La prima visita odontoiatrica può avvalersi oggi di esami strumentali come radiografie, TAC, RMN, scansione intraorale e software in grado di processare le informazioni ottenute dalle indagini strumentali, integrandole tra loro. L’odontostomatologia moderna offre, inoltre, strumenti di output evoluti come la stampa 3D ultrarapida in grado di prototipare modelli anatomici in tempo reale, utili alla terapia, ma anche alla diagnosi, alla decisione clinica e alla discussione con il paziente.
Quest’ultimo deve essere il centro delle attenzioni del clinico e del team coinvolto nella soluzione del caso, poiché ha aspettative importanti che durante la prima visita possono, e devono, essere soddisfatte per intercettare ogni necessità:
- previsualizzazione morfologica ed estetica;
- pianificazione chirurgica simulata in tempo reale. Il team di specialisti, oggi, può quindi interagire in tempo reale.
Lo scopo di questo articolo è presentare le potenzialità a disposizione del clinico e del laboratorio utili nella funzione di diagnosi e nella decisione clinica operativa in tempo reale. L’esame obiettivo del cavo orale e dei tessuti periorali, la scansione intraorale, la CBCT 3D a bassissimo dosaggio sono ormai metodi costantemente a disposizione del clinico. Interfacce software semplificate, sempre più evolute, permettono agli specialisti di condividere informazioni utili alla scelta del piano terapeutico più adatto alla soluzione del caso. La tipologia di malattia che oggi lo studio dentistico moderno deve affrontare impone approcci terapeutici veloci, predicibili nei risultati, funzionali, risolvibili con tecniche estetiche conservative e mini-invasive.
_L'esame obiettivo del cavo orale
Enorme importanza, da sempre, va data a questa fase, per la quale si rimanda ad approfondimenti in letteratura. Va comunque rimarcata la necessità di focalizzarsi sulle nuove tecnologie, come ad esempio la scansione intraorale, che permette l’istantanea registrazione dello stato tridimensionale dei tessuti, del colore delle mucose e dei denti (secondo la scala colori prescelta) e dell’estensione delle lesioni. È inoltre possibile, grazie ad alcuni semplici software, pre-visualizzare la ricostruzione del dente, posizionare virtualmente un impianto e quindi un restauro, spostare e allineare i denti. A questi si aggiunge anche la pianificazione del sorriso: interfacciando all’impronta intraorale la realizzazione del mock-up diretto, il paziente può pre-visualizzare il risultato ed il clinico è in grado di pianificare le fasi operative e decidere il tipo di restauro più adatto.
_Radiologia CBCT
La radiologia CBCT 3D a basso dosaggio da molti anni offre al clinico informazioni utili nel campo della chirurgia orale e maxillo-facciale. Il progressivo abbassamento della dose somministrata apre l’applicazione di queste informazioni all’ortodonzia e alla pianificazione implanto-protesica estetica. La same-day dentistry una volta comunemente nota come “approccio chairside”, oggi assume maggior valore, superando completamente l’ottica terapeutica diretta dei metodi chairside. Oggi, il ricorso a strumenti quali scanner intraorali, software di analisi e di disegno, fresatori e stampanti 3D per ogni fase del trattamento, dalla diagnosi fino alla soluzione del caso, è la norma, anche nelle situazioni “less than three” (meno di tre elementi), che attualmente rappresentano la maggior parte delle terapie.
_Caso clinico
Paziente donna di 38 anni; presenta sindrome della dentizione usurata con un’alterazione della morfologia incisale del gruppo frontale. Durante la prima visita è stata eseguita la scansione intraorale delle arcate complete con scanner intraorale Primescan (Dentsply Sirona), (Fig. 1). Dalla scansione delle arcate si evince una morfologia dell’architettura gengivale e delle murature sostanzialmente normale, un’infiammazione gengivale di grado mediolieve (l’impronta ottica può essere comparata con impronte precedenti ed è, quindi, possibile valutare variazioni di volume) e la presenza di alterazione della sensibilità dentinale allo stimolo del freddo, compatibili con piccole recessioni gengivali, evidenziate dalla scansione.
La scansione intraorale (Figg. 2, 3) è stata processata con software TRIOS Design Studio (3Shape), integrata con le fotografie del volto del paziente a bocca chiusa (Fig. 4), con sorriso naturale e con divaricatore orale, per valutare la morfologia dei tessuti molli periorali del labbro inferiore e la tipologia di anatomia del gruppo frontale. In tempo reale sono state integrate le fotografie del volto con impronta ottica per una pre-visualizzazione immediata della quantità di tessuto dentario perso a causa della sindrome da usura. Successivamente, per una valutazione più approfondita, i file in formato .stl delle arcate inferiore e superiore sono stati importati all’interno del software DentalCAD 3.0 Galway (Fig. 5) dove, insieme alle fotografie del volto del paziente (Fig. 6), è stata eseguita una reale pianificazione sul modello digitale tridimensionale.
Fig. 1 - La scansione intraorale, un evento fondamentale nella diagnostica in prima visita.
Fig. 2 - L’impronta ottica, visualizzazione frontale.
