Durante la maggior parte del secolo scorso, l’amalgama d’argento è stata utilizzata quale materiale d’elezione per il restauro della gran parte dei denti posteriori con carie interprossimali.
L’introduzione delle resine composite ha certamente fornito un’alternativa migliore dal punto di vista estetico, ma l’utilizzo è stato, inizialmente, riservato agli interventi sui denti anteriori. Chi ha sperimentato l’utilizzo di questi materiali sui denti posteriori ha presto capito perché – scoprendone le inadeguate proprietà fisiche, la limitata resistenza all’usura, oltre che constatando che la maggior parte dei restauri così eseguiti erano condannati al fallimento.
L’industria, vedendo la domanda in crescita, migliorò le formulazioni creando resine composite “ibride”. Prodotti adatti al restauro dei denti posteriori sono disponibili, ormai, da oltre trenta anni. Tuttavia, importanti distinzioni vanno fatte per quanto riguarda le proprietà di manipolazione di queste resine composite confrontate all’amalgama d’argento, così come va fatto relativamente alle tecniche impiegate dai dentisti per creare un contorno perfetto e un contatto ideale con i denti adiacenti. Per settant’anni, le matrici Tofflemire sono state utilizzate per creare un buon contatto quando si usa l’amalgama. Quest’ultima è sufficientemente densa da deformare l’anello, il che permette di ottenere un ottimo contatto nel momento della rimozione. Essendo le resine composite meno dense, non c’è deformazione della fascia (che ha uno spessore finito). Gli utilizzatori di matrici Tofflemire spesso scoprono che i loro restauri in resina hanno una forma piatta e raggiungono un contatto con il dente vicino inadeguato o, addirittura, nullo.
Molto tempo fa, furono introdotti metodi alternativi per ottenere restauri di qualità con resine composite. Essi prevedono l’utilizzo di matrici sezionali bombate più piccole e anelli separatori. La forza di separazione che l’anello esercita sui denti porta a un ottimo contatto al momento della rimozione, nonostante il suo spessore. Questi sistemi, tuttavia, hanno presentato una serie di problemi. Per utenti esperti di Tofflemire, l’introduzione dei nuovi sistemi è stata accompagnata da una curva d’apprendimento molto ripida, tanto che molti professionisti hanno preferito ritornare al confort offerto dal loro ben conosciuto sistema Tofflemire. Anche oggi molti utenti di compositi resistono all’introduzione di sistemi più moderni, invocando problemi di utilizzo in determinate situazioni cliniche. I produttori hanno introdotto numerose varianti dei sistemi a matrici sezionali, ciascuna intesa per risolvere le diverse carenze della versione precedente. Tuttavia, chi ha scelto di utilizzare sistemi a matrici sezionali incontra situazioni che ne rende impegnativo l’utilizzo.
Una di queste situazioni è quella nota come “Wide Prep” (cavità ampie), dove la preparazione interprossimale si estende oltre gli angoli della linea buccale o linguale. Con la maggior parte dei sistemi, il posizionamento dell’anello di separazione provoca la frantumazione o l’alterazione della forma nella matrice sezionale (Fig. 1). Esistono “soluzioni alternative” per ovviare al problema e che permettono di raggiungere il risultato desiderato, ma sempre con un certo grado di difficoltà.
Entra nel mondo del nuovo Garrison Dental Composi-Tight 3D Fusion System (Fig. 2)
La matrice sezionale aggiornata ha un’estensione bucco-linguale più ampia. I cunei 3D Fusion ridisegnati presentano delle morbide “pinne” per un perfetto adattamento delle matrici alle irregolarità del dente e per prevenire agli stessi di slittare. Questi sono utili in un’ampia gamma di situazioni, per eliminare la probabile recessione del margine gengivale. Forse la cosa più degna di nota è l’ultima generazione di anelli separatori. Adesso ce ne sono tre diversi tipi, ciascuno indicato per diverse circostanze cliniche e pensati per risolvere molte delle sfide che gli utilizzatori si trovano ad affrontare. Tutti incorporano le esclusive punte in silicone Garrison Soft-Face che si adattano al dente con conseguente riduzione del rischio di recessione. Molti anelli hanno la tendenza a far scivolare o “saltare” da alcuni denti, specialmente quelli corti. Tutti e tre gli anelli 3D Fusion sono dotati di bracci di ritenzione Ultra-Grip che si innestano sotto il cuneo e che impediscono lo scivolamento dell’anello (Fig. 3). La nuova forma degli anelli aumenta la forza di separazione, garantendo così un buon contatto. L’aggiunta di un terzo e più largo anello di preparazione “Wide Prep Ring” (Fig. 4) ha lo scopo di venire in aiuto nel suddetto scenario “Wide Prep” (cavità ampia). Il seguente case report illustra l’utilità e l’efficienza di questo nuovo anello.
