La perfezione e la lunga resistenza agli insulti strutturali e biologici rende il dente naturale un complesso composito che dovrebbe ispirare la moderna protesica odontostomatologica.
La notevole resistenza ai danni e l’integrità strutturale della corona dentale è dovuta principalmente alla sua struttura a doppio strato composta dallo smalto di copertura DURO, resistente all’usura e altamente mineralizzato e dallo strato interno, denominato dentina, più elastico, meno mineralizzato, in una parola tenace.
Questi due strati che presentano proprietà meccaniche dissimili per funzionalità differenti sono delicatamente e intimamente uniti dal cosiddetto strato interfase dentina-smalto-giunzione (DEJ) un vero e proprio complesso a se stante. Il DEJ è riportato come un interstrato di transizione a gradiente che consente un efficiente trasferimento delle sollecitazioni tra smalto e dentina e l’arresto delle crepe per i difetti formatisi
nel duro ma fragile smalto.
La qualità meccanica e le proprietà del DEJ di per sé giocano un ruolo centrale nel determinare le prestazioni e la longevità dell’intero dente. La comprensione dei rapporti struttura-proprietàfunzione del DEJ è quindi da tempo al centro dell’attenzione nei settori dell’odontoiatria, dei biomateriali e della biomeccanica. Segnaliamo che sia la larghezza che l’architettura del gradiente elastico del DEJ sono dipendenti dalla posizione interdentale, con il DEJ più stretto nei siti cervicali e con transizioni più nitide rispetto a quello nei siti occlusali.
Tali diverse disposizioni delle larghezze e architetture del DEJ in siti soggetti a diversi tipi di carico si ritiene che contribuiscano alla rigidità complessiva e all’integrità strutturale del dente. Il gradiente meccanico del dente DEJ scoperto in questo studio potrebbe ispirare la progettazione e lo sviluppo di uno strato funzionale gradiente interfase per una giunzione forte e duratura tra materiali dissimili in implantoprotesi. Altro aspetto fondamentale in protesi è il concetto di rilocazione dei margini profondi (presentato da Dietschi e Spreafico nel 1998) che consiste nel riposizionamento dei margini coronali per la preparazione di restauri inlay/onlay
semidiretti e indiretti adesivi, in particolare quelli realizzati con impronte ottiche e CAD/CAM.
Questa procedura, apporta diversi vantaggi:
_ Una volta rilocato il margine, la preparazione può essere completata eliminando
accuratamente l’eccesso di cemento;
_ Consente di progettare un abutment della sottostruttura nella superficie linguale
o palatale;
_ La chiusura del restauro su un margine elevato garantisce una pulizia più semplice;
_ Semplificazione dell’incollaggio completamente
adesivo o autoadesivo;
_ Permette una facile rimozione del cemento;
_ Consente alla diga in gomma la cementazione della corona.
Dopo queste considerazioni, la nuova era dei materiali dentali fresabili dà agli odontotecnici e di conseguenza ai clinici la possibilità di ottenere risultati clinici fino a poco tempo fa inaspettati: stabilità a lungo termine strutturale e sicurezza alla resistenza agli insulti infiammatori.
La pianificazione protesica (posizione della linea di finitura del design dell’abutment, profilo emergente della corona), il design protesico e i nuovi materiali dentali giocano un ruolo strategico.
_Metodologia Lo scopo di questa articolo è quello di prendere in considerazione le nuove generazioni di materiali dentali lavorabili a macchina per la soluzione protesica su dente singolo.
_Background La pianificazione protesica porta la posizione dell’impianto a un risultato prevedibile:
_ Risultati estetici;
_ Stabilità dei tessuti molli peri-implantari;
_ Riduzione dell’impatto dei cibi;
_ Semplifica la soluzione protesica (abutment… ).
L’abutment personalizzato ha un effetto positivo sul risultato clinico a lungo termine:
_ Estetico;
_ Stabilità dei tessuti molli;
_ Possibilità di elevazione del margine profondo o di rilocazione del margine coronale (CRM).
Il Materiale dentale lavorabile a macchina ci conduce oggi all’approccio multistrato di soluzioni protesiche implantari, abutment e corona che possono essere personalizzati in diverse classi di materiali:
Abutment
_ Zirconia;
_ Disilicato di litio;
_ Ibridi in ceramica.
Corona
_ Zirconia;
_ Silicato di litio;
_ Feldspato;
_ Disilicato di litio;
_ Ibridi in ceramica;
_ Composito.
