Cinquant’anni di complicanze nell’implantologia odontoiatrica moderna hanno prodotto due fondamenti in implantoprotesi: l’“implantologia protesicamente guidata” (quindi posizionare gli impianti in modo funzionalmente, igienicamente ed esteticamente corretto) e la tecnica chirurgica di inserimento.
La realizzazione di un progetto implantoprotesico ideale è divenuta ormai routinaria e predicibile nella stragrande maggioranza dei casi se ci si avvale di tecniche digitali. Usiamo questo caso per descrivere una tecnica di chirurgia navigata evidenziandone i vantaggi rispetto ad un approccio guidato con alcune riflessioni. Verrà, inoltre, descritto un protocollo di chirurgia navigata indicato come Trace&Place® da utilizzare con Navident® della Claronav® e ne verranno sottolineati i relativi vantaggi.
Materiali e metodi
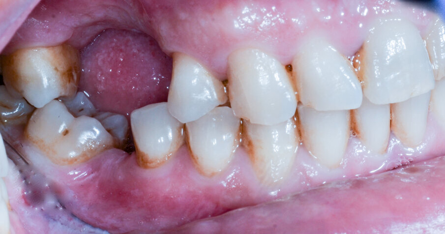
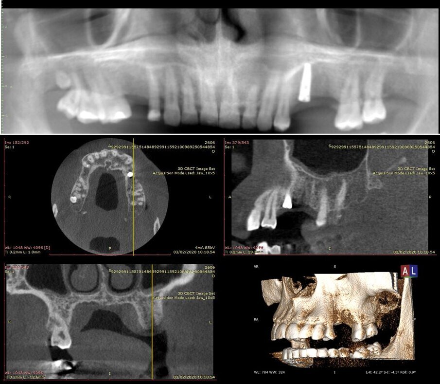
Il paziente R.V. di anni 40 affetto da Neurofibromatosi di tipo I, non fumatore e con neurofibroma palatino è reduce da intervento di avulsione dell’elemento 2.6 e cistectomia con concomitante socket preservation a cielo coperto ed inserimento sempre contestuale di impianto 2.5 in tecnica navigata; necessita per il completamento della riabilitazione dell’emiarcata superiore sinistra dell’inserimento di un secondo impianto in zona 2.6 (Figg. 1a, 1b). La ceratura diagnostica digitale evidenzia, già nel primo intervento, un importante compromesso estetico- igienico accettato dal paziente in virtù della firbomatosi da cui è affetto che ha scoraggiato qualsiasi procedura invasiva (un’esperienza personale nel trattamento del padre riporta un sanguimento difficilmente controllabile della mucosa affetta in corso di chirurgia a cielo aperto ed una guarigione dei tessuti particolarmente imprevedibile anche quando cheratinizzati; nulla è stato trovato al riguardo in letteratura). (Fig. 2).
L’acquisizione in chirurgia guidata ed in chirurgia navigata
Il paziente può essere definito “funzionalmente dentato” ai fini della diagnostica interventistica implantoprotesica digitale (possiamo così definire un paziente con almeno 4 denti con grado di mobilità 1 e perfettamente identificabili alla TAC perché privi di beam hardening significativo per mancanza di restauri o non interessati né direttamente né indirettamente da fenomeni di scattering; questi elementi devono essere sufficientemente distribuiti nell’arcata in modo da rappresentare un solido descrittivo della regione anatomica d’interesse). In questo tipo di pazienti non è più prevista l’esecuzione di una TAC con markers di qualche tipo e qualsiasi processo di registrazione dei files di superfici (in inglese matching) è perfettamente predicibile e preciso sulla base dei denti presenti.