Fig. 3 - L’impronta ottica, visualizzazione occlusale.
Fig. 4 - Volto della paziente.
Fig. 5 - Importazione del file .stl nel software Exocad.
Fig. 6_Integrazione tra impronta ottica 3D e fotografie del paziente.
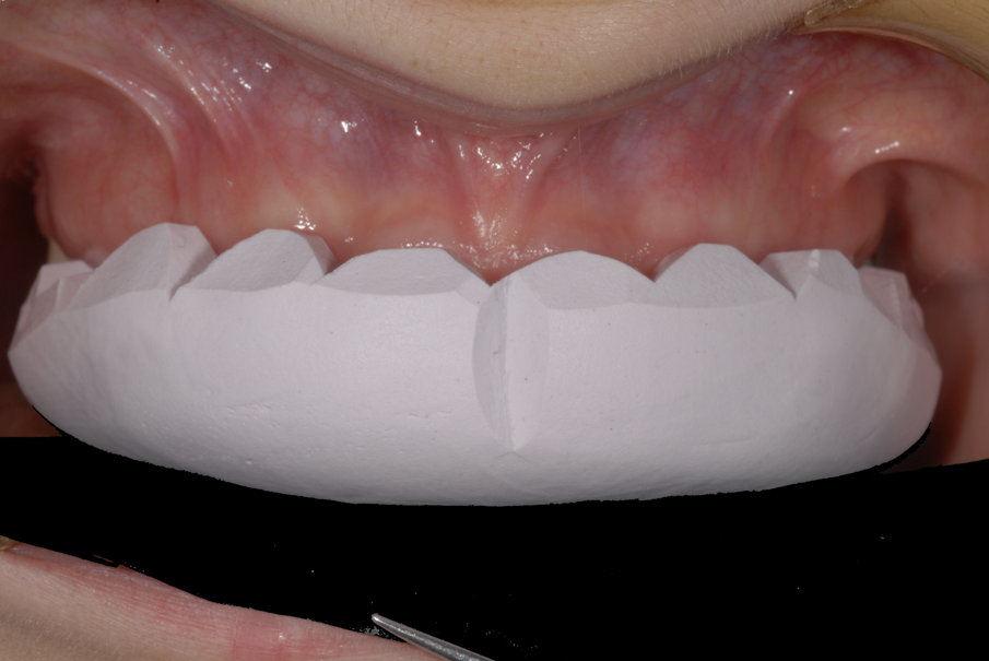
Su questa base è risultata evidente la perdita di sostanza dentale di circa il 10-15%. Sulla proiezione apico-coronale sono state valutate le interferenze occlusali (Fig. 7), simulando i movimenti masticatori, registrati tramite assiografo digitale integrato e lo spostamento laterale in protrusione in funzione della massima intercuspidazione. La valutazione della proposta protesica è stata eseguita con tecnica di wax-up digitale diretto progettato con software exocad (Fig. 8). È stata presentata alla paziente questa simulazione (Fig. 9), eseguita in tempo reale dal laboratorio collegato da remoto, ed è stato realizzato un prototipo immediato di valutazione di massima già nella prima visita. Per eseguire questa procedura è stato necessario utilizzare una stampante 3D con tecnologia TSLA (Tilting Stereolithography) ad alta velocità (DFAB, DWS), in grado di realizzare il modello dell’arcata del paziente (Figg. 10, 11) con lo strato protesico innestato, sul quale, successivamente, è stata rilevata una base in silicone secondo la tecnica del mock-up.
La stampante DFAB di DWS (Fig. 12) con tecnologia TSLA tilting stereolithography permette di eseguire una stampa estremamente precisa nel poco tempo a disposizione del dentista. Risulta evidente che una tecnica di questo tipo avrebbe richiesto tempi di lavorazione e costi di laboratorio più elevati (in una fase in cui il paziente non ha ancora accettato il piano di cura): la disponibilità di una stampante 3D di questo tipo all’interno dello studio dentistico rende possibile, con un piccolo investimento economico, la realizzazione del mock-up diretto, utile a dare un’indicazione di massima al paziente e a definire l’obiettivo da raggiungere già nella prima visita. Il mock-up è stato stampato in bocca con la tecnica analogica convenzionale (Fig. 13) per dare maggiore precisione ai dettagli, soprattutto nelle festonature del gruppo frontale. La stampa diretta in bocca permette, inoltre, la valutazione immediata dal punto di vista del paziente (Fig. 14) che è così in grado di vedere qual è il livello di riabilitazione e l’obiettivo raggiungibile attraverso queste procedure. In questo caso è stato possibile anche valutare qualche piccolo spostamento dentario attraverso un software di pianificazione ortodontica digitale che ci consente di programmare allineatori con lo scopo di ridurre al minimo la quantità di tessuto dentale da asportare tramite IPR (riduzione interprossimale dello smalto/stripping) nelle fasi di preparazione.
Fig. 8 - La scelta della libreria.
Fig. 10 - Avvio della stampa 3D.
Fig. 11 - Dopo 15 minuti il modello prototipo è pronto.
