Le cause principali delle complicanze a carico delle strutture protesiche, quali le fratture delle componenti implantari o protesiche, risiedono nel sovraccarico occlusale e nella mancanza di passività della connessione implanto-protesica1, 2.
L’adattamento passivo della protesi consegue anche dalla precisione della presa dell’impronta e dalla conseguente possibilità di replicare la posizione degli impianti sul modello di laboratorio3-5. Nei casi di edentulia completa, è stato dimostrato che lo splintaggio degli impianti, associato a una tecnica di presa di impronta “pick-up” garantisce una maggiore accuratezza; alcuni autori hanno dimostrato che tale condizione può essere efficacemente realizzata connettendo i monconi attraverso una barra metallica6, 7. Le protesi tipo Toronto-Branemark richiedono, in particolare, la realizzazione di una sovrastruttura metallica completamente passiva sia per rendere possibile l’osteointegrazione degli impianti8, 9 sia per evitare le complicanze protesiche già descritte10. La solidarizzazione degli impianti può avvenire tramite saldatura di un’unica barra di titanio ai diversi monconi11 con elevata predicibilità nella riabilitazione a medio-termine attraverso protesi fissa a carico immediato sia del mascellare inferiore che superiore12. Questa tecnica, tuttavia, richiede che l’operatore, oltre a dotarsi dell’apposita strumentazione, possieda la manualità necessaria a raggiungere la completa passivazione della barra, operazione non immediata e che richiede una determinata curva di apprendimento; tale operazione, inoltre, viene compiuta in una fase avanzata dell’intervento, in condizioni di affaticamento sia dell’operatore che del paziente. Tutte queste caratteristiche fanno sì che oggi la solidarizzazione tramite barra degli impianti per mezzo della saldatura intra-orale non abbia avuto, nonostante la comprovata efficacia, un’ampia diffusione presso i potenziali utilizzatori.
Questo articolo vuole descrivere una tecnica alternativa di splintaggio tramite barra, denominata OkSplint/OkWeld, che prevede un’operatività decisamente più semplice; tale tecnica, già impiegata da tempo con successo presso lo studio di uno degli autori (AM), è attualmente oggetto di studi biomeccanici e clinici volti a valutarne scientificamente l’efficacia anche a medio-lungo termine.
La tecnica OkSplint/OkWeld
La tecnica prevede l’impiego di un abutment primario, composto da un componente dinamico che comprende due barre in titanio contrapposte e un componente statico, su cui quello dinamico viene posizionato e stabilizzato per interferenza meccanica secondo il principio del “Cono-Morse” (Fig. 1). Le barre in titanio contrapposte trovano alloggiamento in apposite cavità di un abutment secondario. Sia il componente statico dell’abutment primario che l’abutment secondario, entrambi realizzati in titanio di grado 5 e quindi dotati di elevata resistenza e resilienza meccaniche, si connettono ad una connessione conica dritta o angolata attraverso una vite passante. La tecnica prevede che dopo l’inserimento degli impianti, sugli stessi siano connessi alternativamente gli abutment primari e secondari, e che le barre dei componenti dinamici, in titanio di grado 2 e quindi malleabili e facilmente modellabili, siano piegate fino a farle alloggiare nelle cavità dell’abutment secondario, con il vantaggio di poter ripetere l’operazione infinite volte (in quanto si ritroverà sempre un riferimento riposizionando il componente dinamico che porta le barre in estensione), fino all’ottenimento di una modellazione che consenta un alloggio passivato negli slot dell’abutment secondario. La barra viene quindi stabilizzata definitivamente sull’abutment secondario utilizzando del cemento resinoso dedicato (per metallo). Tale tecnica è denominata “OkSplint”. La tecnica può essere impiegata anche in abbinamento alla saldatura intraorale (“OkWeld”). In questo caso l’abutment secondario non presenta le cavità per accogliere le barre dell’abutment primario. Tutte le componenti del sistema sono state oggetto di simulazioni matematiche attraverso l’approccio FEM (Finite Elements Model) al fine di valutarne la resistenza ai carichi cui le stesse possono essere potenzialmente sottoposte (Fig. 2). La sequenza fotografica (Fig. 3) illustra un esempio di caso eseguito con la tecnica OkSplint.
