Introduzione
La Socket-Shield Technique (SST) è una procedura ormai consolidata, che ha già 13 anni di letteratura ed è sostenuta in Italia da una Società Scientifica (SISS – Società Italiana Socket Shield) che ne ha tracciato indicazioni e protocolli operativi.
La tecnica consiste nel mantenimento di una piccola quota di radice sul versante vestibolare. Tale piccolo frammento, svuotato di contenuto endodontico, privo di apice e con forma a “C”, ha lo scopo di mantenere il legamento parodontale e, quindi, l’esile strato di osso vestibolare definito bundle-bone. L’obiettivo finale della tecnica è il mantenimento di tutto il complesso osteomucoso vestibolare, preservando così tutto il patrimonio di tessuti calcificati e tessuti molli a sostegno della riabilitazione implanto-protesica.
Le indicazioni principali alla SST sono: integrità della parete radicolare vestibolare e presenza del bundle-bone, assenza di mobilità parodontale.
Il trattamento con SST di elementi dentari affetti da riassorbimento radicolare esterno rimane un’indicazione controversa: parrebbe teoricamente rischioso mantenere una piccola quota di radice vestibolare su un elemento dentario che sia già stato oggetto di rimaneggiamento per opera di cellule clastiche di origine ossea. Tuttavia, anche in base alle esperienze maturate in questi anni dall’Autore e dagli altri soci fondatori della SISS, il riassorbimento radicolare esterno rimane una controindicazione alla tecnica quando questo riguardi l’aspetto vestibolare della radice (Figg. 1, 2). Se il processo patologico rimane confinato sull’aspetto palatino o linguale, la tecnica può essere messa in atto, con il vantaggio finale di mantenere tutti i volumi sull’aspetto vestibolare: margine gengivale, bozze radicolari, gengiva cheratinizzata e papille.
Caso clinico
Il caso presentato riguarda una paziente di 62 anni, senza patologie degne di nota, già trattata presso altri studi professionali con una serie di riabilitazioni protesiche su monconi (corone singole). Nel 2021, si presenta alla nostra osservazione lamentando dolenzia costante sull’elemento 3.3 canino inferiore di sinistra, vitale e già rivestito con una corona in ceramica.
L’esame di primo livello (radiografia endorale) mostra la presenza di un minus dei tessuti calcificati a carico della radice. Si impone per ovvie ragioni un approfondimento volumetrico 3D: soltanto una CBCT ci consentirà di localizzare correttamente la lesione e valutarne la posizione, l’estensione e l’eventuale recuperabilità dell’elemento dentario. Il taglio trasversale della radiografia 3D mostra un riassorbimento radicolare esterno che riguarda la porzione linguale dell’elemento dentario (Figg. 1-4). Il riassorbimento presenta una posizione particolarmente sfavorevole, in quanto si estende già al di sotto del margine osseo crestale su un elemento dentario peraltro già trattato da un punto di vista protesico (Figg. 2, 3). Le opzioni terapeutiche proposte alla paziente sono sostanzialmente due: trattamento endodontico e rifacimento del restauro protesico, previo accesso chirurgico sul lato linguale con allungamento di corona clinica, oppure impianto post-estrattivo con tecnica Socket-Shield. La paziente sceglie questa seconda opzione e firma regolare consenso informato.
La paziente viene sottoposta a scansione intraorale (Trios3, 3Shape) e si procede alla sovrapposizione del file STL con la sequenza di file DICOM ottenuta dalla CBCT (DEXIS OP 3D Pro, Palodex), grazie a un apposito software di progettazione implantare (DTX Studio Clinic e Implant, DEXIS/Nobel Biocare) (Fig. 4) che consente la pianificazione implantare in base al progetto protesico.