La registrazione (matching) in chirurgia guidata ed in chirurgia navigata
La registrazione (matching) è sempre necessaria, sia nella chirurgia guidata sia in quella navigata ma le differenze tra le due tecnologie sono già ravvisabili nell’uso che fanno di questo complesso algoritmo matematico. Nella chirurgia guidata la registrazione avviene su una media delle superfici TAC e STL del modello ed ha il compito di posizionare il modello (digitale o digitalizzato) rispetto alla TAC e, dunque, rispetto al piano di trattamento: l’errore di questo posizionamento corrisponde ad un dislocamento complessivo degli impianti durante la realizzazione clinica. Un processo protocollato, meccanizzato ed automatizzato permetterebbe di misurare questo errore e prevederlo per ciascun caso. È esperienza diffusa di ogni odontoiatra, però, che la realtà clinica, sebbene digitalizzata e protocollata, non è automatizzata; questa esperienza esita nella produzione di dispositivi la cui validità clinica non è costante ma rientra in un range che prevede, purtroppo, anche l’inaccettabilità. Nel caso della chirurgia guidata purtroppo vengono a coincidere due fattori concettualmente deleteri: l’impossibilità di verificare l’accettabilità del manufatto se non ad intervento ultimato e l’assoluta impossibilità di ripetizione della procedura chirurgica perché il fallimento spesso si associa a perdita di osso. Ciò si verifica anche in un protocollo full digital sebbene con minore frequenza e dipende dalle condizioni di lavoro assolutamente non standardizzabili. Una dima può nascondere un errore non clinicamente valutabile ma significativo. La chirurgia navigata fa uso allo stesso modo della registrazione ma esclusivamente a scopo diagnostico ed in fase di pianificazione (Figg. 3a, 3b). A scopo interventistico la chirurgia navigata richiede un’altra registrazione che si verifica in tempo reale e che ha lo scopo di posizionare i dati TAC nella realtà clinica di intervento integrandoli in un sistema di realtà aumentata on-demand (Fig. 4). Per ottenere questa sovrapposizione in tempo reale è necessaria una superficie di riferimento comune tra TAC e realtà clinica. Unica sul mercato la tecnologia navigata Navident® by Claronav® mette a disposizione ben 5 protocolli diversi per ottenere questo risultato coprendo tutto l’ampio ventaglio di realtà cliniche che ci si può ritrovare ad affrontare (pazienti totalmente edentuli, pazienti parzialmente edentuli, pazienti parzialmente edentuli ma con importanti fenomeni di scattering e beam hardening, etc.) (Figg. 5a-5f).
Il protocollo Trace&Place
Nel protocollo Trace&Place, che presentiamo con questo caso, la superficie di registrazione a scopo interventistico sono i denti. La superficie dei denti viene letta in tempo reale mediante una scansione per tastatura attraverso un dispositivo apposito standardizzato nel sistema: Il Tracer Tool®; perché il sistema possa procedere a questa scansione è necessario anzitutto informarlo della posizione della punta del tastatore mediante una manovra di calibrazione. Si scelgono quindi tre o più denti dal modello 3D ricavati dai dati TAC del paziente indicando un preciso punto facilmente identificabile da cui iniziare la scansione (ad esempio la punta di una cuspide o una particolarità anatomica unica come una fossetta di usura). Se ne tastano le superfici con movimenti rapidi per lo più di traslazione dello strumento; un feedback sonoro segnala l’inizio, dall’esecuzione e dal termine di ogni scansione. La scelta dei denti non può essere causale: essi devono essere sufficientemente distanti e distribuiti nell’arcata per rappresentare un solido abbastanza descrittivo della regione clinica da approcciare. Ciò è quanto veniva effettuato nel caso in questione (Figg. 6a-6d).
Notiamo subito una prima differenza tra la chirurgia navigata e guidata; in chirurgia navigata con metodica Navident® by Claornav® è possibile visualizzare una descrizione dell’accuratezza della scansione rispetto ai dati 3D della TAC potendo ripetere la procedura di tracciatura se l’esito non fosse sufficientemente convincente fino all’ottenimento del risultato desiderato; tale tipo di controllo è assolutamente assente nella chirurgia guidata in cui ci si deve accontentare di una “compenetrazione di poligoni” casuale perché sia il modello (digitale o digitalizzato) sia la sua posizione siano considerati corretti (Figg. 7a, 7b). Ovvio che la procedura è possibile anche per TAC preesistenti. La metodica, inoltre, è possibile anche in corso di intervento per “ricalibrare” il sistema qualora ci si rendesse conto che esso non è più affidabile come avremo modo di vedere più avanti (cfr. La precisione della chirurgia).
Figg. 1a, 1b - Situazione iniziale.
Figg. 1a, 1b - Situazione iniziale.
Fig. 2 - Potenza descrittiva di un’iconografia 3D nella manifestazione dei compromessi estetico-igienici per consenso informato. In questo caso la definizione dei tessuti molli e dei tessuti duri è stata ottenuto con diversi files STL; oggi esistono software di pianificazione che accettando files 3D a colori (OBJ o PLY) permettono una rappresentazione rapida di detti rapporti.
