Introduzione
Le superfici di un dente sono sempre condizionate dalle superfici dei denti adiacenti. Un dente liscio vicino a un dente con una texture più pronunciata creerà un contrasto di predominanza in cui il dente più ruvido apparirà di valore inferiore rispetto al dente più liscio.
La texture della superficie è una proprietà ottica del materiale ceramico e ha un valore fondamentale per esaltare l’aspetto estetico dei restauri protesici realizzati con questo materiale. La forma contiene quindi la funzione, il colore e la superficie del materiale ceramico. La luminosità, la rugosità e la qualità dei segni applicati sulla superficie di un dente influiscono sulla rifrazione della luce, che può variare a seconda della disposizione di queste caratteristiche. Le linee di tessitura che attraversano la superficie di un dente non hanno tutte la stessa direzione (Fig. 1). Sono orizzontali, verticali e oblique; a volte si può avere una combinazione di queste caratteristiche che esaltano l’aspetto vestibolare. Un dente con la stessa configurazione vestibolare ma con linee di tessitura diverse sulla superficie cambia continuamente aspetto estetico (Fig. 2).
Fig. 1 - Direzione del fascio luminoso dei fenomeni di rifrazione e riflessione.
Fig. 2 - Denti della stessa forma e della stessa consistenza hanno molteplici aspetti. Le superfici concave e convesse del dente accoppiate a linee di diversa direzione consentono diverse combinazioni della texture desiderata.
Questo dimostra l’importanza del modo in cui viene eseguita la texture, caratteristica che viene levigata manualmente dopo la smaltatura della ceramica al fine di ottenere una tessitura superficiale adatta al restauro estetico da effettuare. La texture può essere creata con segni più spessi e sottili: la combinazione di questi spessori permette di ottenere un risultato di texture variabile su tutta la superficie del dente (Figg. 3-5).
Figg. 3-5 - Stessa tecnica di tessitura eseguita su materiali diversi: denti in ceramica e in resina.
Figg. 3-5 - Stessa tecnica di tessitura eseguita su materiali diversi: denti in ceramica e in resina.
Figg. 3-5 - Stessa tecnica di tessitura eseguita su materiali diversi: denti in ceramica e in resina.
Sulla base del design delle linee di tessitura, si può creare l’illusione di dimensioni diverse dei denti. Le linee verticali estese simulano la lunghezza; quelle corte evidenziano la larghezza dell’unità. Queste linee possono essere molto vicine tra loro o avere distanze maggiori, cambiando l’aspetto del dente creandone un’illusione visiva (Figg. 6, 7).
Fig. 6 - Con linee verticali lunghe e ravvicinate, il dente appare più lungo.
Fig. 7 - Linee verticali distanti creano un’espansione equilibrata della configurazione del dente.
Le linee orizzontali simulano la variazione progressiva della distanza, mentre le linee oblique modificano l’effetto prospettico del dente. I punti sulla superficie del dente creano un effetto statico, mentre le linee verticali ondulate e corte producono un effetto visivo dinamico. Nel caso di un disegno circonferenziale, la linea orizzontale è più profonda sul terzo cervicale del dente e più liscia sull’area incisale (Figg. 8-12).
Fig. 8 - Le linee orizzontali fanno apparire il dente più largo, con una progressiva espansione della forma legata alla lunghezza delle linee e alla distanza tra di esse.
Fig. 9 - Le linee oblique possono cambiare la direzione della trama, dando una prospettiva ristretta alla forma del dente.
Fig. 10 - Combinazione di linee verticali e oblique: le diverse posizioni e direzioni progettuali cambiano l’illusione visiva.
Fig. 11 - Arrotondamento del lobo destro del dente segnando la superficie della tessitura con linee curve che si restringono verso il terzo cervicale del dente.