Il giorno della chirurgia, si procede all’intervento utilizzando il protocollo “Preserving
Nature” proposto dalla SISS (Figg. 5-7), che sostanzialmente prevede una decoronazione dell’elemento dentario e un trattamento della radice secondo una direzione crown-down: il canale viene svuotato, la radice raccordata al margine osseo vestibolare, e sezionata in modo da comprendere nella componente rimossa anche l’apice radicolare oltre che la porzione linguale della radice affetta da riassorbimento radicolare. Rimane così una piccola quota di radice vestibolare, spessa circa 1 mm e lunga circa 6 mm, con forma a “C” (per mantenere il legamento parodontale fino ai picchi ossei e mantenere così le papille interdentali). A questo punto viene inserito un impianto Nobel Active 4,3 x 13. Il controllo del posizionamento implantare in ossequio al progetto protesico viene eseguito grazie a un sistema di Chirurgia Navigata (X-Guide, X-Nav Technologies) che ci consente di ottenere una deviazione finale di soli 0,2° (Fig. 8). Una volta inserito l’impianto, lo stesso viene collegato a una torretta provvisoria in titanio sulla quale viene costruito un provvisorio intraoperatorio che rispetti il tragitto transmucoso e non eserciti forze compressive o dislocanti sullo shield vestibolare.
L’intervento, condotto flapless e senza punti di sutura, esita in un post-operatorio asintomatico (Figg. 9-13). Dopo 3 mesi di attesa, si procede con la seconda scansione intraorale (Fig. 14), per registrare correttamente il tragitto transmucoso e la posizione dell’impianto. Nella stessa seduta si ha cura di rilevare anche la forma del provvisorio, affinché la porzione sub-gengivale possa essere ripetuta nella progettazione definitiva da parte dell’odontotecnico (Luigi Lanzo, Milazzo – ME).
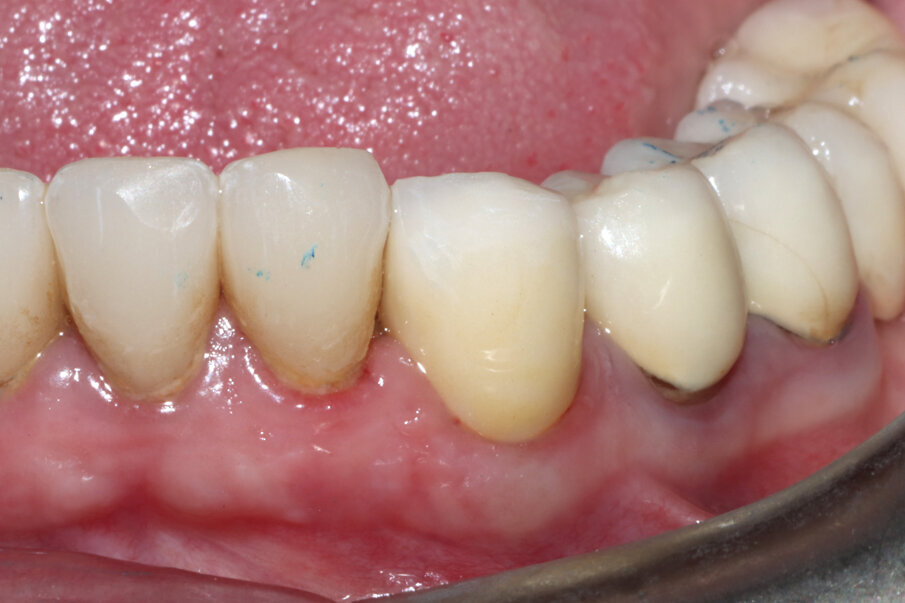
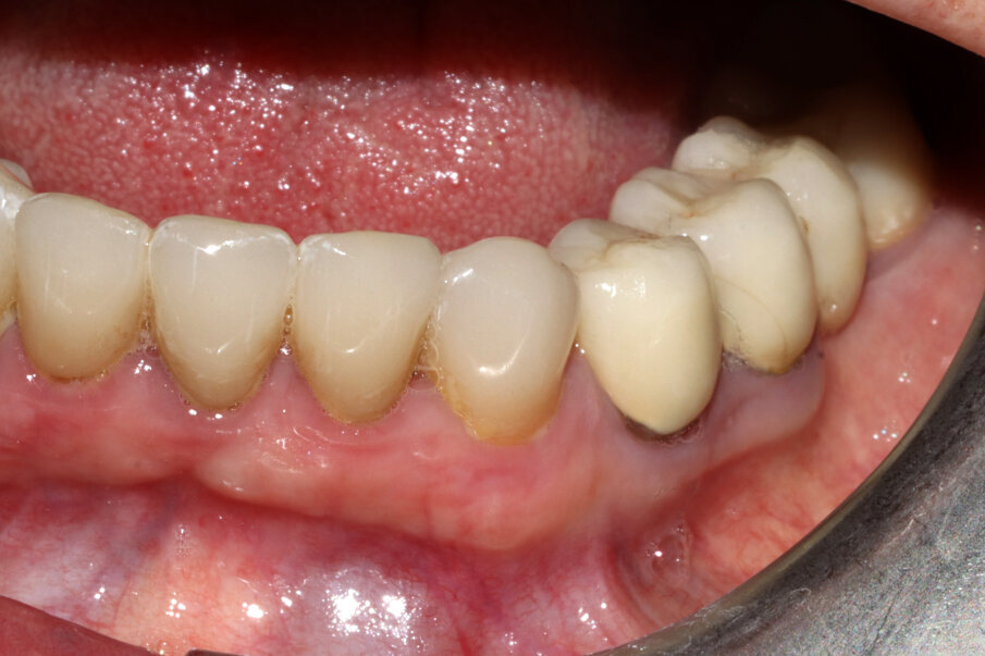
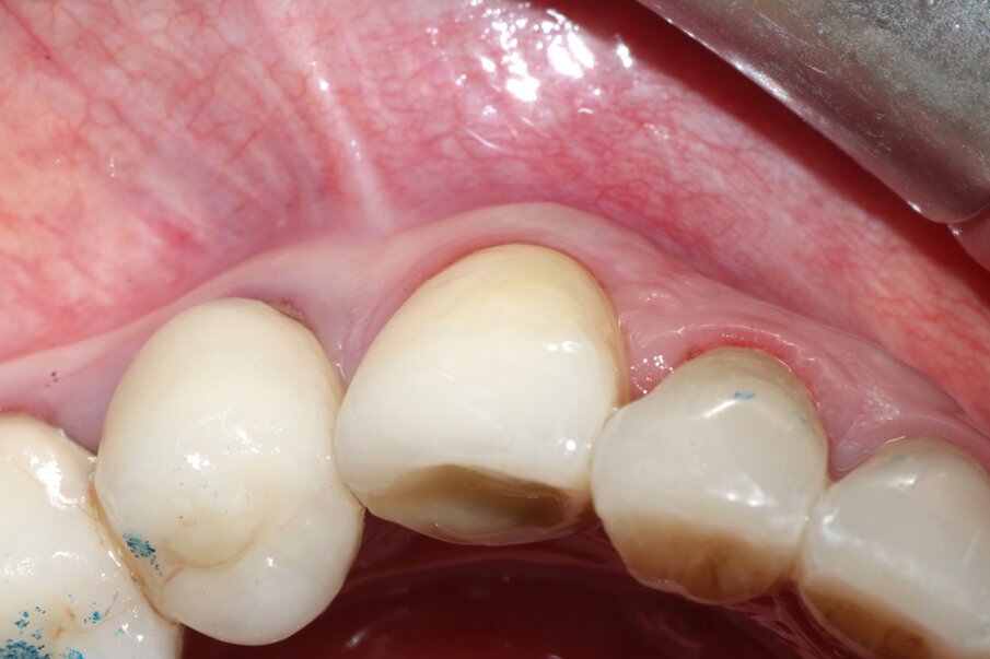
Il risultato finale è una corona protesica attorno alla quale risultano perfettamente mantenuti tutti i volumi: bozza canina vestibolare, margine gengivale e papille interdentali (Figg. 15-20).
