Il dibattito sulle cause della malocclusione è in auge fin dalla nascita della scienza ortodontica, ma la risposta è stata trovata? Nella tradizione ortodontica, sono diversi i fattori di cui si è valutata l’influenza sulle determinanti ambientali e genetiche della malocclusione. Vi è un consenso comune sul fatto che la posizione dei denti sia maggiormente influenzata dal punto di vista ambientale e che lo sviluppo scheletrico lo sia dal punto di vista genetico.
Fattori genetici
Lauc et al. (2003) affermano che i fattori genetici hanno un ruolo significativo nella malocclusione, citando un numero di studi su gemelli. Però, le correlazioni genetiche tra fratelli sono intrinsecamente fallaci in quanto non considerano l’influenza di movimenti condivisi, che Garn et al. (1979) hanno definito come “effetto co-abitazionale”.
Nonostante ciò, alcuni tratti sembrano essere caratteristici tra membri della stessa famiglia, e una possibile spiegazione è che tutti gli animali sembrano ereditare alcune funzioni muscolari. Wiley (1962) descrive il particolare rituale di accoppiamento dello spinarello, affermando “la struttura e la sequenza di questi movimenti sono una parte del make-up genetico del pesce e della forma del suo corpo”.
Gli studi epidemiologici sulla malocclusione dimostrano che questa non segue le leggi di Mendel dell’ereditarietà. Mew (1986) cita l’esempio dell’anemia falciforme, che fornisce una sorta di immunità alla malaria. È diventata endemica in popolazioni dove è un vantaggio per la sopravvivenza, e mostra una progressiva diffusione familiare e geografica.
La malocclusione, però, non ha mostrato alcun tipo di diffusione progressiva, con ogni permutazione trovata in ogni angolo del globo. Una modifica evoluzionaria di questa grandezza richiederebbe anche milioni di anni, non una sola generazione e, inoltre, quale vantaggio genetico avrebbe la malocclusione perché si concretizzi questa supposta modifica evoluzionaria?
Certamente, vi è una qualità di irrazionalità al modello genetico per l’eziologia della malocclusione, ma qual è la risposta?
Fattori ambientali
L’evidenza delle cause ambientali è formidabile. Weiland et al. (1997) hanno confrontato i crani di maschi austriaci del 19° secolo con quelli di loro contemporanei, trovando che la modifica nella dieta portava a mostrare livelli di malocclusione significativamente superiori.
Corruccini e Lee (1984) hanno riportato che la malocclusione era significativamente peggiore nei bambini cinesi in U.K. rispetto ai genitori immigranti cresciuti in aree meno sviluppate. Dato che i fattori genetici erano invariati, la malocclusione della prole è stata attribuita alla dieta, alla perdita prematura dei denti decidui a causa di carie e respirazione orale.
Corruccini e Beecher (1981, 1983, 1984) hanno anche dimostrato che la dieta con alimenti morbidi aumenta significativamente le malocclusioni dentali e scheletriche in topi, macachi e primati. Questo è dovuto soprattutto a una minor tonicità dei muscoli della masticazione, con il risultato di una iperattività compensatoria dei muscoli dell’espressione facciale.
Probabilmente i più significativi sono stati gli esperimenti di Harvold sui primate in cui la respirazione orale indotta ha causato una serie di malocclusioni e tutte includevano un’aumentata altezza facciale, uno spazio mandibolare più pronunciato e un angolo mandibolare più ampio: in breve, discrepanze scheletriche e dentali. La conclusione di Harvold era che la respirazione orale era il fattore scatenante, ma è un “reclutamento muscolare deviante” che causa direttamente uno sviluppo anomalo.
Il peso dell’evidenza, sia che appartenga alla scuola genetica o ambientale, sembra portare al fatto che la disfunzione muscolare sia la causa della malocclusione. Il tipo e il valore nutrizionale della dieta hanno dimostrato di avere un impatto sulla tonicità dei muscoli facciali, la respirazione orale causa un “reclutamento muscolare deviante” e anche dal punto di vista genetico, il regno animale mostra una marcata tendenza all’ereditarietà della funzione (disfunzione) muscolare.
L’influente manifesto di P.R. Begg del 1954 affermava che una mancanza di alimenti duri nelle diete moderne porta a una minor usura interprossimale e di conseguenza a un maggior affollamento. Sebbene Begg credesse che il fattore ambientale causasse affollamento dentale, la sua teoria si basava sulla convinzione che la forma scheletrica venga ereditata e non sia modificabile.