Figg. 3a, 3b - La registrazione di un modello con ceratura diagnostica nel software Navident® by Claronav®. a) Identificazione di punti di accoppiamento; b) integrazione finale del modello con ceratura diagnostica nel software per la pianificazione. N.B. Questo uso dell’algoritmo di registrazione è esclusivamente diagnostico in una tecnica di chirurgia navigata.
Figg. 3a, 3b - La registrazione di un modello con ceratura diagnostica nel software Navident® by Claronav®. a) Identificazione di punti di accoppiamento; b) integrazione finale del modello con ceratura diagnostica nel software per la pianificazione. N.B. Questo uso dell’algoritmo di registrazione è esclusivamente diagnostico in una tecnica di chirurgia navigata.
Fig. 4 - Esempio di sovrapposizione dei dati TAC sulla realtà clinica del paziente.
Figg. 5a-5f - I differenti protocolli d’intervento supportati dal sistema Navident by Claronav. Per sopperire ai diversi scenari clinici ci si può ritrovare ad affronta in chirurgia implantoprotesica; navistent nel paziente edentulo con ancoraggio orizzontale (a) e verticale (b); c) navistent nel paziente non edentulo; Trace and Place composto da Tracer (d) in associazione a Jaw Tracker (e) o Head Tracker (f) (quest’ultimo solo per l’arcata superiore).
Figg. 5a-5f - I differenti protocolli d’intervento supportati dal sistema Navident by Claronav. Per sopperire ai diversi scenari clinici ci si può ritrovare ad affronta in chirurgia implantoprotesica; navistent nel paziente edentulo con ancoraggio orizzontale (a) e verticale (b); c) navistent nel paziente non edentulo; Trace and Place composto da Tracer (d) in associazione a Jaw Tracker (e) o Head Tracker (f) (quest’ultimo solo per l’arcata superiore).
Figg. 5a-5f - I differenti protocolli d’intervento supportati dal sistema Navident by Claronav. Per sopperire ai diversi scenari clinici ci si può ritrovare ad affronta in chirurgia implantoprotesica; navistent nel paziente edentulo con ancoraggio orizzontale (a) e verticale (b); c) navistent nel paziente non edentulo; Trace and Place composto da Tracer (d) in associazione a Jaw Tracker (e) o Head Tracker (f) (quest’ultimo solo per l’arcata superiore).
Figg. 5a-5f - I differenti protocolli d’intervento supportati dal sistema Navident by Claronav. Per sopperire ai diversi scenari clinici ci si può ritrovare ad affronta in chirurgia implantoprotesica; navistent nel paziente edentulo con ancoraggio orizzontale (a) e verticale (b); c) navistent nel paziente non edentulo; Trace and Place composto da Tracer (d) in associazione a Jaw Tracker (e) o Head Tracker (f) (quest’ultimo solo per l’arcata superiore).
Figg. 5a-5f - I differenti protocolli d’intervento supportati dal sistema Navident by Claronav. Per sopperire ai diversi scenari clinici ci si può ritrovare ad affronta in chirurgia implantoprotesica; navistent nel paziente edentulo con ancoraggio orizzontale (a) e verticale (b); c) navistent nel paziente non edentulo; Trace and Place composto da Tracer (d) in associazione a Jaw Tracker (e) o Head Tracker (f) (quest’ultimo solo per l’arcata superiore).
Figg. 5a-5f - I differenti protocolli d’intervento supportati dal sistema Navident by Claronav. Per sopperire ai diversi scenari clinici ci si può ritrovare ad affronta in chirurgia implantoprotesica; navistent nel paziente edentulo con ancoraggio orizzontale (a) e verticale (b); c) navistent nel paziente non edentulo; Trace and Place composto da Tracer (d) in associazione a Jaw Tracker (e) o Head Tracker (f) (quest’ultimo solo per l’arcata superiore).
Figg. 6a-6d - Tracciatura della superficie di riferimento in tempo reale. a) Calibrazione del tastatore; b) Selezione dei denti e dei punti di partenza della scansione per tastatura; c) Fasi di scansione (tracer registration); d) Dettaglio clinico della procedura di tracer registration.
Figg. 6a-6d - Tracciatura della superficie di riferimento in tempo reale. a) Calibrazione del tastatore; b) Selezione dei denti e dei punti di partenza della scansione per tastatura; c) Fasi di scansione (tracer registration); d) Dettaglio clinico della procedura di tracer registration.