_Materiali e metodi Da molti decenni ormai, la continua richiesta di migliori trattamenti odontoiatrici e protesi ha spinto il progresso verso una migliore comprensione della micro-architettura dei denti umani. La giunzione dentina-smalto (DEJ) è un’importante interfaccia interna tra lo strato esterno duro altamente mineralizzato (smalto) e il nucleo dentale più morbido (dentina). A meno che non sia malata, questa interfaccia non fallisce mai per frattura o collasso, nonostante l’estremo carico termo-meccanico che subisce nel cavo orale. Ciò è in netto contrasto con le interfacce tra i materiali da restauro dentale artificiale (otturazioni) e la dentina. Il DEJ costituisce quindi un’eccellente lezione dalla natura su come ottenere un legame forte e duraturo tra materiali significativamente diversi: lo strato esterno duro e fragile dello smalto e la dentina più morbida, ma più resistente. In questo articolo vogliamo suggerire un’applicazione in una soluzione implantare protesica di dente singolo in cui un composito di materiale ceramico è utilizzato come copertura personalizzata per abutment riparato da un materiale vetro ceramico utilizzato come corona.
_L’Abutment e Design della sottostruttura La vetro-ceramica in una matrice compenetrante in resina (Vita Enamic) ha mostrato valori di resistenza alla flessione e un modulo di resilienza significativamente più elevati, insieme a valori inferiori del modulo di flessione rispetto alla ceramica o ai materiali ibridi testati. La ceramica ibrida con struttura a doppia rete (vetro-ceramica a matrice compenetrante in resina). La rete ceramica feldspatica principale (86% in peso) è rinforzata con un polimero (UDMA, TEGDMA) (14% in peso). Vita Enamic IS viene utilizzato come sottostruttura per la soluzione pilastro. Vita Enamic® e Zirconia sono stati i materiali con il minor impatto sulla perdita dentale. I principali meccanismi di usura individuati nei sistemi tribologici erano l’usura di lucidatura delle cuspidi testate contro lo zirconio, mentre nei restanti casi si trattava di frattura fragile del materiale protesico e conseguente usura abrasiva di entrambe le controfacciature. Nel complesso, il silicato di litio con zirconio è il materiale da restauro più adatto per la soluzione della corona. Per aumentare le prestazioni in usura, ma per dare durezza al complesso è necessario un approccio multistrato. L’abutment composito in ceramica è rivestito di silicato di litio e silicato di vetroceramica. La Presenza di Zirconia conferisce a questo complesso proprietà meccaniche e prestazioni eccessive.
_Corona Le eccezionali proprietà di ZLS (silicato di litio rinforzato con ossido di zirconio) sono una caratteristica della sua straordinaria microstruttura. La presenza di ossido di zirconio al 10% nella fase vetrosa in forma disciolta atomicamente fornisce un’elevata resistenza e garantisce restauri sicuri e duraturi nel tempo. L’ossido di zirconio è essenzialmente responsabile della nucleazione della fase cristallina. Il risultato è un gran numero di cristalli di silicato di litio molto granuloso, il cui alto contenuto di vetro conferisce al materiale le sue eccellenti proprietà ottico-luminose e meccaniche. La traslucenza, l’opalescenza, la fluorescenza l’effetto camaleontico, un’elevata stabilità dei bordi e un’eccellente lucidabilità. Questa microstruttura ultra fine consente di lavorare la Celtra in modo rapido ed efficiente in un laboratorio odontotecnico allo stato cristallino e nel colore dentale appropriato. L’inclusione del 10% di ossido di zirconio assicura una resistenza particolarmente elevata. I cristalliti formati sono da quattro a otto volte più piccoli dei cristalli di disilicato di litio convenzionale. Il risultato è un ultra microstruttura che combina un’elevata resistenza media alla flessione con un elevato contenuto di vetro, con effetti positivi sulle proprietà ottico-luminose e meccaniche del materiale. I cristalli incorporati nella fase vetrosa sono di dimensioni di 2000-4000 nm e quindi significativamente più grandi della Celtra, influenzando sia le proprietà ottiche e meccaniche del materiale. Ciò è associato a una minore conducibilità della luce e richiede una maggiore lucidatura.
_Protocollo clinico proposto
_ Paziente 32 anni
_ Visione pre-operatoria
_ CBCT a bassa dose
_ Scansione intraorale: Dentsply Sirona Ankylos 2 mm collo ti-Base
_ Modello di stampa 3d con Dentsply Sirona Ankylos analogico integrato
_ Soluzione dei materiali
_ Progettazione software
_ Tecnica di lucidatura
_ Abutment personalizzato a vite (vita Enamic ibrido ceramico)
_ La corona: Vita Trilux.