I due file STL, preoperatorio e a guarigione avvenuta, vengono sovrapposti con lo scopo di valutare le effettive variazioni volumetriche a carico dei tessuti molli. Ne risultano delle variazioni volumetriche interessanti, ma anche ovvie in quanto biologiche: sull’aspetto vestibolare, i tessuti si sovrappongo, scaturendo addirittura un guadagno volumetrico in spessore di 0,1 mm. Sul lato linguale dove l’asportazione della componente radicolare è stata completa, e dove anche insiste il legamento parodontale, si registra una contrazione ben più marcata, e pari a 2,8 mm. La papilla mediale esita in una perdita di 0,1 mm, mentre quella distale manifesta una riduzione di 0,8 mm (Figg. 21-23). Tutte le variazioni visibili (vestibolare e papille) risultano, dunque, ampiamente comprese nel range di 1 mm previsto come forbice ideale secondo i parametri del PES (Pink Esthetic Score) e dunque assolutamente non percepite dal paziente, né da un punto di vista estetico né funzionale.
Fig. 1_Esempio di elemento dentario affetto da riassorbimento radicolare esterno non candidabile a SST: la lesione riguarda esattamente l’aspetto vestibolare, tanto da compromettere anche l’integrità del piatto osseo buccale.
Fig. 2_L’elemento dentario in questione, appena estratto per intero.
Fig. 3_Il caso clinico descritto: elemento 3.3 già rivestito di corona protesica, vitale e dolente.
Fig. 4_Rx 2d e 3D, con evidenziazione del riassorbimento radicolare, che riguarda l’aspetto linguale e si approfondisce al di sotto del margine della corticale ossea; pianificazione implantare su apposito software di progettazione.
Figg. 5-7_Fasi della Socket-Shield: decoronazione, svuotamento del lume canalare e asportazione della porzione linguale della radice tramite protocollo “Preserving Nature”.
Figg. 5-7_Fasi della Socket-Shield: decoronazione, svuotamento del lume canalare e asportazione della porzione linguale della radice tramite protocollo “Preserving Nature”.
Figg. 5-7_Fasi della Socket-Shield: decoronazione, svuotamento del lume canalare e asportazione della porzione linguale della radice tramite protocollo “Preserving Nature”.
Fig. 8_Screenshot del posizionamento implantare in chirurgica navigata; il margine finale di deviazione risulta pari a 0,2 mm.
Figg. 9-11_Inserimento dell’impianto e costruzione di una corona provvisoria. Si noti la forma a “C” dello shield e, al termine dell’intervento, la compostezza dei tessuti, gestiti senza alcun tipo di lembo.
Figg. 9-11_Inserimento dell’impianto e costruzione di una corona provvisoria. Si noti la forma a “C” dello shield e, al termine dell’intervento, la compostezza dei tessuti, gestiti senza alcun tipo di lembo.
Figg. 9-11_Inserimento dell’impianto e costruzione di una corona provvisoria. Si noti la forma a “C” dello shield e, al termine dell’intervento, la compostezza dei tessuti, gestiti senza alcun tipo di lembo.
Fig. 12_La porzione di radice linguale correttamente asportata compresa di apice radicolare.
Fig. 13_Rx di fine intervento.
Fig. 14_Scansione intraorale a 3 mesi dalla prima chirurgia.
Fig. 15_Il tragitto transmucoso del provvisorio viene rilevato durante la scansione e ripetuto nella corona definitiva.
Figg. 16, 17_Visione occlusale dei tessuti guariti e alla consegna della corona; si noti il mantenimento della bozza canina.
Figg. 16, 17_Visione occlusale dei tessuti guariti e alla consegna della corona; si noti il mantenimento della bozza canina.
Figg. 18, 19_Visione laterale dei tessuti guariti e alla consegna della corona; si noti la presenza delle papille.
Figg. 18, 19_Visione laterale dei tessuti guariti e alla consegna della corona; si noti la presenza delle papille.
