Incompetenza labiale come fattore predisponente
Un fattore al quale si presta poca attenzione e che può influire sull’estetica del sorriso è l’incompetenza labiale. L’incompetenza labiale può avere diverse origini ed è collegata ad alterazioni scheletriche dei mascellari, al posizionamento dentale, a disfunzioni della deglutizione, al tono delle labbra e alle disfunzioni legate all’apparato respiratorio.
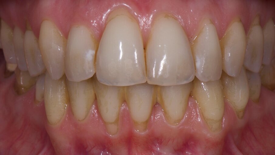
Quando le labbra sono competenti, toniche e in posizione di riposo restano chiuse, nella condizione opposta invece il paziente tende a stare con le labbra aperte scoprendo, parzialmente o totalmente i denti (Figg. 1, 2). In letteratura si evidenzia come questa condizione porti ad avere uno smalto più macchiato ed è una controindicazione alle tecniche di micro abrasione spesso utilizzate per rimuovere le white spot lesion post ortodontiche1.
Figg. 1, 2 - Labbra incompetenti, si evidenziano i pigmenti nel sestante anteriore superiore.
Figg. 1, 2 - Labbra incompetenti, si evidenziano i pigmenti nel sestante anteriore superiore.
Quando le labbra sono incompetenti o lasse (tipico labbro carnoso) l’autodetersione che solitamente viene esercitata dai muscoli peri labiali durante la masticazione e la fonazione, viene a mancare e questo può determinare accumulo di placca/tartaro e/o pigmentazioni estrinseche sulla superficie dentale. Le labbra incompetenti portano alla mancata irrorazione della saliva sulle superfici dentali con la conseguente disidratazione ed esposizione ad agenti acidificanti o abrasivi. L’arcata più esposta alla disidratazione è quella superiore dove i denti sempre esposti all’aria si disidratano facilmente e quindi non si forma quello strato umido di saliva che offre l’idratazione e l’apporto di calcio e fosfato necessari ai processi fisiologici di remineralizzazione. L’equilibrio del Calcio e Fosfato è importante per mantenere una superficie levigata dello smalto, la mancanza di questi elementi portano a uno squilibrio favorendo la formazione di rugosità superficiali che predispongono all’assorbimento di sostanze alimentari o chimiche, potenzialmente in grado di pigmentare il dente.
Ma una volta che abbiamo determinato questa condizione nel nostro paziente cosa possiamo fare?
I pazienti che presentano incompetenza labiale dovrebbero essere incoraggiati a cercare un trattamento ortodontico e/o logopedico o specialistico mentre nell’immediato noi possiamo studiare delle strategie che aiutino a migliorare la superficie dentale. Il primo consiglio da dare è rendere consapevole il nostro paziente di questo atteggiamento labiale incoraggiando a tenere chiuse le labbra e a bagnarsi frequentemente con la saliva le superfici dentali per poi studiare un piano remineralizzante che possa aiutare a mantenere la salute dentale e l’estetica del sorriso.
Case report - Un caso di pigmentazioni durato tre anni
In questo articolo si presenta un caso in una paziente donna di 36 anni che dopo la seconda gravidanza ha iniziato a presentare delle forti pigmentazioni sulle superfici dentali. La paziente riferisce un buono stato di salute, non assume farmaci, in passato ha avuto un’importante storia di carie con un DMFT 16, non fuma ma beve 3-4 caffè al giorno in cialda. Nel passato ha fatto un trattamento ortodontico fisso ed ora, nel quinto sestante, è presente uno splintaggio in metallo e composito. Da qualche anno utilizza uno spazzolino roto-oscillante Oral-B che le ha migliorato la condizione gengivale. Resta difficile la gestione dell’accumulo di tartaro nel quinto sestante, situazione tipica con la presenza di uno splintaggio fisso. Dopo la seconda gravidanza lamenta un’importante pigmentazione delle superfici labiali, in prima istanza si in vita la paziente a cambiare dentifricio sostituendo il basso RDA con un medio RDA ma senza buoni risultati.