Corruccini (1990), però, screditò la sua ricerca e riconobbe che le cifre di Begg rendono questa teoria ridondante in quanto l’affollamento e l’attrito aumentano con l’età.
Nonostante non siano state considerate, le affermazioni di Begg servono ancora come razionale e giustificazione per gli ortodontisti di oggi per accorciare le arcate dentarie mediante estrazioni.
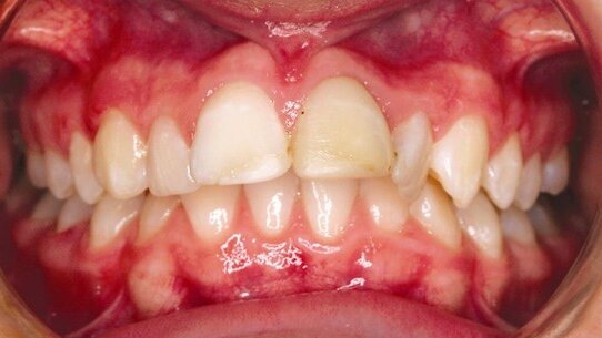
Il profilo di questa ragazza di 13 anni (Fig. 1) mostra una mandibola gravemente sottosviluppata, con un conseguente overbite. La fatica dei muscoli mentali mostra anche una “deglutizione inversa” con attività mentale, che è la causa della malocclusione scheletrica.
Dopo sei mesi di applicazione di un dispositivo miofunzionale di una terapia miofunzionale, l’allentamento della tensione muscolare ha permesso alla mandibola di traslare anteriormente, con un apparentemente spontaneo allineamento inferiore come conseguenza positiva (Fig. 2).
Nonostante l’evidenza, l’industria sostiene il concetto delle cause muscolari della malocclusione a lunghezza di braccio perché quando viene riconosciuto, allora vi è l’imperativo morale che i grossi cambiamenti siano improrogabili.
Quel momento è ora.
Articoli dello stesso autore: Movimento dentale: scienza della salute o eccessiva cosmetica?
L’articolo è stato pubblicato sul numero 3 di Dental Tribune Italy 2012 speciale Ortho Tribune.
La bibliografia complete è disponibile presso l’editore.
Per il prossimo 4 ottobre Bone System ha organizzato il primo Focus Internazionale sulla Perimplantite. Un evento che sconvolgerà il panorama ...
BRUXELLES, Belgio: Presso il Parlamento Europeo la Platform for a Better Oral Health in Europe (Piattaforma per una miglior salute orale in Europa) ospita ...
NEW YORK, USA: Le malattie orali e la depressione sono entrambe destinate a diventare sempre più diffuse nei prossimi decenni, e recenti scoperte ...
BILBAO, Spagna: Sebbene le implicazioni sistemiche dei disturbi neuropsichiatrici siano ampiamente riconosciute, la loro connessione con una scarsa salute ...
Vendere uno studio dentistico rappresenta un momento cruciale per qualsiasi professionista, ed è fondamentale evitare errori costosi durante il processo di...
REGENSBURG, Germania: Nei flussi di lavoro CAD, le differenze tra algoritmi software e strategie di progettazione possono portare a variazioni clinicamente ...
SEATTLE, Stati Uniti: l'accumulo di biofilm può portare a molti problemi di salute orale, tra cui gengiviti, parodontiti e perdita dei denti, nonché altre...
Negli ultimi decenni la robotica ha assunto un ruolo di primaria importanza per lo sviluppo di nuove tecniche di chirurgia mini-invasiva video-assistita. Si...
In occasione del 56° Congresso Amici di Brugg, il professore Antonio Carrassi ha presentato i risultati di un’indagine multicentrica sul tema ...
Eseguita dal dott. Arturo Imbelloni e dall’Odt. Roberto Iafrate.
L’intervento inter-disciplinare combinato ortodontico-protesico può ...
Live webinar
mer. 22 aprile 2026
17:00 (CET) Rome
MDT Andreas Chatzimpatzakis
Live webinar
mer. 22 aprile 2026
17:00 (CET) Rome
Live webinar
mer. 22 aprile 2026
18:00 (CET) Rome
Live webinar
gio. 23 aprile 2026
17:00 (CET) Rome
Live webinar
gio. 23 aprile 2026
18:30 (CET) Rome
Live webinar
gio. 23 aprile 2026
19:00 (CET) Rome
Live webinar
gio. 30 aprile 2026
1:00 (CET) Rome
Dr. Renato Leonardo D.M.D.
To post a reply please login or register