetracicline (oggi meno frequenti nei minori);
- necrosi pulpare post-traumatica;
- trattamento sbiancante integrato a protocolli conservativi (microabrasione, infiltrazione con resine);
- problematiche psicologiche legate a ridotta autostima.
La responsabilità clinica e legale di tali trattamenti rimane in capo all’odontoiatra, che deve valutare e giustificare ogni singolo caso.
Aspetti psicologici e impatto sociale
Numerosi studi hanno dimostrato che i difetti dentali – come denti scuri, mal allineati o macchiati – rappresentano una delle principali cause di bullismo scolastico, con una frequenza doppia rispetto ai casi legati al peso corporeo5. I giovani con denti ben allineati e un sorriso luminoso sono percepiti come più attraenti, intelligenti e socialmente competenti. L’intervento terapeutico nei casi di discromia non mira soltanto a un miglioramento estetico, ma soprattutto alla prevenzione delle ripercussioni psicologiche quali ansia, depressione e bassa autostima.
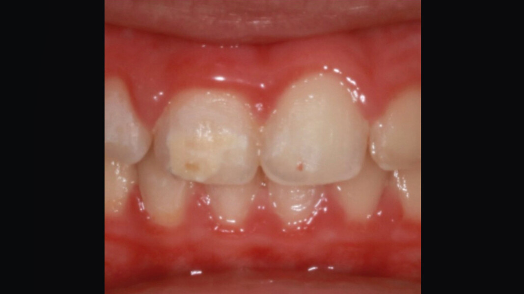
Uno studio colombiano6 ha riportato che il 64% degli adolescenti affetti da fluorosi dentale percepisce il proprio sorriso come “anormale”, il 70% come segnale di possibile malattia e il 60% tende a nasconderlo per imbarazzo. Le “DDE” (Defects of Dental Enamel) – tra cui M.I.H., fluorosi, ipomineralizzazione traumatica e amelogenesi imperfetta – hanno una prevalenza in Europa compresa tra il 6% e il 38%.
Tali alterazioni determinano smalto poroso e opaco, con variazioni di rifrazione della luce che generano macchie biancastre o brunastre, specialmente sulle superfici vestibolari. Le DDE sono associate a ipersensibilità, aumentata incidenza di carie e disagio estetico. Numerosi studi confermano che il trattamento di tali difetti migliora significativamente la qualità di vita correlata alla salute orale.
Per questo motivo è stata stilata una classificazione che si basa sulla qualità di vita correlata alla salute orale “Oral Health- related Quality of Life”, dove viene presa in considerazione non solo la salute orale dell’individuo ma anche il benessere funzionale, emotivo, delle aspettative e soddisfazione per la cura e consapevolezza di se.
Le nuove tecnologie sbiancanti
Le innovazioni tecnologiche hanno permesso di poter trattare pazienti giovani in modo sicuro e minimamente invasivo, riducendo gli effetti collaterali più comuni come ipersensibilità e aumento della rugosità dello smalto7, 8. Da oltre un decennio, Blancone si è posta l’obiettivo di sviluppare trattamenti sbiancanti efficaci, sicuri e rapidi in modo da diminuire gli svantaggi e gli effetti indesiderati legati al trattamento sbiancante: missione ampiamente raggiunta con i presidi in office e con i trattamenti domiciliari.
Diversi studi hanno confermato che i trattamenti domiciliari a basse concentrazioni di perossido di carbammide sono fondamentali nel trattamento delle DDE9. Tuttavia, percentuali elevate (≥20%) possono causare sensibilità dentale comparabile o superiore a quella dei trattamenti in-office7, 8. Per tale motivo, la maggior parte delle formulazioni domiciliari prevede l’aggiunta di agenti desensibilizzanti, come il nitrato di potassio7, 8.