Fig. 12 - Linee verticali ondulate e piccoli segmenti obliqui di direzioni diverse creano una superficie dettagliata sui lobi facciali. Dal bordo incisale verso il terzo centrale del dente, il contrasto tra i segni ascendenti e discendenti.
Descrizione
Dopo aver considerato le varie teorie dei segni sulla superficie del dente, passiamo ora all’esecuzione tecnica. Con un manipolo da laboratorio a bassa velocità, sono prima eseguite le linee verticali sulla superficie del dente con una fresa conica e successivamente con un trapano cilindrico sinterizzato vengono immediatamente delineate le linee orizzontali. Nella fase successiva, la superficie del dente viene marcata con una fresa conica invertita, formando singole linee orizzontali con una certa distanza tra di loro. Altre linee più sottili sono poi realizzate sulla faccia della superficie con un manipolo ad alta velocità per creare contrasto. Successivamente l’intera area d’interesse viene lavorata dapprima con un cono di carta vetrata e poi con una ruota di gomma sezionata per ottenere una superficie facciale concava e convessa che conferisce naturalezza al restauro. Dopo questi passaggi, i denti in ceramica sono pronti per essere smaltati e poi lucidati manualmente per ottenere la consistenza desiderata e simulare un aspetto naturale (Figg. 13-23).
Fig. 13 - Creazione di linee verticali di diversa lunghezza.
Fig. 14 - Intreccio di linee orizzontali.
Fig. 15 - Utilizzo di un cono invertito per creare differenze di texture.
Fig. 16 - Utilizzo un cono di vetro-carta per levigare la superficie.
Fig. 17 - Utilizzo di una ruota di gomma sezionata per creare una superficie liscia irregolare.
Fig. 18 - Lucidatura della superficie per ottenere una texture migliore.
Fig. 19 - Restauro definitivo con tutti i dettagli della texture sul modello in gesso.
Figg. 20-23 - Restauro definitivo con tutti i dettagli della texture sui restauri in bocca.
Figg. 20-23 - Restauro definitivo con tutti i dettagli della texture sui restauri in bocca.
Figg. 20-23 - Restauro definitivo con tutti i dettagli della texture sui restauri in bocca.
Figg. 20-23 - Restauro definitivo con tutti i dettagli della texture sui restauri in bocca.
Tutti i margini di restauro vengono lavorati sotto lo stereomicroscopio per ottenere un risultato di precisione al fine di creare un restauro che mantenga la sua estetica e la funzionalità a lungo termine. Durante l’adattamento le impiallacciature vengono montate utilizzando una pasta rossa sulla matrice, trovando i punti di contatto adeguati sulla superficie di intaglio. Ciò consente una posizione più stabile delle faccette una volta posizionate in bocca. Inoltre, la precisione marginale e la stabilizzazione dell’impiallacciatura consentono al medico di trovare rapidamente la corretta posizione del restauro in bocca senza inclinarlo (Figg. 24-26).
Fig. 24 - Precisione marginale dell’impiallacciatura fissata sulla matrice master.
Figg. 25, 26 - Precisione marginale in bocca.
Figg. 25, 26 - Precisione marginale in bocca.
Struttura interna
La texture interna viene creata dopo la prima cottura del gruppo ceramico. La prima fase di questo procedimento viene eseguita con un pennello durante la stratificazione della ceramica. Sulla superficie facciale del dente vengono disegnate e create diverse linee orizzontali e verticali con alcune aree irregolari. Il gruppo ceramico a questo punto è pronto per la prima cottura, e una volta che la ceramica è stata cotta, sono realizzate altre linee e dettagli superficiali utilizzando una fresa per enfatizzare la qualità della texture interna. La texture interna ha un aspetto diverso da quello della texture esterna. La combinazione di queste due diverse texture di qualità e design permetterà la rifrazione dinamica e il riflesso della luce quando penetra nel materiale ceramico. Questa tecnica conferisce un aspetto più naturale al restauro della ceramica (Figg. 27-31).