Figg. 6a-6d - Tracciatura della superficie di riferimento in tempo reale. a) Calibrazione del tastatore; b) Selezione dei denti e dei punti di partenza della scansione per tastatura; c) Fasi di scansione (tracer registration); d) Dettaglio clinico della procedura di tracer registration.
Figg. 6a-6d - Tracciatura della superficie di riferimento in tempo reale. a) Calibrazione del tastatore; b) Selezione dei denti e dei punti di partenza della scansione per tastatura; c) Fasi di scansione (tracer registration); d) Dettaglio clinico della procedura di tracer registration.
Figg. 7a, 7b - Valutazione della qualità della scansione per tastatura sulla base del confronto tra la posizione della punta del tracer rilevata ed i dati 3D della tac. a) Precisione della scansione; b) Legenda delle indicazioni in a.
Figg. 7a, 7b - Valutazione della qualità della scansione per tastatura sulla base del confronto tra la posizione della punta del tracer rilevata ed i dati 3D della tac. a) Precisione della scansione; b) Legenda delle indicazioni in a.
Il totale controllo in chirurgia navigata
Proprio l’uso di TAC già esistenti al momento dell’accettazione del paziente ci permette di evidenziare alcuni dettagli della chirurgia navigata Navident® by Claronav® che danno il senso del totale controllo che si ha su tutta la chirurgia fin dall’importazione dei dati. Il sistema legge la data di effettuazione dell’esame ed emette un avviso qualora essa sia posteriore ai 30 giorni: specie in presenza di situazioni occlusali instabili i denti potrebbero essere migrati rispetto alla loro posizione nella TAC e ciò è tanto più possibile quanto più tempo è passato dall’esecuzione dell’esame. Una situazione clinica non corrispondente alla TAC non può che esitare in una registrazione fallace e foriera di errori. A termine dell’importazione della TAC, inoltre, richiede di verificare la presenza di eventuali artefatti di movimento; sebbene siamo lontani da un algoritmo di identificazione automatica di questi artefatti, questo passaggio, che può apparire spontaneo a chi pratica da tempo implantologia digitale, è tutt’altro che immediato nel noefita e mette al riparo da errori anche gravi legati alla presenza di detti artefatti (Figg. 8a, 8b).
Il dinamismo della chirurgia navigata: il problema della latenza
Ovviamente la navigazione chirurgica è una tecnologia dinamica che prevede il movimento di tutte le componenti in gioco (paziente e strumenti di lavoro). È necessario dunque leggere la loro posizione nello spazio al trascorrere del tempo. Per ottenere questa misura è necessario un riferimento fisso sull’anatomia clinica del paziente (il jaw tracker, per l’arcata dentata superiore o inferiore; l’head tracker solo per l’arcata dentata superiore) la cui posizione venga letta dalla stereocamera. Altro riferimento deve essere montato sullo strumento che si vuole utilizzare (Fig. 9). In molti sistemi il riferimento sullo strumento lavorante è indissolubile dal manipolo contrangolo (rappresentato da una marcatura laser). Con una leggera spesa, in termini di ingombro e peso, nella sistematica Navident® by Claronav ® esso è mobile (drill tag). Questo consente di montarlo su qualsiasi strumento e quindi di navigare qualunque dispositivo (un contrangolo, un motore diritto, un manipolo piezoelettrico, un sonico, un magnetic mallet, etc.). Ovvio che non è sufficiente la mobilità del riferimento ma anche un supporto software complesso che possa prevedere una calibrazione in tempo reale dello strumento (che non può più essere nota a priori) oltre alla discriminazione delle diverse tipologie (Figg. 10a-10g). Ad ogni movimento delle componenti avviene un ricalcolo ed un aggiornamento della realtà virtuale. La potenza della macchina elaboratrice riduce la latenza di questi calcoli a tempi compatibili con l’attività clinica di posizionamento implantare.