Ruolo della gravidanza nel cambiamento orale
Si considerano i cambiamenti salivari post gravidanza in termini di flusso e apporto di Calcio e Fosfato che aiutano a mantenere l’equilibrio remineralizzante sulle superfici dello smalto. Ci sono studi che evidenziano importanti cambiamenti salivari nei trimestri di gravidanza, in particolare si nota come dopo il primo trimestre ci sia un aumento fisiologico del flusso della saliva che aiuta la futura madre nel contrastare i frequenti disturbi gastrici con il conseguente abbassamento del pH orale. Dal terzo trimestre in poi e nel periodo di allattamento il flusso salivare tende a diminuire in quantità e qualità e i livelli di Ca e PO tendono a diminuire2. In questo periodo la donna dev’essere attenzionata e si possono eseguire dei semplici test salivari che mostrano la capacità tampone e la quantità di saliva che la paziente è in grado di produrre e a seconda dei risultati si possono stabilire dei piani di remineralizzazione orale.
Macrofotografia e valutazione delle superfici
Nella discussione di questo caso emerge il ruolo diagnostico della fotografia clinica, questo suo ruolo viene ben discusso dall’autore di un interessante articolo il Dr. Pasquale Loiacono, odontoiatra ed esperto di fotografia clinica, pubblicato nella rivista Dentista Moderno del 30/10/20143. Nell’articolo si sottolinea come la macro fotografia possa diventare, per il clinico, un allenamento vero e proprio in grado di aumentare le capacità di osservazione clinica.
T0. Giugno 2020 - Lucidatura e cambio del dentifricio
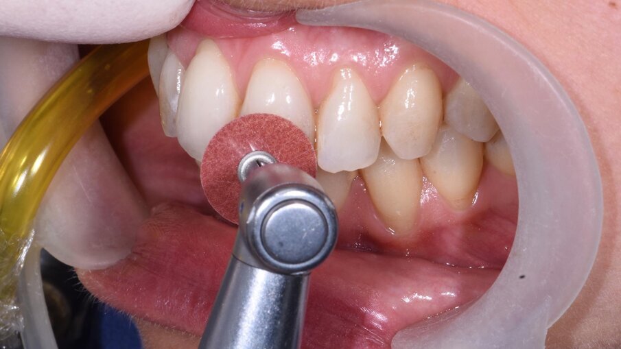
Dopo avere analizzato con attenzione le superfici con il supporto della macro fotografia, si evidenzia la presenza di residui compositi post ortodontici e si esegue una lucidatura delle superfici con disco abrasivo a media granulometria serie Sof-Lex XT 3M seguito da un disco di gomma Sof-Lex Diamond 3M per una lucidatura finale (Figg. 3-5). Si esegue il trattamento di debridement e una lucidatura con sistema airpolishing utilizzando una polvere di carbonato di calcio a bassa granulometria 54 µm NSK adatta alla rimozione delle macchie tenaci e rispettosa per i tessuti molli. Alla fine del trattamento si effettua l’applicazione di fluoruro Na F al 5%-22.600 ppm con una schiuma Flairesse DMG per 1 minuto.
Fig. 3 - Pigmenti sulla superficie dello smalto a T0.
Fig. 4 - Microabrasione con disco abrasivo Sof-lex XT 3M.
Fig. 5 - Lucidatura con disco di gomma sof-Lex Diamond 3M.