Fig. 12 - La stampante DFAB DWS permette una rapida prototipizzazione del sorriso.
Fig. 13 - Il prototipo stampato in bocca.
Fig. 14 - Il prototipo in visualizzazione immediata.
_L’accuratezza del modello stampato in 3D con tecnologia TSLA ad alta velocità (DFAB, DWS)
Oggi, la tecnica delle faccette additive mininvasive è quantomai moderna. Grazie all’uso di materiali ibridi di ultima generazione contenenti vetroceramica (Irix Max, DWS) (Figg. 15, 16) che permettono un livello estetico ottimale, e alla manovrabilità consentita al clinico durante la fase di realizzazione del restauro protesico, questa tecnica risulta utilizzabile anche da parte di non specialisti delle tecniche additive. I materiali di ultima generazione sono la chiave di svolta nel successo delle terapie ultra-conservative. Rispondere alle esigenze del paziente con procedure operative semplificate è l’obiettivo di una terapia a disposizione di tutti con risultati predicibili e di efficace valore estetico funzionale. La valutazione del mock-up da parte del paziente ha una validità dal punto di vista estetico e di percezione della tipologia di restauri che saranno realizzati. Per il clinico, il mock-up stampato direttamente in bocca offre immediatamente una valutazione sugli spessori dei restauri da utilizzare, sulla tecnica di preparazione e sull’efficienza del metodo di cementazione adesiva, requisito essenziale per il successo della terapia a medio-lungo termine.
_Esame obiettivo, valutazione del paziente, dialogo clinico-paziente
Il clinico deve essere in grado di intercettare le reali necessità del paziente, oltre al riscontro oggettivo delle sindromi patologiche all’interno del cavo orale. Esami strumentali di ultima generazione, come la scansione intraorale, la tomografia computerizzata cone beam, i software di pre-visualizzazione protesica, di pianificazione dello spostamento dentario e programmazione chirurgica guidata, garantiscono la predicibilità del risultato, soprattutto grazie all’integrazione tra loro. Il paziente deve essere coinvolto all’interno del processo diagnostico, sempre in tempo reale, per poter avere immediatamente a disposizione tutte le informazioni e accettare in modo consapevole la terapia proposta. Quest’ultima, sarà quindi rappresentativa dello standard moderno dell’odontoiatria, caratterizzato da un approccio mininvasivo, funzionale, conservativo, ad alta percezione estetica da parte del paziente. Tutte queste terapie, fino a poco fa delegate a specialisti, sono oggi applicabili a tutti i pazienti direttamente dal dentista generalista, che coordina un team di specialisti coinvolti nel processo clinico, grazie alle tecnologie e alla scelta dei materiali dentali moderni.
Tag:
La dott.ssa Ioana Datcu, libera professionista nella provincia di Ravenna, parla con sincero entusiasmo del suo lavoro in questo vivace periodo storico: ...
CANBERRA, Australia: I biologi non sono ancora stati in grado di stabilire quando i denti sono apparsi per la prima volta nella storia evolutiva umana. Una ...
«Insieme abbiamo prodotto un libro che resterà nelle biblioteche e negli archivi a futura memoria di quanto anche in Italia è stato ...
Articolato in due giornate, il programma di quest’anno intende rappresentare un punto di svolta nel mondo odontoiatrico: per la prima volta, infatti, ...
In esclusiva per Dental Tribune Italia, il dott. Scaringi presenta il webinar sulle nuove possibilità aperte dall’era della tecnologia digitale e sulle ...
Presso lo stand Dental Tribune (B68-A75), dalle ore 12 alle ore 13, verrà ospitata la relazione del dottor Carmelo Rizzo, il quale dedicherà ...
L’Anatomia è una scienza antica che deve il suo nome al suo principale metodo di studio, la dissezione (dal greco anatomé).
Uno studio ...
L’avvento della tecnologia digitale ha aperto nuove forme di collaborazione e nuove possibilità d’intervento. Tra questi, spicca la possibilità di ...
Dalla sinergia tra un’azienda dentale italiana e l’Università dell’Insubria di Varese, è stato introdotto nel mercato ...
In campo medico sono state sviluppate due aree per la definizione della diagnosi e per monitorare la terapia: l’imaging (comprendente non solo la ...
Live webinar
mer. 15 aprile 2026
20:00 (CET) Rome
Live webinar
gio. 16 aprile 2026
2:00 (CET) Rome
Linda Hecker MS, BSDH, RDH
Live webinar
gio. 16 aprile 2026
18:00 (CET) Rome
Dr. Pär-Olov Östman, Dr. Robert Gottlander DDS
Live webinar
ven. 17 aprile 2026
18:00 (CET) Rome
Live webinar
ven. 17 aprile 2026
19:00 (CET) Rome
Dr. Stuart Yeaton BDentSc, MOrth
Live webinar
lun. 20 aprile 2026
19:00 (CET) Rome
Dr. Alberto Monje DDS, MS, PhD
Live webinar
mer. 22 aprile 2026
17:00 (CET) Rome
MDT Andreas Chatzimpatzakis
To post a reply please login or register