La tecnica chirurgica: influenze della chirurgia guidata e della chirurgia navigata
La tecnica chirurgica di inserimento è un altro dei fondamentali in implantoprotesi: una adeguata tecnica chirurgica è conditio si ne qua non alla osteointegrazione. La pianificazione di un impianto in una slice al computer inganna circa la difficoltà di approccio al sito; particolari forme di cresta possono condizionare una maggiore imprecisione dell’osteotomia o un maggiore traumatismo del sito se non approcciate in uno specifico modo: nella chirurgia a cielo aperto il feedback visivo diretto e quello tattile adeguano in modo quasi automatico l’approccio. Entrambi i feedback vengono meno in chirurgia guidata; spesso, anzi, in questo tipo di approccio la percezione tattile è completamente assente perché mascherata dagli sforzi di alloggiamento ed adattamento delle diverse componenti tra loro. Un intenso fermento merceologico crea vorticosamente nuovi disegni di dime e kit chirurgici per superare i diversi limiti che questa tecnica chirurgica ha manifestato in questi anni (spazi richiesti eccessivi, difficoltà di raffreddamento del sito, lunghezza delle frese, difficoltà meccaniche di aggressione chirurgica in condizioni limite che condizionano un maggiore traumatismo e riscaldamento del sito). In chirurgia navigata un feedback visivo diretto viene sostituito da uno indiretto. Compatibilmente con la risoluzione spaziale ed angolare del sistema (comunque sovrapponibili a quello della chirurgia guidata) è possibile seguire la progressione degli strumenti chirurgici nell’anatomia del paziente in modo assolutamente nuovo ed impossibile con altri approcci: un punto di vista all’interno dell’anatomia del paziente. Oltre a questa possibilità tutti i sistemi garantiscono la precisione dell’alloggiamento implantare rispetto a quanto pianificato mediante un sistema ottico e sonoro che permette di comprendere in tempo reale quanto si sta deviando dal tragitto pianificato correggendo l’approccio (Fig. 11). Nessuno strumento si frappone tra quello lavorante ed il sito chirurgico e la percezione tattile è mantenuta anzi acuita dalla ridotta velocità di progressione concentrata più all’ottenimento della precisione ricercata che ad altro. Precisione, sensibilità tattile acuita e lentezza di progressione sono strettamente connessi ad una tecnica chirurgica corretta e garantiscono un ridotto traumatismo del sito. Ciò che si modifica sono le posizioni di lavoro e questo può risultare indaginoso inizialmente: l’uso di sistemi navigati richiede un’importante modifica dell’organizzazione del campo chirurgico e la posizione può risultare poco naturale inizialmente (Fig. 12)
La precisione della chirurgia
La precisione della chirurgia guidata ha una media ed una deviazione standard; la precisione di una specifica chirurgia; del gesto chirurgico nello specifico paziente non può essere nota a priori e può essere valutata solo postintervento. La chirurgia navigata è sotto controllo continuo. Anzitutto in fase di inizializzazione del sistema viene richiesto di verificare la presenza di artefatti di movimento nella TAC. Pur essendo lontani da un algoritmo di riconoscimento automatico di TAC “Mosse” almeno è un avviso che richiede una responsabilizzazione del clinico operatore invitato a controllare l’esattezza dell’esame; in nessuno dei sistemi di chirurgia guidata di mia conoscenza, dai più ai meno blasonati, è presente un tale cruciale passaggio. Dopo ogni cambio fresa, inoltre, il sistema chiede di calibrare la posizione della punta della fresa ed una verifica di accuratezza (accuracy check) che consiste nel toccare superfici perfettamente evidenziabili nella TAC vicine il sito di intervento a verificare con quale precisione sta avvenendo la lettura (Figg. 13a-13c). Ovvio che il sistema non riconosce il “Cambio fresa” ma un periodo di inattività che può essere impostato secondo le esigenze personali così come si può decidere di disabilitarlo nelle impostazioni del sistema, sebbene si tratti di una scelta poco raccomandabile.
La “Scatola nera” della nostra chirurgia
È importante notare che, diversamente dalla chirurgia guidata statica, nella tecnologia navigata è integrata una sorta di “Scatola nera” di tutta la procedura. Qualsiasi passaggio della nostra chirurgia viene attentamente registrato come video e audio ripreso dalla stereocamera ma anche la sua risultante digitale e le sue influenze sul sistema stesso (Figg. 14a, 14b).