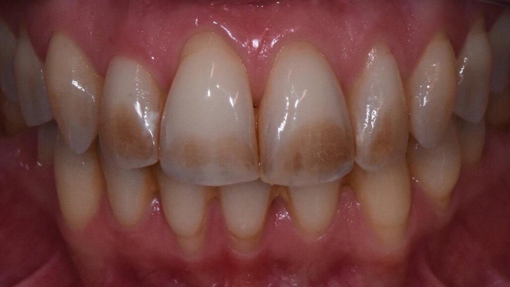
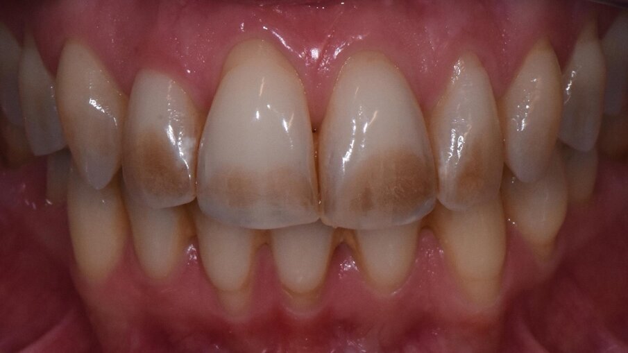
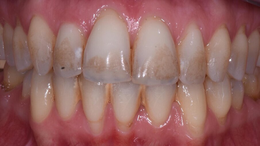
T1. Dicembre 2020, 6 mesi − Si osserva l’incompetenza labiale
La paziente torna con i denti ancora fortemente macchiati (Fig. 6), si eseguono dei test salivari, su base settimanale, dove la quantità risulta nella norma, mentre la qualità rivela una debole acidità nel pomeriggio verso sera, la paziente assume sempre i soliti caffè ed esclude sintomi gastro-esofagei, si consiglia un approfondimento con il medico di base. Si eseguono le foto cliniche e nel contempo si osserva l’incompetenza labiale, si rende consapevole la paziente di questa condizione invitandola a bagnarsi le labbra e a sentire il parere di un logopedista (Fig. 7). Si prescrive un trattamento domiciliare con una Mousse GC contenente un complesso di CPP-ACP (Casein Phosphopeptide/Amorphous Calcium Phosphate) da usare 1/2 volte al giorno per 2 mesi e il dentifricio Regenerate a base di silicato di calcio e fosfato di sodio con tecnologia brevettata NR-5 per uso quotidiano.
T2. Febbraio 2021, 8 mesi − Controllo a 2 mesi
A due mesi la paziente risulta migliorata ma in alcune superfici si presentano ancora delle lievi pigmentazioni in alcuni elementi come l’1.2 e 2.2 (Fig. 8). Non si esegue alcun trattamento professionale e continua a domicilio con l’uso quotidiano del dentifricio Regenerate.
T3. Giugno 2021, 12 mesi − Qualcosa è cambiato
Come si evidenzia dall’immagine (Fig. 9) c’è stato un cambiamento di diffusione dei pigmenti che risultano più concentrati sull’arcata inferiore, si ipotizza che la paziente abbia dedicato più attenzione all’arcata superiore con lo spazzolamento. Nel frattempo e di propria iniziativa ha iniziato a utilizzare un dentifricio a base di un complesso di idrossiapatite e fluoruro HAF della linea Biosmalto. Si esegue debridement e airpolishing (Fig. 10) e si concorda di proseguire con il dentifricio che ha scelto la paziente in quanto anche questa tecnologia poteva risultare adatta al trattamento remineralizzante in corso.
Fig. 6 - Denti fortemente pigmentati al controllo di 6 mesi e dopo la lucidatura delle superfici.
Fig. 7 - Incompetenza labiale ed esposizione delle superfici dentali.
Fig. 8 - Lievi pigmentazioni degli elementi 1.2 e 2.2 a due mesi dal primo trattamento remineralizzante con CPP-ACP mousse e dentifricio base di silicato di calcio e fosfato di sodio con tecnologia brevettata NR-5.
Fig. 9 - Pigmenti lievi e diffusi sulle superfici dentali.
Fig. 10 - Post igiene dentale e trattamento con airpolishing.
