Durante una conferenza tenutasi nel febbraio di quest’anno all’AEEDC Dubai 2024, il dott. Ahmed Shawky el-Sheshtawy ha illustrato le possibilità e i rischi dei ritrattamenti endodontici nel tentativo di salvare i denti naturali. Il dott. Shawky el-Sheshtawy è titolare di studio privato specializzato in micro-endodonzia ed è docente senior presso il Dipartimento di Endodonzia dell’Università del Cairo in Egitto. Dental Tribune International ha parlato con lui della sua presentazione, della complessità dei ritrattamenti, dei progressi nel campo dell’endodonzia e di come gestire al meglio le aspettative dei pazienti.
Il titolo della sua presentazione faceva riferimento al ritrattamento come unico metodo per salvare i denti. Qual era l'obiettivo principale della sua relazione all'AEEDC?
La mia relazione voleva far luce sul ruolo dei ritrattamenti endodontici nel preservare i denti naturali come alternativa alla loro sostituzione con impianti o protesi. I partecipanti sono stati istruiti sull'intero processo di ritrattamento, a partire dal razionale che sta alla base dei ritrattamenti, fino ad arrivare al processo decisionale, che è il processo più critico nei nostri trattamenti. La mia lezione ha anche trattato le diverse procedure e tecniche utilizzate per gestire i casi di ritrattamento complessi.
Potrebbe spiegarci come gli obiettivi dei ritrattamenti, quali la guarigione della parodontite periapicale e la sua prevenzione, siano più complessi rispetto ai trattamenti primari?
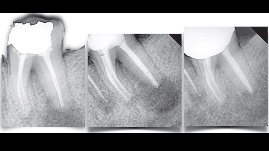
Il trattamento e la prevenzione della parodontite periapicale a seguito di trattamenti falliti sono notevolmente più complessi rispetto ai trattamenti primari. Nei trattamenti primari, il sistema dei canali radicolari, nonostante la sua complessità, può essere gestito efficacemente con gli attuali protocolli di sagomatura e pulizia, raggiungendo percentuali di successo del 95% nella maggior parte dei casi. Tuttavia, nei casi in cui l'insuccesso del trattamento rende necessario il ritrattamento, ulteriori fattori o sfide possono complicare la situazione. Questi includono la rimozione di precedenti materiali di otturazione radicolare, l'anatomia alterata, la presenza di perforazioni, l'ostruzione canalare (iatrogena o biologica), il riassorbimento infiammatorio e l'incapacità di raggiungere la pervietà attraverso il forame, che è fondamentale. Inoltre, la presenza di una lesione apicale si aggiunge a queste complicazioni. Tali difficoltà, combinate con la natura intrinsecamente complessa del sistema dei canali radicolari, rendono i ritrattamenti significativamente più impegnativi rispetto ai trattamenti primari e spesso si traducono in tassi di successo inferiori.
Quali sono le principali sfide che i medici devono affrontare per accedere al sistema dei canali radicolari durante i ritrattamenti, soprattutto considerando fattori quali le otturazioni intracanalari esistenti e l'anatomia canalare alterata?
Il recupero dell'accesso al sistema dei canali radicolari può essere impegnativo, soprattutto quando sono stati utilizzati perni in fibra come elementi di ritenzione intracanalare. I medici devono avere l'esperienza necessaria e gli strumenti adeguati per evitare errori iatrogeni. Per quanto riguarda i materiali da otturazione intracanalare, è necessario un approccio diverso ma dinamico. Esistono infatti diversi tipi di materiali da otturazione radicolare, tra cui i vecchi punti d'argento, la guttaperca e i materiali in silicato di calcio, ampiamente utilizzati, ognuno dei quali richiede un metodo di rimozione distinto per recuperare il pieno accesso al sistema dei canali radicolari. Una rimozione inadeguata di questi materiali durante i ritrattamenti può compromettere il risultato del trattamento. I residui possono limitare l'accessibilità dei disinfettanti e degli strumenti alle microanatomie o possono causare un sigillo inadeguato.
Date le ulteriori sfide, quali sono i fattori chiave da considerare quando si sviluppa una strategia per ottenere un esito positivo del trattamento?
I fattori chiave per lo sviluppo di una strategia di ritrattamento efficace includono un'accurata valutazione pre-trattamento da parte del medico. Questa valutazione è fondamentale per determinare la prognosi del caso e formulare il piano di trattamento. La fase successiva prevede il processo decisionale, in cui il medico decide l'approccio al trattamento, se non chirurgico, chirurgico o una combinazione di entrambi. In questo contesto, il medico deve anche decidere se il dente può essere salvato. Il terzo fattore comprende le tecniche e le fasi procedurali coinvolte nel processo di ritrattamento.
Quali progressi nella tecnologia o nelle tecniche endodontiche hanno migliorato i risultati delle procedure di ritrattamento negli ultimi anni?
