Nel corso degli ultimi decenni, l’implantologia è diventata uno degli ambiti più innovativi dell’odontoiatria e nel futuro ci aspettano importanti sviluppi. Rispetto ai precedenti metodi pre-protesici, l’implantologia endossea è un trattamento semplice che solitamente non è troppo stressante per il paziente e che offre diversi vantaggi, per esempio il trasferimento fisiologico delle forze masticatorie nell’osso, il che – in alcune condizioni – arriva persino a generare la crescita di nuovo osso. Grazie al suo background, l’implantologia, con tutte le sue opzioni protesiche, è considerata un metodo affidabile.
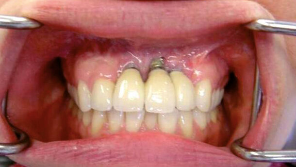
Una delle complicanze più comuni e temute nell’ambito di un trattamento implantare è la perimplantite (Fig. 1) che, se non trattata, solitamente porta alla perdita dell’impianto.
Introduzione
Inizialmente, la malattia dei tessuti perimplantari si manifesta come una mucosite, con progressiva perdita ossea nell’area implantare, come descritto da Albrektsson e collaboratori. Le cause di questa forma di malattia sono complesse e sono state proposte diverse ipotesi sullo sviluppo delle perimplantiti, tra cui un’insufficiente igiene orale, la mancanza di gengiva aderente e/o il sovraccarico implantare.
Questi presunti fattori scatenanti contraddicono le affermazioni di noti implantologi. «L’assenza o l’ampiezza insufficiente di gengiva cheratinizzata non sono eziologicamente legate allo sviluppo di gengiviti e perimplantiti» o «Lo stress funzionale applicato a un impianto non può essere il solo responsabile della progressiva perdita di osso». Ciò significa che oltre a queste presunte cause devono esistere ulteriori influenze patologiche che innescano e supportano l’evolversi della malattia.
Le terapie vanno da una migliorata igiene di base, all’inserimento di antibiotici e disinfettanti nelle tasche perimplantari, fino al trattamento a ultrasuoni e il curettaggio mediante laser dei tessuti infiammati. L’attenzione principale, però, non dovrebbe concentrarsi sulla terapia, bensì su un’efficace prevenzione delle perimplantiti.
Presenza di gap e spazi cavi negli impianti assemblati
È un dato di fatto che gli impianti assemblati contengono spazi cavi, che possono essere minimizzati ma non eliminati, anche con un processo produttivo il più meticoloso possibile. Dato che anche le filettature hanno dei gap, è inevitabile che si verifichi la contaminazione dell’interno dell’impianto da parte dei germi che hanno origine nella cavità orale (Figg. 2a, 2b).
La re-infezione da un impianto non può essere esclusa. In quasi tutti gli impianti assemblati abbiano riscontrato un contenuto, prelevato con un bastoncino dalla punta in cotone, dall’odore sgradevole. Nel 1996, abbiamo iniziato delle ricerche che hanno poi confermato che i gap e i corpi cavi all’interno degli impianti sono contaminati da germi, assimilabili allo spettro di germi dei residui interdentali. L’interno degli impianti è facilmente riconoscibile per dimensioni, misure e posizione tramite i progetti di realizzazione, le sezioni trasversali e le radiografie e quindi è stato chiaro che praticamente nessuno degli impianti può essere escluso dal verificarsi di tale evento. Ovviamente, queste considerazioni si applicano anche alle sovrastrutture avvitate. Le sovrastrutture cementate sembrano essere sigillate per mezzo del cemento, ma tutti conosciamo bene l’odore che fuoriesce quando si fresa il cemento che tiene una corona o un ponte, e questa è la prova che i germi penetrano anche qui.
Le vie di accesso dei germi verso l’interno degli impianti sono facilmente identificabili e siamo anche in grado di darne evidenza esaminando al microscopio ottico ed elettronico un impianto usato (Fig. 3).
L’articolo di Binon e collaboratori, Implant Component Compatibility, conferma tutto ciò in modo alquanto impressionante.