Le difficoltà della chirurgia navigata
La prima e più importante difficoltà ad approcciare questo tipo di chirurgia è l’ergonomia e l’organizzazione del campo chirurgico. Si deve fare in modo che nulla possa toccare o dislocare i reperi, soprattutto quelli presenti sul paziente, il che corrisponde a starare il sistema. Nel protocollo Trace&Place questo non corrisponde ad un grosso problema dal momento che, nel corso della procedura, è possibile riprendere la tracciatura e ritornare ad una accuratezza clinicamente accettabili ma ruba comunque tempi all’intervento. Gli interventi sulle emiarcate sinistre, specie quella inferiore, può richiedere di lavorare con la mano sinistra; ho trovato molto utile in questi casi la posizione ad ore 3. L’uso della mano sinistra non deve spaventare dal momento che questo tipo di chirurgia richiede di impugnare gli strumenti a due mani con un dito che stabilizzi la punta nella direzione ricercata. La seconda difficoltà è la necessità di lavorare con un approccio di chirurgia robotica, con gli occhi non puntati sul campo chirurgico ma su uno schermo: psicologicamente può essere un muro importante da superare ma solo fino ad aver acquisito la sufficiente fiducia nel sistema e, soprattutto, nella fase di verifica della accuratezza. Il Navident® by Claronav® infine viene fornito completo di un software, Evalunav ®, attraverso il quale è possibile verificare l’accuratezza della nostre procedure chirurgiche sfruttando una TAC post-posizionamento (Fig. 15). Tutto questo al servizio di una chirurgia flapless od open secondo le esigenze o necessità (Fig. 16).
Figg. 8a, 8b - Esempio di assoluto controllo in chirurgia navigata. Fin dalle fasi di acquisizione dei dati il sistema controlla la loro affidabilità. a) Verifica della data della TAC; b) Suggerimento di verifica degli artefatti di movimento.
Figg. 8a, 8b - Esempio di assoluto controllo in chirurgia navigata. Fin dalle fasi di acquisizione dei dati il sistema controlla la loro affidabilità. a) Verifica della data della TAC; b) Suggerimento di verifica degli artefatti di movimento.
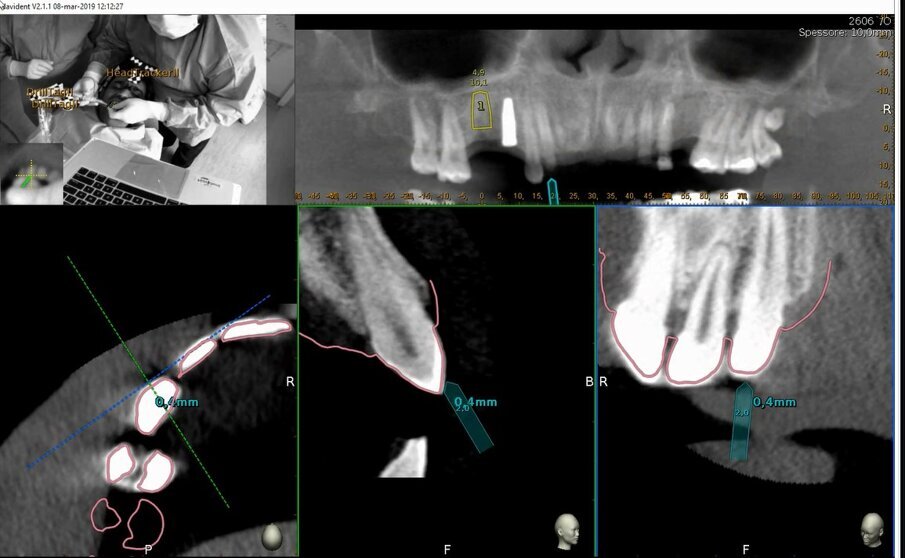
Fig. 9 - Spiegazione del principio di funzionamento della chirurgia navigata con protocollo Trace And Place. La posizione della Tac viene matchata alla posizione reale del paziente mediante l’head tracker (freccia blu) riconosciuto dal sistema e la procedura di trace registration già vista. L’head tracker è solidale al paziente e dunque i movimenti del paziente comportano un movimento nello spazio dei dati TAC. La posizione della punta dello strumento lavorante viene letta attraverso il drill tag sempre riconosciuto dal sistema; per consentire di conoscere la posizione della punta dello strumento rispetto al drill tag è necessaria una manovra di calibrazione (Fig.10).
Figg. 10a-10g - Il Drill Tag peculiarità del Navident (a). Questo dispositivo consente di guidare qualsiasi strumento chirurgico. Non potendo essere note a priori le caratteristiche geometriche tridimensionali dello strumento lavorante è necessaria una calibrazione preliminare al gesto chirurgico (b-d). Esempio di navigazione di un Magnetic Mallet (e). Supporto software che consente l’identificazione delle diverse possibili tipologie di strumenti chirurgici guidati (f, g).