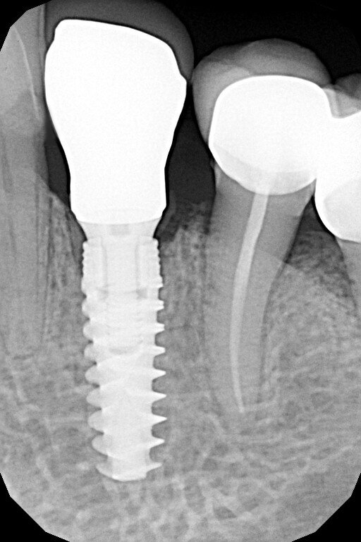
Fig. 20_Rx finale alla consegna della corona definitiva.
ig. 21_Matching degli STL pre e post, per la valutazione delle effettive modifiche dei tessuti molli: a fronte di un pieno mantenimento a livello vestibolare, si apprezza un’importante contrazione a livello linguale, pari a 2,8 mm, e dovuta alla completa perdita del legamento parodontale su tale versante.
Figg. 22, 23_Matching degli STL pre e post per la valutazione delle modifiche a livello delle papille. La mesiale risulta mantenuta, mentre la distale subisce una piccola perdita pari a 0,8 mm.
Figg. 22, 23_Matching degli STL pre e post per la valutazione delle modifiche a livello delle papille. La mesiale risulta mantenuta, mentre la distale subisce una piccola perdita pari a 0,8 mm.
Conclusioni
Nel paniere degli impianti post-estrattivi, la Socket-Shield Technique risulta una tecnica sempre più interessante, che presenta un ventaglio di indicazioni sempre più ampio, e che consente in un unico atto chirurgico, sempre all’insegna della mini-invasività, di preservare tutte le strutture dure e molli vestibolari presenti al tempo zero su un elemento dentario candidato all’estrazione. L’outcome finale, estetico e funzionale, risulta sempre vantaggioso per il chirurgo (che specie in zona estetica non deve mettere in atto tecniche compensative con biomateriali e/o innesto di connettivo) e per il paziente, che riceve un elemento protesico estremamente simile all’elemento dentario naturale.
Bibliografia disponibile presso l’editore.
Tag:
Minimata, Giappone – Alcuni prodotti contenenti mercurio saranno vietati a partire dal 2020, secondo un nuovo trattato internazionale sottoscritto dal...
La GBR è una tecnica predicibile nel trattamento dei difetti ossei verticali. La guarigione della ferita per prima intenzione ottenuta attraverso la ...
Nell’appuntamento promosso a Roma dalla CAO nazionale cui hanno partecipato CAO provinciali da tutta Italia (1/3 dicembre) sono stati esaminati vari ...
Da un’analisi della situazione europea sul futuro del Team Odontoiatrico e della sua composizione professionale – come risulta dal documento ...
Ghirlanda, ANDI: “SICUREZZA SÌ, SOVRASTRUTTURE NO.”
Gli studenti di odontoiatria della Universität Frankfurt hanno testato il sistema di analisi prepCheck. Stando al loro studio, il sistema è di ...
Dieci ore di formazione annue. Tante è tenuto a seguirne chi appartiene al nuovo profilo professionale di assistente di studio odontoiatrico, stabilito da ...
TAIPEI, Formosa. Considerando il reddito pro-capite del paese, il costo per chi subisce un trattamento implantare a Taiwan equivale al prezzo di una vettura...
L’eziologia del riassorbimento della radice cervicale esterna rimane poco chiara ed è probabilmente un problema multifattoriale, che causa ...
L’AIO (Associazione Italiana Odontoiatri) offre una possibilità in più agli associati e agli assistenti di studio: aderire a FonARCom, ...
Live webinar
gio. 30 aprile 2026
1:00 (CET) Rome
Dr. Renato Leonardo D.M.D.
Live webinar
gio. 30 aprile 2026
19:00 (CET) Rome
Live webinar
dom. 3 maggio 2026
18:00 (CET) Rome
Dr. Rickard Brånemark MSc, MD, PhD, Dr. Robert Gottlander DDS
Live webinar
lun. 4 maggio 2026
2:00 (CET) Rome
Live webinar
mar. 5 maggio 2026
16:00 (CET) Rome
Live webinar
mar. 5 maggio 2026
18:00 (CET) Rome
Live webinar
mar. 5 maggio 2026
19:00 (CET) Rome
Dr. Maximilian Dobbertin M.Sc
To post a reply please login or register