I risultati mostrano che il buon adattamento macroscopico rivelava difetti una volta esaminato al microscopio elettronico. Inoltre, le forze capillari e i micro movimenti tra l’impianto e l’abutment promuovono lo scambio di materiale infetto, con la saliva che agisce come un buon veicolo.
La Figura 4 mostra la dimensione di un gap situato tra l’impianto e l’abutment rispetto a un eritrocita.
Al fine di rendere ancora più chiare le dimensioni, i germi scelti in modo random sono paragonati anche all’eritrocita in scala reale.
Sviluppo di perimplantite attraverso la re-infezione da un impianto
L’impianto viene contaminato dai germi della cavità orale nel momento in cui viene aperto per l’applicazione dello strumento di inserimento. La crescita dei germi inizia immediatamente dopo aver serrato la vite di fissaggio, a meno che l’interno dell’impianto non sia stato precedentemente trattato con un materiale per sigillare e combattere i germi. Le condizioni per la prolificazione – temperatura calda, umidità e fonte di sostentamento – permettono in modo ideale la crescita batterica e la colonizzazione dei funghi, così che si verifica una re-infezione dei tessuti perimplantari attraverso i gap che portano verso l’esterno.
Qualunque trattamento si applichi in questa importante zona intorno agli impianti, avrà sempre vita breve.
Sviluppo ed efficacia di GapSeal®
Al fine di contrastare queste re-infezioni, abbiamo sviluppato un materiale basato su una matrice siliconica altamente viscosa che sigilla l’impianto e lo protegge in modo efficace dalla penetrazione di batteri e funghi. Qualunque tipo di antibiotico non sarebbe sufficientemente intenso ed efficace in dosi così basse e, inoltre, contribuirebbe allo sviluppo di fenomeni di sensibilizzazione e resistenza. Abbiamo anche utilizzato la cosiddetta tecnica split-mouth per testare il materiale rispetto alla vasellina bianca e abbiamo determinato la miscela necessaria di disinfettante. Le proprietà fungicide e battericide e l’efficacia contro i virus del sigillo risiedono in questo principio: laddove vi è già qualcosa, nessun’altra cosa può entrare. Se il mezzo non offre un terreno fertile, allora niente vi può crescere. Il materiale soddisfa il suo obiettivo in quanto sigilla in modo più che soddisfacente i gap e la parte interna degli impianti, ed è quindi stato chiamato GapSeal® (Fig. 5). Per gli studi di tipo split-mouth, GapSeal® è stato applicato sui lati di destra degli impianti e la vasellina su quelli di sinistra. Nel corso di questo confronto clinico, la vasellina è risultata essere abbondantemente contaminata, mentre gli impianti trattati con GapSeal® non hanno generalmente fornito evidenza di crescita di germi. Questo è stato chiaramente provato dagli esami di follow-up, eseguiti sei mesi dopo. Il numero di germi (CFU: unità formanti colonie) in ciascun impianto esaminato è stato determinato mediante diluzione seriale, seguita dal conteggio delle CFU su piastre di incubazione. Questa procedura ha permesso una precisa determinazione dei germi contenuti all’interno di ciascun impianto. Siamo stati in grado di provare l’efficacia del materiale conducendo esami di follow-up tra il 1996 e il 2000 e da allora non possiamo più fare a meno di GapSeal® (Fig. 6). Infine, questi studi hanno dimostrato una riduzione statisticamente significativa delle perimplantiti in più di un terzo degli impianti sigillati con GapSeal®.
Applicazione
Grazie a GapSeal® si ha l’opportunità di sigillare l’interno dell’impianto immediatamente dopo aver inserito e rimosso lo strumento d’inserimento, eliminando così il rischio di perimplantite indotta dal fattore re-infezione. A questo scopo, la carpule deve essere inserita nell’applicatore, rimuovendo il tappo di chiusura. Si raccomanda di piegare leggermente la cannula intorno al corpo dell’applicatore, in base alla situazione in cui va applicato il prodotto. Il materiale in eccesso che fuoriesce dall’impianto quando si avvita la vite di chiusura indica la correttezza dell’applicazione (Fig. 7). Il materiale è disponibile in blister sterili. L’applicatore è autoclavabile per garantire la sterilità. Nel caso si programmi di trattare l’impianto con GapSeal®, si raccomanda di pulire accuratamente gli spazi interni con alcol. Inoltre, è consigliabile anche riempire gli spazi vuoti delle soprastrutture avvitate con GapSeal®.
