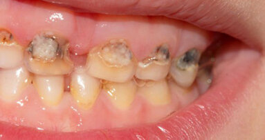
TAMPERE, Finlande: Mentre le infezioni batteriche sono state associate ad una serie di gravi malattie, come le malattie cardiovascolari, il loro ruolo nei confronti delle malattie cerebrovascolari non è chiaro. Ricercatori finlandesi hanno suggerito che le infezioni causate da batteri orali possono essere un fattore di rischio per gli aneurismi intracranici.
Nello studio, i ricercatori hanno esaminato 36 campioni da aneurisma, provenienti dal clippage in chirurgia per aneurisma (29) e autopsia (7); sono stati esaminati per cercare la presenza di varie forme di DNA batterico orale.
I ricercatori hanno scoperto DNA batterico in 21 campioni. In questo studio, il DNA da batteri endodontici è stato rilevato in 20 campioni, mentre in 17 campioni è stato rivelata la presenza di batteri parodontali. DNA batterico Streptococcus mitis è stato anche associato con l’endocardite (Aggregatibacter actinomycetemcomitans, Fusobacterium nucleatum e Treponema denticola sono i tre agenti patogeni parodontali più comuni.)
Secondo i ricercatori, lo studio è il primo a dimostrare che le infezioni dentali possono essere fattori di rischio per aneurismi intracranici e in particolare la rottura degli aneurismi cerebrali.
Lo studio, intitolato " The connection between ruptured cerebral aneurysms and odontogenic bacteria " è stato pubblicato nel novembre 2013 dal Journal of Neurology, Neurosurgery and Psychiatry. E 'stato condotto da ricercatori dell'Università di Tampere, in collaborazione con l'Università della Finlandia orientale, Kuopio.
PLYMOUTH, Regno Unito: In un recente studio, i ricercatori hanno indagato il ruolo dei batteri orali nello sviluppo degli ascessi cerebrali. Hanno ...
SAN FRANCISCO, USA: Una nuova ricerca dagli Stati Uniti ha dimostrato che elevati livelli di batteri cariogeni nella bocca di una madre potrebbero essere un...
Umeå (Svezia). La micosi invasiva di Candida Albicans è causa comune di infezioni orali e genitali. Accompagnata e spesso aggravata da una ...
Cleveland. Gli scienziati sanno da tempo che l’uso eccessivo di antibiotici può fare più male che bene, provocando, ad esempio, resistenza agli ...
Dublino – Dall’Irish Dental Association (IDA) arriva una pubblica esortazione a prestare maggior attenzione alla salute orale, non trascurando ...
L’Agenzia Europea per i Medicinali ha pubblicato una revisione delle Linee guida sulla valutazione dei medicinali indicati per il trattamento delle ...
Atlanta (USA): L'organizzazione per la Sicurezza, la Sepsi e la Prevenzione (OSAP), sodalizio che promuove la sicurezza in odontoiatria, ha annunciato il ...
Per infezioni crociate si intendono quelle malattie infettive che riconoscono l’uomo come sorgente e si trasmettono tra le persone mediante contatto ...
Hong Kong / Lipsia, Germania. Secondo una ricerca australiana, l’anestesia a base di protossido di azoto può aumentare la possibilità di...
Come rappresentante di impianti dentali, ne parlo quotidianamente con molti medici. Pur avendo alle spalle 28 anni di esperienza come igienista dentale, ...
Live webinar
mer. 15 aprile 2026
2:00 (CET) Rome
Dr. Bruce McFarlane Certified Specialist in Orthodontics Fellow: Royal College of Dentists of Canada Diplomate: American Board of Orthodontics
Live webinar
mer. 15 aprile 2026
20:00 (CET) Rome
Live webinar
gio. 16 aprile 2026
2:00 (CET) Rome
Linda Hecker MS, BSDH, RDH
Live webinar
gio. 16 aprile 2026
18:00 (CET) Rome
Dr. Pär-Olov Östman, Dr. Robert Gottlander DDS
Live webinar
ven. 17 aprile 2026
18:00 (CET) Rome
Live webinar
ven. 17 aprile 2026
19:00 (CET) Rome
Dr. Stuart Yeaton BDentSc, MOrth
Live webinar
lun. 20 aprile 2026
19:00 (CET) Rome
Dr. Alberto Monje DDS, MS, PhD
To post a reply please login or register