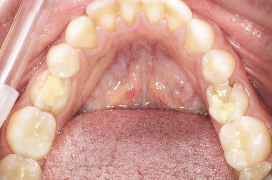
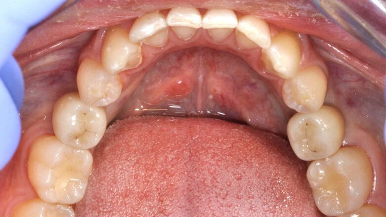
Fig. 1_In evidenza la persistenza dei decidui in quadrante 3-4.
Fig. 2_Visualizzazione occlusale sx.
Fig. 3_Visualizzazione occlusale dx.
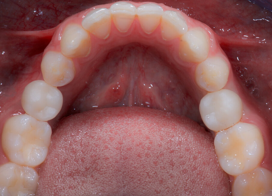
Fig. 4_L’arcata inferiore.
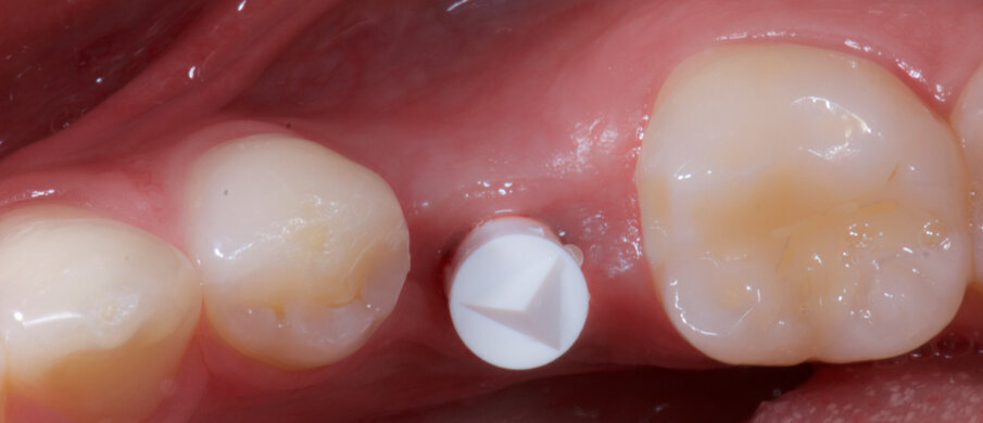
Fig. 5a_Gli scan body avvitati.
Fig. 5b_Gli scan body avvitati.
Fig. 6_Le ceramiche ibride come Enamic, Vita Zahnfabrik rappresentano ormai uno standard per realizzare abutment custom. Nessun ciclo termico necessario e proprietà meccaniche “dentina-Like”.
Fig. 7_La progettazione in multistrato consente l’uso di diversi materiali in combinazione. Tenacità e durezza si combinano per mimare la natura.
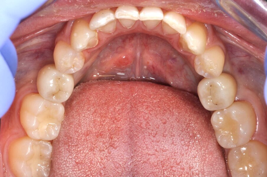
Fig. 8_La scansione intraorale post-operatoria con scanner Dentsply Sirona Omnicam.
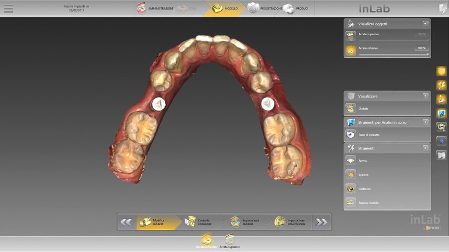
Fig. 10_Il rendering con il software Dentsply Sirona inLab.
Fig. 11_Espostazione STL.
Fig. 12a_Il modello prototipato con stampante DWS XFAB realizzato in alta definizione con materiale Precisa 097 DWS technology.
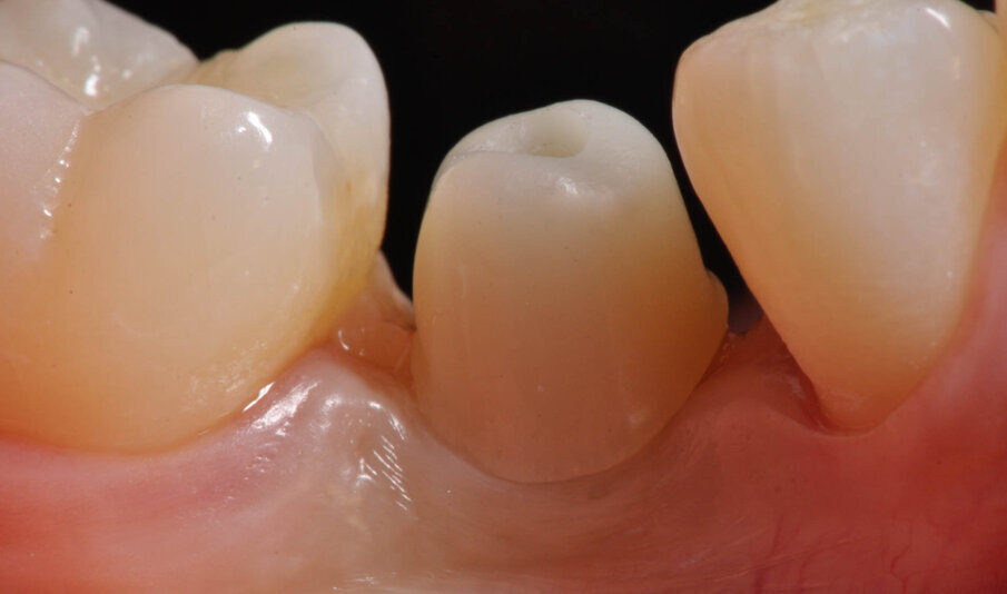
Fig. 12b_La prova dei restauri nella fase di prefinitura.