Durante il controllo dell’impianto nelle visite successive, è consigliabile rinnovare il materiale vecchio, che può essere sciacquato via con xylolo o alcol. GapSeal® è molto stabile, mantiene le sue qualità in casi di lavori cementati da anni e non necessita di essere sostituito o rinnovato.
Risultati e discussione
La perimplantite è una delle complicanze più temute in implantologia, soprattutto una volta che la terapia implantare e protesica siano state completate. Vi sono diversi suggerimenti inerenti il trattamento che possono essere applicati nella pratica clinica. Però, sembra essere più ragionevole evitare le cause delle perimplantiti, che certamente originano in ampia percentuale dalla re-infezione derivante dai gap implantari e dagli spazi cavi. La possibilità di colonizzazione dei germi nelle parti interne degli impianti esiste e deve essere presa seriamente in considerazione. Nella letteratura specializzata sono stati descritti negli anni diversi metodi per combattere la re-infezione. Ora, GapSeal®, con i suoi sedici anni di esperienza clinica, offre una prevenzione realmente efficace contro la perimplantite.
embedImagecenter("Imagecenter_2_1297",1297,"small");
L'articolo è stato pubblicato sul numero 7+8 di Dental Tribune Italy 2014.
Trials clinici hanno dimostrato che il fallimento implantare non è ascrivibile solamente a un sovraccarico funzionale. Nella maggior parte dei casi ...
Dati preliminari di uno studio pilota. Nell’ambito di un trattamento parodontale e/o perimplantare, la terapia causale rappresenta la prima fase, ...
La moderna implantologia ha raggiunto un elevato grado di affidabilità e i livelli di sopravvivenza riportati in letteratura risultano estremamente ...
I problemi di origine infiammatoria che attaccano gli impianti vengono distinti in letteratura come mucosite perimplantare, lesione infiammatoria ...
Gli impianti dentali rappresentano una delle opzioni più efficaci per il trattamento dell’edentulia, parziale o totale, consentendo la riabilitazione ...
Crisi geopolitiche, economiche o sanitarie di grande rilievo impattano sia sulla sfera personale che professionale. Dall’inizio del nuovo millennio ne ...
La parodontite e la perimplantite sono entrambe condizioni infiammatorie che colpiscono il tessuto gengivale. Tuttavia, a causa delle differenze anatomiche ...
Per il prossimo 4 ottobre Bone System ha organizzato il primo Focus Internazionale sulla Perimplantite. Un evento che sconvolgerà il panorama ...
Studi longitudinali hanno dimostrato che la perimplantite, al giorno d’oggi, è la complicanza più frequente in implantologia. A causa ...
Energia ed entusiasmo hanno caratterizzato la 2a MIS Implants Global Conference, che ha ospitato per tre giorni più di 2000 partecipanti a Cannes, ...
Live webinar
gio. 2 aprile 2026
18:00 (CET) Rome
Live webinar
mer. 8 aprile 2026
19:00 (CET) Rome
Live webinar
gio. 9 aprile 2026
19:00 (CET) Rome
Live webinar
gio. 9 aprile 2026
20:00 (CET) Rome
Prof. Moritz Kebschull, Cat Edney
Live webinar
ven. 10 aprile 2026
16:00 (CET) Rome
Live webinar
ven. 10 aprile 2026
17:00 (CET) Rome
Dr. med. dent. Henrik-Christian Carl Hollay
Live webinar
ven. 10 aprile 2026
18:00 (CET) Rome
Prof. Dr. Ali Murat Kökat
To post a reply please login or register