Figg. 27, 28 - Struttura interna.
Figg. 27, 28 - Struttura interna.
Fig. 29 - Restauro ceramico finito con procedure manuali di creazione della texture esterna.
Fig. 30 - Texture esterna con polvere d'oro e dettagli di superficie.
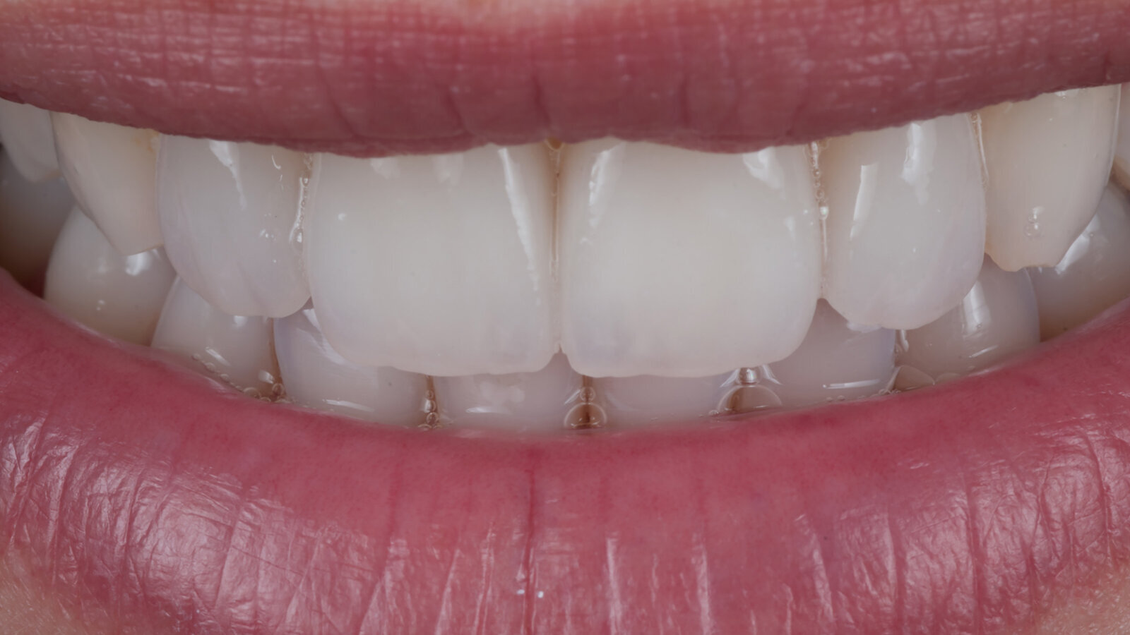
Figg. 31a, 31b - Fotografie pre-operatorie e post-operatorie dei restauri n. 11 e 21.
Discussione
La texture superficiale può migliorare l’aspetto della morfologia generale attraverso l’orientamento delle sue caratteristiche. Linee orientate verticalmente e orizzontalmente applicate alla superficie possono determinare diversi dettagli di larghezza e aspetto delle dimensioni del dente. Sia le linee verticali che quelle orizzontali applicate in combinazione miglioreranno l’aspetto dell’anatomia generale del dente creando una texture dinamica. L’oro o la polvere d’argento facilitano l’identificazione delle caratteristiche superficiali naturali e la conseguente imitazione della texture. La combinazione di design della texture superficiale interna ed esterna influisce direttamente sulla riflessione, la rifrazione e la trasmissione della luce.
Ringraziamenti
L’autore ringrazia il Dott. Domenico Massironi, il Dott. Alessandro Conti e il Dott. Erik Jan Muts per le loro prestazioni cliniche.
Nota editoriale:
Nota editoriale
L’articolo è stato pubblicato su CAD/CAM—international magazine of dental laboratories vol. 13, n. 1/2022.
Tag:
To post a reply please login or register