Fig.1 - Le componenti del sistema OkSplint e come le stesse si connettono tra loro. A, il componente statico dell’abutment primario; B, il componente dinamico; C, l’abutment secondario con gli alloggi per le “braccia” del componente dinamico. Nell’immagine sottostante è mostrata il dettaglio della connessione tra le tre componenti.
Fig. 2 - Un esempio di simulazione attraverso modelli matematici dei carichi, rappresentati con una scala colorimetrica, cui sono sottoposti i componenti utilizzati nell’applicazione della tecnica OkSplint nelle tre configurazioni “All on Two”, “All on Four” e “All on Six”. Simulazioni di questo tipo permettono di valutare con precisione, e già in fase di progettazione, la resistenza delle strutture che saranno prodotte al fine di assicurare che le stesse possiedano ampi margini di tolleranza alle sollecitazioni meccaniche cui saranno sottoposte una volta realizzate, e siano quindi intrinsecamente sicure.
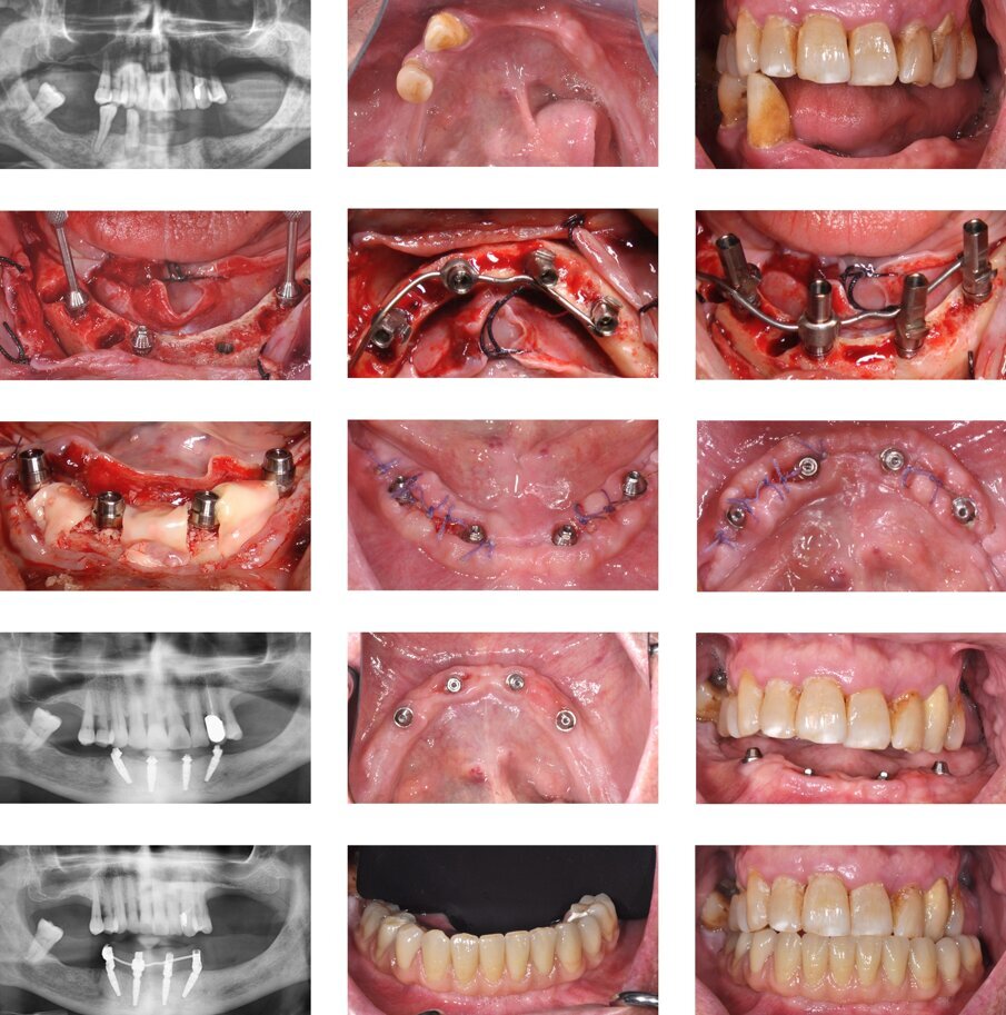
Fig. 3 - Un caso illustrativo dell’impiego della tecnica OkSplint. Un paziente, con alcuni elementi compromessi nell’arcata inferiore, viene sottoposto ad estrazione e riabilitazione dell’arcata ora edentula attraverso l’inserimento di quattro impianti osteointegrati, secondo l’approccio “All-on-four”. Gli abutment sono splintati attraverso la tecnica OkSplint per realizzare una protesi tipo Toronto-Branemark.