Un’altra criticità riguarda l’aumento della rugosità dello smalto dopo lo sbiancamento, più marcata nei trattamenti domiciliari rispetto a quelli ambulatorial7, 8. Tale fenomeno riduce l’idoneità del trattamento nei pazienti con ipersensibilità preesistente, white spot o recessioni gengivali7, 8. La letteratura segnala che la demineralizzazione durante lo sbiancamento, seppur reversibile, può aumentare il rischio di ipersensibilità fino al 70%, soprattutto nei giovani che presentano delle camere pulpari più ampie7, 8.
Grazie alla tecnologia brevettata Tooth Rejuvenation, Blancone ha sviluppato il trattamento domiciliare Home+, in grado di contrastare la demineralizzazione e ridurre quasi completamente la sensibilità dentinale. Ciò è reso possibile da una formulazione innovativa che combina l’azione ossidativa del perossido con l’attivazione sinergica delle vitamine D e K, le quali stimolano la produzione di ioni calcio e fosfato e favoriscono la deposizione di nanoparticelle di idrossiapatite (nHAP).
Il risultato è un ambiente rigenerativo che promuove la remineralizzazione dello smalto e della dentina esposta, con effetto sbiancante, protettivo e desensibilizzante, senza necessità di agenti aggiuntivi. Le nanoparticelle di idrossiapatite, inoltre, creano un effetto biomimetico migliorando la luminosità dei denti. Studi condotti con microscopia a forza atomica (AFM) presso l’Università di Genova hanno dimostrato che il trattamento Blancone Home+ è in grado di conciliare efficacia sbiancante e riduzione della rugosità superficiale, a differenza di altri prodotti che mostrano un aumento significativo della stessa.
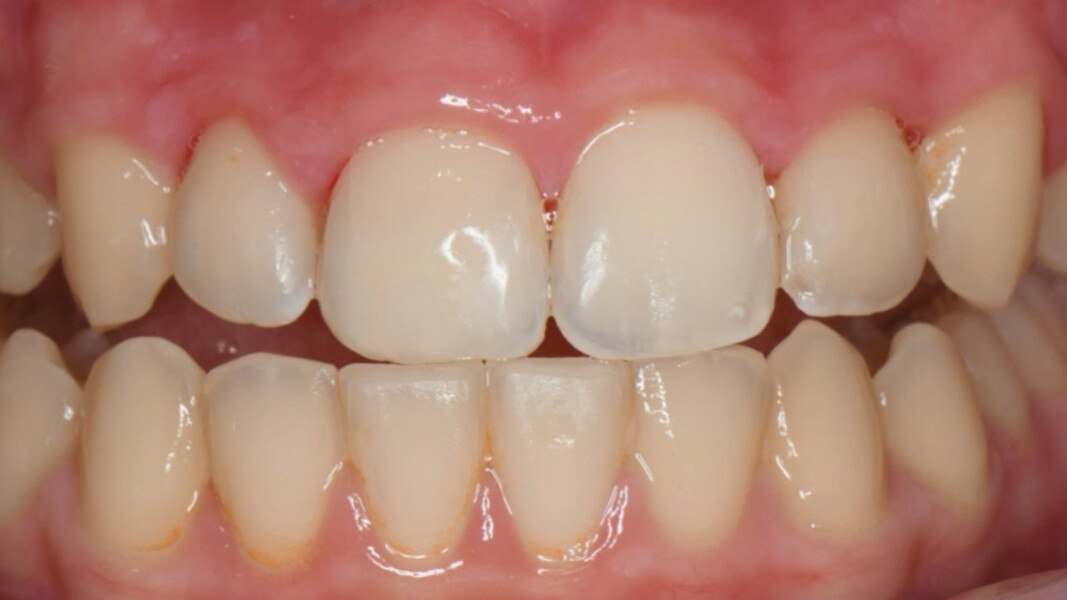
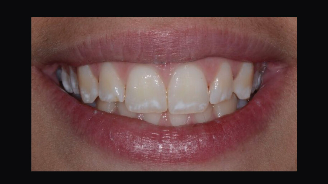
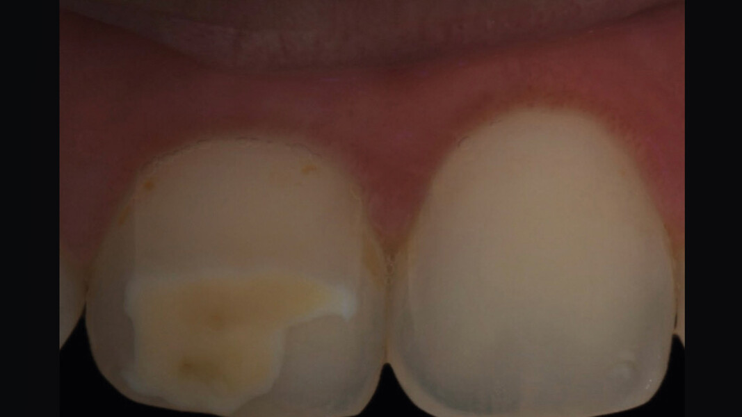
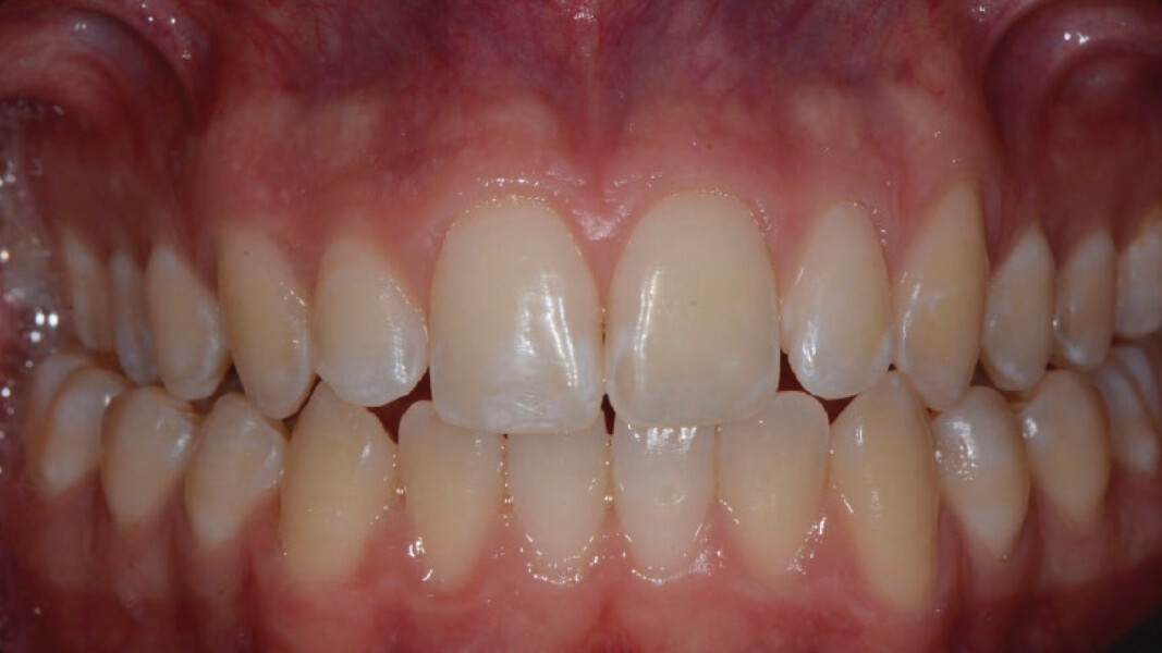
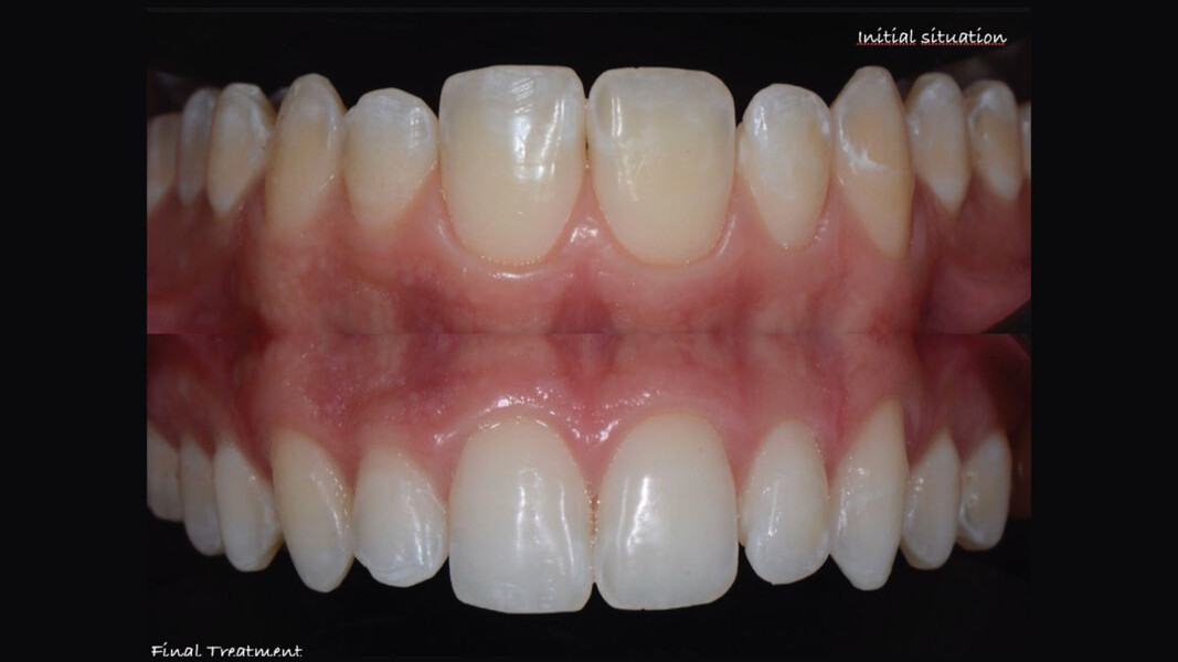
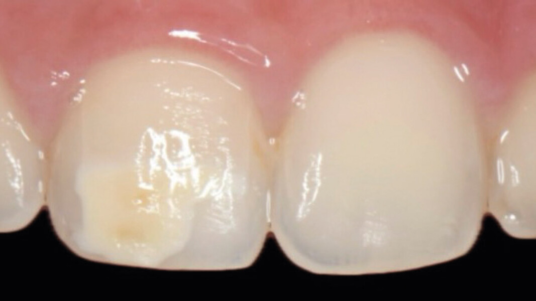
La formulazione Blancone Home Plus Ever (PC 7%, nHAP 1,5%) si è rivelata particolarmente efficace anche nei pazienti con DDE, inclusi i pazienti minorenni. La bassa concentrazione di perossido di carbammide (7%) decolora selettivamente i ponti tiolici responsabili delle pigmentazioni, mentre l’urea contribuisce alla rimozione controllata della matrice organica dello smalto ipomaturo, migliorando l’outcome di un eventuale trattamento con resine infiltranti. Il meccanismo brevettato Tooth Rejuvenation garantisce l’assenza di sensibilità e la formazione di un ambiente rigenerativo che riduce le white spot superficiali, limitando così la necessità di procedure più invasive (Fig. 1).

Fig. 1 – Processo di deproteinizzazione con PC al 7%. Il PC, contenente urea, rimuove parzialmente il materiale organico ipomaturato dalla rete dello smalto, migliorando così il tasso di penetrazione di prodotti successivi, come le resine infiltranti.
To post a reply please login or register