Case Report
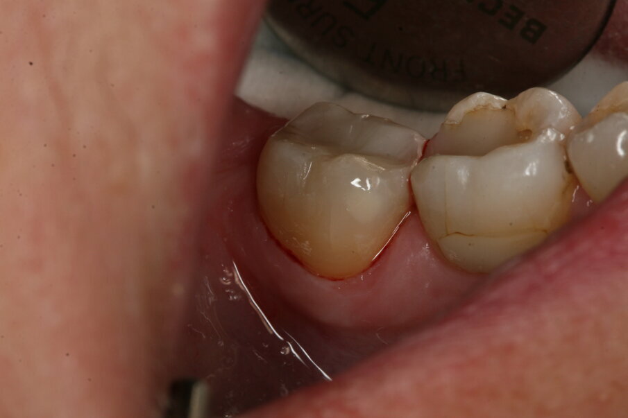
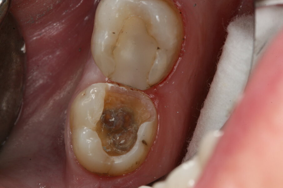
Si è presentata una paziente di 57 anni con un precedente restauro in amalgama sul dente #31 (secondo molare inferiore destro) (Fig. 5). La metà della cuspide mesio-linguale era stata sostituita dall’amalgama; si sono riscontrate carie ricorrenti accanto al restauro. Inoltre, sono stati individuati due punti di carie buccali. Sebbene il dente fosse un candidato per un restauro indiretto, la disponibilità economica della paziente ha imposto un riempimento diretto. L’amalgama è stata rimossa e la carie escavata (Fig. 6). Sono stati preparati dei margini smussati a bisello, che sono stati poi mordenzati con acido fosforico al 37% (UltraEtch, Ultradent Products) come parte della tecnica di “mordenzatura selettiva” (Fig. 7).
Una matrice sezionale antiaderente Composi-Tight 3D Fusion è stata posizionata e fissata con un cuneo 3D Fusion. L’anello separatore 3D Fusion Wide Prep era quindi posizionato e lucidato per garantire un buon adattamento al dente adiacente (Fig. 8). Al dente è stato applicato un adesivo (Clearfil SE Protect, Kuraray Dental) fotopolimerizzabile (lampada fotopolimerizzante Valo, Ultradent Products). La cavità è stata riempita con un composito in singola massa (Bulk EZ, Zest Dental). Dopo la rimozione dell’anello di separazione, cuneo e matrice, che ha lasciato una minima recessione residuale, le ulteriori aree cariate sono state escavate (Fig. 9). Sono poi state restaurate con Clearfil SE Protect e con il composito Clearfil Majesty (Kuraray Dental). In seguito a un minimo trimming e alla sagomatura occlusale, il restauro è stato lucidato utilizzando una punta in silicone Enhance (Dentsply Sirona) e un pennello Groovy Diamond (scelta dell’odontoiatra) (Figg. 10,11).
In sintesi, Garrison Dental è partita dal proprio prodotto di qualità Composi-Tight 3D System e lo ha migliorato in tutti sui i componenti introducendo il nuovo 3D Fusion System. L’aggiunta del loro Wide Prep Ring, il primo anello progettato per superare i problemi associati alla preparazione di ampie cavità, ha fornito agli utenti un nuovo utile strumento di lavoro. Il restauro di quelle Wide Prep una volta frustranti è stato semplificato dall’introduzione di questo nuovo sistema.
Tag:
Garrison Dental Solutions, dal 1997 leader nella produzione di sistemi di matrici sezionali, è lieta di annunciare l’arrivo di un nuovo componente ...
SPRING LAKE, MICHIGAN – Composi-Tight® 3D Fusion™ di Garrison Dental Solutions, LLC, ha ricevuto il “Top Sectional Matrix award” per il 2021, il ...
Una matrice antiaderente, notevolmente perfezionata, che avvolge completamente il dente ed è provvista di linguetta per facilitare il posizionamento.
La predicibilità nello stabilire contatti stabili e anatomici è stata una complicazione dell’odontoiatria restaurativa diretta a partire ...
Spring Lake, Michigan – Il Sistema di matrici sezionali Composi-Tight® 3D Fusion™ di Garrison Dental Solutions, LLC, ha vinto il premio “Top ...
SPRING LAKE, MICHIGAN – Il Sistema di matrici sezionali Composi-Tight® 3D Fusion™ di Garrison Dental Solutions, LLC, è stato insignito da THE DENTAL ...
La nuova matrice sezionale Composi-Tight® 3D Fusion™ di Garrison è concepita per completare con successo un’ampia varietà di restauri in composito di...
Il caso riguarda l’esecuzione di un restauro interprossimale col sistema di matrici sezionali anelli separatori e cunei Composi-Tight 3D Fusion. Il ...
Un cuneo radicalmente migliorato con un adattamento impareggiabile e resistenza al “back out”.
Il nuovo kit 3D Fusion Firm bands con un strumento multifunzionale 5 in 1.
Live webinar
gio. 30 aprile 2026
19:00 (CET) Rome
Live webinar
dom. 3 maggio 2026
18:00 (CET) Rome
Dr. Rickard Brånemark MSc, MD, PhD, Dr. Robert Gottlander DDS
Live webinar
lun. 4 maggio 2026
2:00 (CET) Rome
Live webinar
mar. 5 maggio 2026
16:00 (CET) Rome
Live webinar
mar. 5 maggio 2026
18:00 (CET) Rome
Live webinar
mar. 5 maggio 2026
19:00 (CET) Rome
Dr. Maximilian Dobbertin M.Sc
Live webinar
mar. 5 maggio 2026
21:00 (CET) Rome
To post a reply please login or register