La tecnica introduce alcuni cambiamenti significativi rispetto quella di splintaggio attraverso barra, che mirano a semplificare l’operatività del chirurgo e a permettere di ottenere più facilmente la passivazione dell’intera sovrastruttura metallica di solidarizzazione degli impianti; il principio è quello di evitare di dovere adattare un’intera barra a più monconi, ma di suddividere la barra in porzioni che, essendo più corte e dovendo connettere solo due impianti adiacenti, vedono diminuire significativamente il numero di vincoli meccanici tridimensionali che devono essere rispettati per ottenere la solidarizzazione del manufatto. La solidarizzazione complessiva viene quindi raggiunta connettendo progressivamente segmenti più brevi e quindi di più facile gestione. L’operatività nel cavo orale è facilitata ulteriormente dal fatto che le componenti dinamiche non richiedono alcuno strumento per il loro fissaggio, stabilizzandosi su quelle statiche per conometria. La presenza degli opportuni alloggi sugli abutment secondari facilita ulteriormente l’ottenimento della passivazione: la struttura sarà passiva quando si constaterà che la barra ingaggia l’alloggio senza tensioni. La realizzazione di questo framework, oltre a fornire i vantaggi indicati durante la presa dell’impronta evita la realizzazione di una struttura in laboratorio, operazione anch’essa che può causare problemi di passività al manufatto, oltre che richiedere un costo aggiuntivo.
La tecnica OkSplint permette all’operatore non familiare con l’utilizzo della saldatrice intraorale di acquisire in breve tempo la capacità di costruire sovrastrutture metalliche completamente passive; l’operatore invece familiare con la saldatrice intraorale, utilizzando la tecnica OkWeld vedrà comunque ridotti i tempi operativi e otterrà con più facilità una struttura dotata del necessario grado di passivazione.
Bibliografia
- Sakka S., Baroudi K., Nassani MZ.. Factors associated with early and late failure of dental implants. J Investig Clin Dent. 2012 Nov;3(4):258-61.
- Kohavi D.. Complications in the tissue integrated prostheses components: clinical and mechanical evaluation. J Oral Rehabil. 1993 Jul;20(4):413-222.
- Lorenzoni M., Pertl C., Penkner K., Polansky R., Sedaj B., Wegscheider WA.. Comparison of the transfer precision of three different impression materials in combination with transfer caps for the Frialit-2 system. J Oral Rehabil. 2000 Jul;27(7):629-38.
- Papaspyridakos P., Chen CJ., Gallucci GO., Doukoudakis A., Weber HP., Chronopoulos V.. Accuracy of implant impressions for partially and completely edentulous patients: a systematic review. Int J Oral Maxillofac Implants. 2014 Jul-Aug;29(4):836-45.
- Moreira AH., Rodrigues NF., Pinho AC., Fonseca JC., Vilaça JL.. Accuracy Comparison of Implant Impression Techniques: A Systematic Review. Clin Implant Dent Relat Res. 2015 Oct;17 Suppl 2:e751-64.