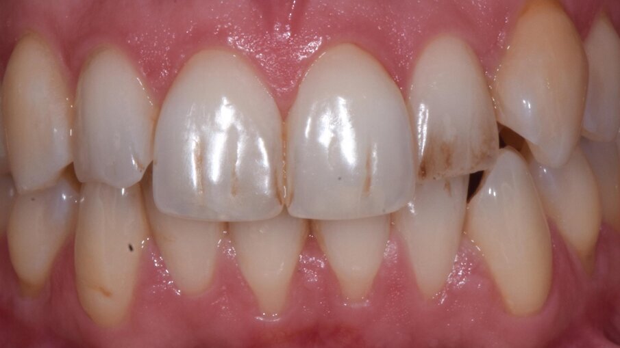
T4. Giugno 2022, 24 mesi − Si ritorna punto a capo e si propone una terapia d’urto
La paziente torna dopo 12 mesi dal nostro ultimo incontro con ancora delle forti pigmentazioni (Fig. 11), malgrado lei affermi di continuare a fare le procedure igieniche domiciliari con costanza e di avere continuato ad usare il dentifricio Biosmalto. Si decide di dare un rinforzo al trattamento remineralizzante e di tornare alla tecnologia che più aveva soddisfatto le nostre aspettative. Dopo il trattamento igienico professionale, si esegue un trattamento ambulatoriale con siero rigenerate con tecnologia brevettata NR-5, la prima applicazione viene fatta in studio spiegando alla paziente come miscelare i due prodotti e come applicare le mascherine (Fig. 12). Il siero, rispetto al dentifricio, contiene fluoruro di sodio e una concentrazione più elevata di silicato di calcio e fosfato di sodio. Come indicato dalla casa produttrice, il siero, dev’essere applicato con un tray apposito dopo averlo attivato, tenuto in bocca per 3 minuti, sputata l’eccedenza e per 30 minuti il paziente non deve bere o mangiare. L’operazione deve essere ripetuta per 3 giorni consecutivi e una volta al mese fino ad esaurimento del prodotto. Il silicato di calcio, principio attivo di questi prodotti, è una formulazione brevettata e testata clinicamente con studi in situ per la capacità di formare nuova idrossiapatite (HAP) direttamente sulla superficie dello smalto. Analisi condotte dimostrano che l’HAP neo formata presenta la stessa morfologia strutturale, composizione chimica e simmetria cristallina del minerale dello smalto ed è particolarmente efficace nel combattere l’erosione dentale4.
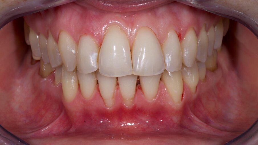
T5. Dicembre 2023, 36 mesi da T0 − Valutazione del risultato dopo il trattamento rinforzato
La paziente torna a 6 mesi per un controllo ed è molto soddisfatta del risultato ottenuto (Fig. 13), continua a utilizzare il dentifricio Regenerate e durante i controlli igienici, alla fine del trattamento si effettua un’applicazione vernice di fluoro Voco Pro Fluoride Voco NaF 5% - 22.600 ppm con aromi alla frutta per una stimolazione salivare. Nell’ultimo controllo a 36 mesi dall’inizio dei trattamenti l’effetto lucido delle superfici si è mantenuto nel tempo. La paziente torna a 6 mesi per l’applicazione di fluoruri ambulatoriali, a 12 mesi per il trattamento igienico e continua con l’utilizzo di dentifricio Regenerate per il mantenimento domiciliare.
Fig. 11 - Forti pigmenti prima del trattamento d’urto con dentifricio e siero Regenerate.
Fig. 12 - Tray in situ per 3 minuti con il siero attivato.
Fig. 13 - Superfici al controllo a 6 mesi dal trattamento d’urto.
Conclusioni
La remineralizzazione dentale indotta è considerata una cura ristrutturante per lo smalto e si attua con l’utilizzo di prodotti in grado di rifornire un organismo, che ne è carente, delle sostanze minerali ad esso necessarie. La remineralizzazione è pura chimica inorganica al lavoro e agisce in un ambito orale con tutte le sue variabili chimiche individuali. La scelta di una tecnologia piuttosto che un’altra spesso si basa sulle condizioni e sulla risposta individuale del paziente. Laddove un principio attivo non offra grandi risultati si possono tentare altre strategie al fine di individuare quella più favorevole e durevole. Questo case report, con tutti i suoi limiti scientifici vuole mettere in luce condizioni individuali, i cambiamenti filosofici e anatomici che possono modificare l’ambiente orale e favorire l’accumulo di pigmenti sulla superficie dello smalto. Dopo una serie di strade intraprese per ristrutturare la superficie dentale, abbiamo ottenuto un risultato duraturo seguendo il protocollo con prodotti a base di silicato di calcio e fosfato di sodio della linea Regenerate, le superfici sono brillanti e malgrado la paziente non abbia cambiato le abitudini di assunzione del caffè, si sono mantenute nel tempo. Si ritiene che il trattamento intensivo del siero (terapia d’urto) abbinato al sostegno quotidiano di dentifricio e collutorio/mousse della linea Regenerate, sia un ottimo trattamento e facile per il paziente da seguire a casa senza bisogno di tornare frequentemente in studio per applicazioni di fluoruri professionali ad alta concentrazione.