Figg. 10a-10g - Il Drill Tag peculiarità del Navident (a). Questo dispositivo consente di guidare qualsiasi strumento chirurgico. Non potendo essere note a priori le caratteristiche geometriche tridimensionali dello strumento lavorante è necessaria una calibrazione preliminare al gesto chirurgico (b-d). Esempio di navigazione di un Magnetic Mallet (e). Supporto software che consente l’identificazione delle diverse possibili tipologie di strumenti chirurgici guidati (f, g).
Figg. 10a-10g - Il Drill Tag peculiarità del Navident (a). Questo dispositivo consente di guidare qualsiasi strumento chirurgico. Non potendo essere note a priori le caratteristiche geometriche tridimensionali dello strumento lavorante è necessaria una calibrazione preliminare al gesto chirurgico (b-d). Esempio di navigazione di un Magnetic Mallet (e). Supporto software che consente l’identificazione delle diverse possibili tipologie di strumenti chirurgici guidati (f, g).
Figg. 10a-10f - Il Drill Tag peculiarità del Navident (a). Questo dispositivo consente di guidare qualsiasi strumento chirurgico. Non potendo essere note a priori le caratteristiche geometriche tridimensionali dello strumento lavorante è necessaria una calibrazione preliminare al gesto chirurgico (b-d). Esempio di navigazione di un Magnetic Mallet (e). Supporto software che consente l’identificazione delle diverse possibili tipologie di strumenti chirurgici guidati (f, g).
Figg. 10a-10g - Il Drill Tag peculiarità del Navident (a). Questo dispositivo consente di guidare qualsiasi strumento chirurgico. Non potendo essere note a priori le caratteristiche geometriche tridimensionali dello strumento lavorante è necessaria una calibrazione preliminare al gesto chirurgico (b-d). Esempio di navigazione di un Magnetic Mallet (e). Supporto software che consente l’identificazione delle diverse possibili tipologie di strumenti chirurgici guidati (f, g).
Figg. 10a-10g - Il Drill Tag peculiarità del Navident (a). Questo dispositivo consente di guidare qualsiasi strumento chirurgico. Non potendo essere note a priori le caratteristiche geometriche tridimensionali dello strumento lavorante è necessaria una calibrazione preliminare al gesto chirurgico (b-d). Esempio di navigazione di un Magnetic Mallet (e). Supporto software che consente l’identificazione delle diverse possibili tipologie di strumenti chirurgici guidati (f, g).
Figg. 10a-10g - Il Drill Tag peculiarità del Navident (a). Questo dispositivo consente di guidare qualsiasi strumento chirurgico. Non potendo essere note a priori le caratteristiche geometriche tridimensionali dello strumento lavorante è necessaria una calibrazione preliminare al gesto chirurgico (b-d). Esempio di navigazione di un Magnetic Mallet (e). Supporto software che consente l’identificazione delle diverse possibili tipologie di strumenti chirurgici guidati (f, g).
Fig. 11 - Il “Mirino” del Navident. Con l’allontanarsi dall’approccio corretto l’indicatore da verde diviene prima giallo e poi rosso; analogamente nell’avvicinarsi alla profondità di fresaggio prevista il sistema ancora cambia in giallo (indicando anche la distanza che rimane alla fine del fresaggio) e quindi rosso quando la si supera; L’andamento chirurgico in corso di intervento.
Fig. 12 - Ergonomia dell’ambiente di lavoro in chirurgia navigata. Per l’arcata 3 può essere richiesta la posizione ad ore 3 generalmente mai utilizzata in odontoiatria.
Figg. 13a-13c - Verifica di accuratezza. a) Verifica di accuratezza del Tracer dopo tastatura; b, c) Verifica di accuratezza della fresa prima della fresatura.
Figg. 13a-13c - Verifica di accuratezza. a) Verifica di accuratezza del Tracer dopo tastatura; b, c) Verifica di accuratezza della fresa prima della fresatura.
Figg. 13a-13c - Verifica di accuratezza. a) Verifica di accuratezza del Tracer dopo tastatura; b, c) Verifica di accuratezza della fresa prima della fresatura.
Figg. 14a, 14b - La registrazione di tutti i dati del nostro intervento: a) I video con audio ripresi durante l’attività del sistema (incluse le fasi di pianificazione e consultazione); b) I dati delle trace registrations della chirurgia in questione.
Figg. 14a, 14b - La registrazione di tutti i dati del nostro intervento: a) I video con audio ripresi durante l’attività del sistema (incluse le fasi di pianificazione e consultazione); b) I dati delle trace registrations della chirurgia in questione.