- Lee HJ., Lim YJ., Kim CW., Choi JH., Kim MJ.. Accuracy of a proposed implant impression technique using abutments and metal framework. J Adv Prosthodont. 2010 Mar;2(1):25-31.
- Del’Acqua MA., Chávez AM., Compagnoni MA., Molo Fde A. Jr. Accuracy of impression techniques for an implant-supported prosthesis. Int J Oral Maxillofac Implants. 2010 Jul-Aug;25(4):715-21.
- Aparicio C.. A new method to routinely achieve passive fit of ceramometal prostheses over Brånemark osseointegrated implants: a two-year report. Int J Periodontics Restorative Dent. 1994 Oct;14(5):404-19.
- Wicks RA., deRijk WG., Windeler AS.. An evaluation of fit in osseointegrated implant components using torque/turn analysis. J Prosthodont. 1994 Dec;3(4):206-12.
- Kan JY., Rungcharassaeng K., Bohsali K., Goodacre CJ., Lang BR.. Clinical methods for evaluating implant framework fit. J Prosthet Dent. 1999 Jan;81(1):7-13.
- Degidi M., Gehrke P., Spanel A., Piattelli A.. Syncrystallization: a technique for temporization of immediately loaded implants with metal-reinforced acrylic resin restorations. Clin Implant Dent Relat Res. 2006;8(3):123-34.
- Degidi M., Nardi D., Piattelli A.. A six-year follow-up of full-arch immediate restorations fabricated with an intraoral welding technique. Implant Dent. 2013 Jun;22(3):224-31.
Tag:
Paziente di anni 67, di sesso maschile, si presenta al clinico avendo un circolare superiore con parodontosi. Il clinico, il dott. Silvio De Simone, decide ...
La paziente donna 64 anni si presenta all’attenzione del dentista con un quadro clinico generale complesso. Eseguita l’anamnesi si procede a ...
MELBOURNE, Australia: con la nuova mostra “It’s a Gas! Dentistry & Cartoons” l’università di Melbourne fa rivivere la ...
SALONICCO, Grecia: Con la diffusione sempre più ampia dei flussi di lavoro digitali nell’odontoiatria restaurativa, l’accuratezza degli scanner ...
La paziente in questione si presenta alla nostra attenzione nell’estate 2014: donna di 47 anni con anamnesi negativa. La bocca era in buone condizioni...
La paziente in questione si presenta alla nostra attenzione nell’estate 2014: donna di 47 anni con anamnesi negativa. La bocca era in buone condizioni...
La paziente è una donna di 32 anni con amelogenesi imperfetta ipoplasica con anomalie superficiali.
La paziente è una donna di 32 anni con amelogenesi imperfetta ipoplasica con anomalie superficiali.
La tecnica di rialzo di seno mascellare è una procedura chirurgica atta a ripristinare la mancanza ossea verticale nella regione posteriore del mascellare ...
La molteplicità e la sofisticatezza nell’ambito degli elementi protesici in implantologia permettono al professionista di fare la scelta ...
Live webinar
mer. 15 aprile 2026
20:00 (CET) Rome
Live webinar
gio. 16 aprile 2026
2:00 (CET) Rome
Linda Hecker MS, BSDH, RDH
Live webinar
gio. 16 aprile 2026
18:00 (CET) Rome
Dr. Pär-Olov Östman, Dr. Robert Gottlander DDS
Live webinar
ven. 17 aprile 2026
18:00 (CET) Rome
Live webinar
ven. 17 aprile 2026
19:00 (CET) Rome
Dr. Stuart Yeaton BDentSc, MOrth
Live webinar
lun. 20 aprile 2026
19:00 (CET) Rome
Dr. Alberto Monje DDS, MS, PhD
Live webinar
mer. 22 aprile 2026
17:00 (CET) Rome
MDT Andreas Chatzimpatzakis
To post a reply please login or register