Bibliografia
- RH Sundfeld; LM Franco; RS Gonçalves; RS de Alexandre; LS Machado; DS Neto Accomplishing Esthetics Using Enamel Microabrasion and Bleaching—A Case Report Oper Dent (2014) 39 (3): 223–227.
- Migliario M, Bindi M, Surico D, De Pedrini A, Minsenti S, Pezzotti F, Mele B, Foglio Bonda PL. Changes in salivary flow rate and pH in pregnancy. Eur Rev Med Pharmacol Sci. 2021 Feb;25(4):1804-1810. doi: 10.26355/eurrev_202102_25074. PMID: 33660789.
- https://www.ildentistamoderno.com/fotografia-dentale/
- Yuekui Sun, Xiaoke Li, Yan Deng, Jianing N Sun, DanYing Tao, Hui Chen, Qinghong Hu, Renjiang Liu, Weining Liu, Xiping Feng, Jinfang Wang, Mel Carvell, Andrew Joiner,Mode of action studies on the formation of enamel minerals from a novel toothpaste containing calcium silicate and sodium phosphate salts,Journal of Dentistry,Volume 42, Supplement 1, 2014.
L'articolo è stato pubblicato su prevention international magazine for oral health n. 2/24.
Argomenti:
Tag:
Milano, Luglio 2024 – La salute orale e quella del cervello sono più legate di quanto si possa pensare. A spiegare questa inaspettata e meno conosciuta ...
ŌTSU, Giappone: I legami tra diabete, obesità e malattia parodontale sono ben documentati, ma la maggior parte degli studi sulle loro associazioni hanno ...
Turku, Finlandia - Alcuni ricercatori finlandesi hanno scoperto che gli uomini che soffrono di una perdita ossea alveolare hanno una probabilità ...
Una terza dentizione a cent’anni per ognuno di noi dopo i denti da latte e quelli permanenti, come si legge in L’autunno del patriarca, lo ...
FAYETTEVILLE USA: un team di ricercatori internazionali ha sviluppato un nuovo modello che permette ai paleontologi di risalire alla dieta dei nostri ...
Una recente survey condotta dall’Associazione Italiana Diabetici (FAND) in collaborazione con l’Accademia Italiana di Odontoiatria Protesica (AIOP) ha ...
Attualmente è molto di moda parlare di esami posturali in connessione con terapie odontoiatriche. Uno stuolo di figure professionali si affiancano al...
Madrid, Spagna: Un gruppo di ricercatori spagnolo ha sequenziato per la prima volta un genoma completo di un cacciatore raccoglitore europeo. Il team ...
Medicina e Psicologia: La medicina affonda le sue radici etimologiche nel latino, significa: “rimediare, medicare” e studia la definizione, la ...
Negli ultimi anni, la medicina estetica ha subito una trasformazione significativa, spostando l’attenzione da trattamenti puramente correttivi verso ...
Live webinar
mer. 22 aprile 2026
17:00 (CET) Rome
MDT Andreas Chatzimpatzakis
Live webinar
mer. 22 aprile 2026
17:00 (CET) Rome
Live webinar
mer. 22 aprile 2026
18:00 (CET) Rome
Live webinar
gio. 23 aprile 2026
17:00 (CET) Rome
Live webinar
gio. 23 aprile 2026
18:30 (CET) Rome
Live webinar
gio. 23 aprile 2026
19:00 (CET) Rome
Live webinar
gio. 30 aprile 2026
1:00 (CET) Rome
Dr. Renato Leonardo D.M.D.
To post a reply please login or register