L’endodonzia è una specialità molto dinamica e in rapida evoluzione. Ha beneficiato dei progressi delle modalità di imaging, come la CBCT, che consente una visualizzazione precisa dei problemi dentali. I recenti progressi negli strumenti in nichel-titanio e nella loro cinematica, insieme all’introduzione di nuovi strumenti e dispositivi per la somministrazione e l’attivazione dell’irrigante, hanno contribuito a migliorare i risultati del trattamento. L’integrazione dell’ingrandimento e degli ultrasuoni nella pratica endodontica è un aspetto critico che ha trasformato in modo significativo la specialità. Queste tecnologie sono state fondamentali per varie procedure e persino per correggere precedenti errori. Inoltre, vorrei sottolineare la rapida evoluzione dei biomateriali endodontici, in particolare dei materiali a base di silicato di calcio. Questi si sono dimostrati utili nei ritrattamenti complessi, soprattutto nei casi che coinvolgono difetti radicolari o anatomie difficili. Inoltre, ci sono stati progressi significativi nei concetti e nei materiali per la fase restaurativa post-endodontica, che giocano un ruolo cruciale nell’estendere il tempo di sopravvivenza dei denti trattati.
Come si gestiscono le aspettative dei pazienti e si comunicano i potenziali rischi e benefici di una procedura di ritrattamento?
È un'ottima domanda, soprattutto per i giovani medici. Il fattore chiave per gestire le aspettative del paziente risiede in una corretta valutazione pre-trattamento. Ciò comporta l'esame dello stato attuale del dente, la valutazione delle potenziali complicazioni e, soprattutto, la valutazione del potenziale di sopravvivenza del dente dopo il trattamento. Grazie a queste informazioni, i medici possono comunicare ai pazienti in modo chiaro e semplice i benefici e i rischi connessi.
C'è qualcos'altro che vorrebbe far sapere ai nostri lettori?
Vorrei sottolineare che i ritrattamenti sono un modo unico per salvare non solo i denti ma anche l'osso circostante. Raggiungendo l'obiettivo della guarigione, anche se a un certo punto il dente dovesse cedere strutturalmente, si è creata una base sana per un futuro impianto.
Nota editoriale:
Nota editoriale: Questa intervista è apparsa originariamente su AEEDC 2024, e una versione modificata viene fornita qui con il permesso dell’autore.
“I denti sono importanti”, questa la risposta che si riceve quando si domanda alle persone dei loro denti. La maggior parte degli individui ...
AICPE, SICPRE, AITEB, SIME, SIES e Agorà - le principali società scientifiche italiane di chirurgia e medicina estetica - intervengono dopo il...
L’estetica declinata in tutte le sue componenti: liceità, etica, biologia, comunicazione, psicologia, tecnica. È l’argomento trattato durante l’VIII...
In merito alla vicenda dell’apparecchio radiografico portatile prodotto in Cina e messo al bando dal Ministero della Salute italiano ...
FIMMG (Federazione Italiana Medici di Medicina Generale) e Croce Rossa Italiana insieme contro le aggressioni al personale sanitario, un fenomeno che in ...
Il mese di settembre coincide, anche per la professione odontoiatrica, con lo start della grande kermesse di aggiornamento: congressi, convegni, conferenze ...
Confermato l’obbligo per il medico di indicare il farmaco generico «se di minor prezzo» rispetto al medicinale griffato ovvero “Dal ...
Cassazione Penale Sentenza n. 13127/16 – Errore diagnostico – È principio ribadito nella giurisprudenza di questa Corte come, in tema di ...
Con l’arrivo delle feste, aumentano i rischi per la salute del sorriso: ecco le informazioni utili e i consigli degli esperti per godersi a pieno periodo ...
Rimini offre molto in ottica ludico-ricreativa per attrarre un visitatore dell’Expodental Meeting desideroso di impegnare del tempo fuori dalla Fiera.
Live webinar
gio. 22 gennaio 2026
15:00 (CET) Rome
Prof. Judith Jones D.D.S; M.P.H., Prof. Kakuhiro Fukai D.D.S., Ph.D, Dr. Bathsheba (Bethy) Turton
Live webinar
gio. 22 gennaio 2026
20:00 (CET) Rome
Dr. Nicola M. Grande DDS, PhD
Live webinar
mer. 28 gennaio 2026
14:00 (CET) Rome
Live webinar
mer. 28 gennaio 2026
17:00 (CET) Rome
Prof. Dr. Jan-Frederik Güth
Live webinar
mer. 28 gennaio 2026
17:00 (CET) Rome
Dr. Algimante Lošytė – Jančė
Live webinar
mer. 28 gennaio 2026
18:00 (CET) Rome
Live webinar
mer. 28 gennaio 2026
19:00 (CET) Rome
Dr. Marina Siegenthaler Dr. med. dent. eidg. dipl. Zahnärztin SSO
To post a reply please login or register