Fig. 13_Lo strato inferiore abutment serrato in posizione realizzato in Enamic IS.
Fig. 14_La qualità dei tessuti del tragitto transmucoso grazie alla rilocazione del margine del pilastro implantare Dentsply Sirona Ankylos.
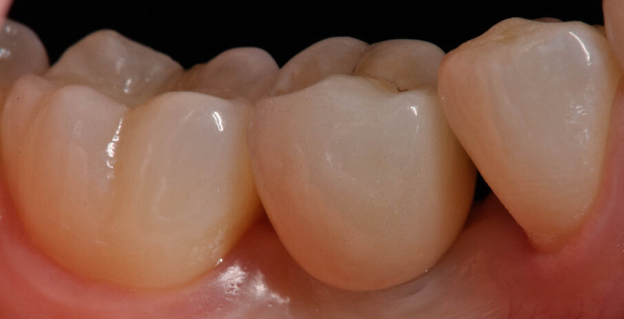
Fig. 15_Lo strato superiore realizzato in Vita Trilux Forte (sx).
Fig. 16_Lo strato superiore realizzato in Vita Trilux Forte (dx).
Fig. 17_Dettaglio tragitto transmucoso.
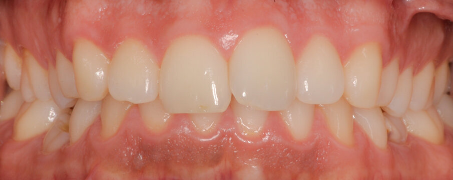
Fig. 18_Restauri defintivi.
_bibliografia _ Awada, A.; Nathanson, D. Mechanical properties of resin-ceramic CAD/CAM restorative materials. Int. J. Prosthodont. 2015, 114, 587–593. [CrossRef] [PubMed].
_ Journal of the Mechanical Behavior of Biomedical Materials 88 (2018) 251–260.
_ Comparative study of the wear of the pair human teeth/Vita Enamic® vs T commonly used dental ceramics through chewing simulation. F. Santosa, A. Brancoa,b, M. Polidoc, A.P. Serroa, c, C.G. Figueiredo-Pinab,c,d.
_ The dentin–enamel junction and the fracture of human teeth. V. Imbeni, j. J. Kruzic1, g. W. Marshall, s. J. Marshall and r. O. Ritchie. Nature materials | vol 4 | march 2005.
Sweden & Martina presenta in questi giorni il concetto innovativo di approccio ibrido, che implica l’uso di apparecchi fissi parziali, combinati con gli ...
Dopo il successo ottenuto nell’edizione del 2015 che ha visto la partecipazione di 430 tra odontoiatri e odontotecnici, di cui 120 stranieri, il 9 e ...
Quando si discute delle ultime innovazioni in implantologia dentale, uno degli argomenti più popolari è la tecnologia che supporta i flussi di lavoro ...
La letteratura scientifica stima che la parodontite grave sia la sesta malattia più diffusa al mondo: con una prevalenza complessiva dell'11,2% e circa 743...
GINEVRA, Svizzera: Ad oggi, più di 100 paesi hanno ratificato la Convenzione di Minamata sul mercurio, un trattato globale per limitare gli effetti del ...
Un punto fondamentale della riunione congiunta EAO-DGI 2023 è stata la sessione sui big data e l’intelligenza artificiale in implantologia. Alla sessione...
LONDRA, Inghilterra: Gli atleti professionisti possono rappresentare il massimo della prestazione fisica, ma crescenti evidenze suggeriscono che la loro ...
COLLEGE STATION, Texas, USA: Un nuovo biosensore intraorale sviluppato negli Stati Uniti potrebbe trasformare il modo in cui la malattia parodontale viene ...
To post a reply please login or register