Fig. 15 - Il software Evlunav® by Claronav® per la valutazione dell’accuratezza del posizionamento implantare rispetto alla pianificazione.
Fig. 16 – L’impianto subito dopo il suo posizionamento in chirurgia flapless; approccio preferito in questo caso per l’imprevedibilità della guarigione come già espresso nel testo.
Conclusioni
La chirurgia navigata consente una aggressione chirurgica tradizionale libera con un approccio ed una visione completamente nuovi che ovviamente richiedono una curva di apprendimento. Il mantenimento della percezione tattile, la graduale progressione degli strumenti per mantenere la precisione di approccio ed il conseguente ridotto traumatismo chirurgico sono fattori importanti per una corretta tecnica chirurgica. Un sistema sempre sotto controllo e verifica circa la sua affidabilità consente in ogni istante di verificare punti di caduta prima che essi possano comportare conseguenze chirurgiche che sappiamo essere le più gravi per il paziente. Il protocollo Trace&Place consente, in caso di perdita di accuratezza, di recuperarla con una nuova tracciatura nel corso dell’intervento e concluderlo con la massima precisione possibile.
Futuri sviluppi
Uno dei limiti più grossi del sistema è forse la necessità di applicare un approccio robotico con visione indiretta del campo che, per un chirurgo abituato a vedere ciò che fa, può rendere la procedura stressante. Per superare questo limite sarebbe bello integrare il Navident con un visore per realtà aumentata; i più grandi limiti al riguardo risiedono nel fatto che il Mac parte integrante del dispositivo ha una sola porta Thunderbolt quando basterebbe anche una semplice porta HDMI aggiuntiva. Verosimilmente il progredire della tecnologia della scansione facciale, l’accentuazione della sua precisione e la sua integrazione naturale con gli apparecchi CBCT di prossima generazione spingerà allo sviluppo di un sistema di riconoscimento facciale attraverso il quale sarà possibile un matching dei dati TAC in tempo reale sulla scansione facciale rilevata dalla MicronTracker rendendo superfluo l’uso di Navistent, Jaw Tracker o Head Tracker e molto più fluido l’uso della metodica.
Tag:
Man mano che il dibattito globale sulla salute orale continua a progredire, la Federazione Europea di Parodontologia (EFP) sta assumendo un ruolo sempre ...
L’uso delle tecnologie digitali in odontoiatria è in crescita, un fatto di cui Andreas Kurbad è molto consapevole. Titolare di uno studio specializzato ...
Così afferma sviscerando il tema, la COI-AIOG, che in un caldissimo venerdì del 31 marzo a Bologna ha inaugurato i lavori del XXI Congresso, ...
“That’s one small step for man, one giant leap for mankind”. Questa frase, divenuta celebre in tutto il mondo nel luglio del 1969, ha celebrato una ...
Il restauro di Classe II rimane una delle procedure più comuni e tecnicamente impegnative dell’odontoiatria. Ogni giorno, i medici devono realizzare ...
Durante gli ultimi Rhein83days svoltisi a Bologna, alcuni giovani studenti di odontoiatria sono stati tra i protagonisti del congresso dedicato alla protesi...
Negli ultimi anni, lo sviluppo nel settore dentale a livello globale è stato caratterizzato da una rapida diffusione della digitalizzazione. Henry ...
Per la prima volta un'associazione dentale italiana viene scelta e chiamata a patrocinare un evento con il Parlamento Europeo. È l’Associazione...
Scansioni intraorali ad alta risoluzione, fresatura guidata CAD/CAM e produzione additiva stanno trasformando l’odontoiatria moderna, consentendo flussi ...
Questa è davvero l’epoca d’oro dell’endodonzia. I progressi in ambito di tecnologia, metallurgia e tecniche di produzione hanno consentito la ...
Live webinar
mer. 22 aprile 2026
17:00 (CET) Rome
MDT Andreas Chatzimpatzakis
Live webinar
mer. 22 aprile 2026
17:00 (CET) Rome
Live webinar
mer. 22 aprile 2026
18:00 (CET) Rome
Live webinar
gio. 23 aprile 2026
17:00 (CET) Rome
Live webinar
gio. 23 aprile 2026
18:30 (CET) Rome
Live webinar
gio. 23 aprile 2026
19:00 (CET) Rome
Live webinar
gio. 30 aprile 2026
1:00 (CET) Rome
Dr. Renato Leonardo D.M.D.
To post a reply please login or register