Lo scopo di questo lavoro consiste nel mostrare i vantaggi clinici e biologici dell’impiego della tecnologia PRGF nella pratica chirurgica odontoiatrica. Infatti sia in campo implantologico, in campo parodontale o in chirurgia orale l’impiego del plasma ricco in fattori di crescita (PRGF), garantisce non solo una miglior guarigione clinica con riduzione dell’edema e del dolore post operatorio, ma anche una miglior osteointegrazione delle fixtures o una più efficace osteogenesi negli interventi di rigenerazione ossea.
Questi fenomeni sono possibili grazie alla concentrazione e alla liberazione dei fattori di crescita (GFs o growth factors) dalle piastrine che amplificano i naturali processi di riparazione tissutale a discapito dei processi destruenti dovuti alla liberazione delle interleukine da parte dei leucociti. Sono proprio questi fattori di crescita a garantire una rapida neoangiogenesi nei tessuti traumatizzati con accelerazione delle fasi anaboliche di rigenerazione, nonchè a permettere l’attivazione “a cascata” di processi locali di guarigione, con rapido richiamo di cellule totipotenti di origine ematica e di cellule mesenchimali tissutali indirizzandone la differenziazione a seconda del tessuto interessato.
Introduzione
In ambito chirurgico il sogno di ogni operatore è la guarigione ideale, ovvero rapida, possibilmente indolore e indubbiamente senza complicanze post operatorie. Per garantire questi obiettivi risultano importanti la tecnica e la manualità chirurgica, così come è fondamentale il “terreno” su cui viene effettuata la terapia, ovvero una condizione psicofisica del paziente che permetta di assorbire nel migliore dei modi il trauma chirurgico. Fisiologicamente ogni processo di guarigione comincia con l’emostasi, costituita dalla coagulazione del sangue e dall’aggregazione delle piastrine, fenomeni seguiti dalla fase di infiammazione, di proliferazione cellulare e di maturazione della ferita. Da questa schematizzazione appare evidente l’importanza delle prime fasi nel garantire una guarigione stabile ed efficace, e l’impiego della tecnologia PRGF si inserisce proprio in questo contesto amplificandone i processi fisiologici. PRGF è l’acronimo di Plasma Ricco in Fattori di Crescita (GFs), ovvero dei mediatori biologici responsabili della fine regolazione dei processi di rigenerazione tissutale. Con il termine fattore di crescita (spesso usato nella forma inglese growth factor o GF) ci si riferisce generalmente a proteine capaci di stimolare la proliferazione e la differenziazione cellulare. Sono molecole segnale usate per la comunicazione tra le cellule di un organismo; la loro funzione principale è il controllo del ciclo cellulare determinando il passaggio della quiescenza cellulare alla fase di crescita cellulare. Ma questa non è la loro unica funzione: regolano infatti anche l’attivazione della mitosi, la sopravvivenza cellulare, la migrazione e il differenziamento cellulare, in particolare nelle fasi di rigenerazione o di guarigione.
Si tratta di un equilibrio dinamico finemente regolato grazie alla liberazione di queste molecole che interagiscono in maniera complessa: proprio per questo motivo a tutt’oggi non sono state ancora definite in maniera precisa le reciproche interazioni rendendo pertanto impossibile la sua riproduzione in laboratorio.
Inoltre, sebbene molte volte il nome dei GFs si riferisca alla specifica azione della molecola o alla loro origine più comune, come ad esempio le proteine morfogenetiche dell’osso (BMPs) che stimolano la rigenerazione ossea, o il fattore di crescita endoteliale vasale (VEGF), che stimola la crescita dei vasi, in realtà è la loro reciproca regolazione l’elemento chiave della rigenerazione di uno specifico tessuto: ovvero non è la singola molecola che determina la crescita di un determinato tessuto, ma è l’equilibrio nella liberazione di queste molecole e la loro reciproca regolazione a determinare il risultato finale. In altri termini non è il solista che crea la sinfonia, ma l’armonica azione di tutta l’orchestra a determinare il risultato finale. Appare quindi ovvia l’importanza di riprodurre e amplificare i meccanismi che la natura ha messo a punto nella gestione dei processi di crescita cellulare.
Da questo punto di vista le piastrine risultano essere le cellule che maggiormente liberano GFs nei tessuti lesi, quantomeno nella fase iniziale della guarigione, tanto che storicamente gli si riconosce il ruolo chiave del processo riparativo in ogni tessuto.
La tecnologia PRGF permette infatti di concentrare le piastrine plasmatiche che vengono quindi reinserite nel sito chirurgico accelerandone i processi di riparazione. Si tratta di una metodica che prevede l’esecuzione di un normale prelievo di sangue venoso (generalmente dagli arti superiori), la sua centrifugazione secondo parametri precisi e la successiva separazione del plasma dalle altre componenti ematiche (eritrociti e leucociti). Dal plasma vengono ricavate due frazioni a concentrazione piastrinica media differente: dalla prima, relativamente povera di piastrine, si ottengono membrane autologhe gelatinose ricche di fibrina e con contenuto piastrinico medio simile a quello del sangue periferico, mentre la seconda (PRGF propriamente detto) risulta estremamente ricca in piastrine e fattori di crescita (concentrazione piastrinica media pari a 3,6 volte quella del sangue periferico). La tecnica prevede un prelievo di sangue mediante ago butterfly e provette sottovuoto contenenti citrato sodico che chelando il calcio plasmatico impedisce la coagulazione dello stesso. Una volta centrifugato, il plasma viene separato con micropipette da laboratorio e viene aggiunto calcio cloruro alla concentrazione di 50 microlitri per millilitro (cc) di plasma: in tal modo si riattivano i processi di coagulazione e di aggregazione piastrinica. Questo passaggio risulta fondamentale perché l’attivazione delle piastrine determina la loro degranulazione, ovvero alla liberazione di GFs, che risulta pertanto gestita dall’operatore solo nel momento in cui realmente risulta necessaria. Infatti dalla frazione più ricca di piastrine possiamo ricavare PRGF liquido non attivato con il quale bagnare la superficie implantare, PRGF liquido attivato con aggiunta di calcio (ad esempio per infiltrare le cavità articolari o per il ringiovanimento estetico dei tessuti molli), o con cui miscelare materiale di innesto osseo (auto- o eterologo), o infine gelificato sotto forma di membrane autologhe (ad esempio per la copertura di una ferita chirurgica). Grazie a questa versatilità del prodotto è possibile utilizzare la tecnologia in tutte le procedure chirurgiche favorendo e amplificando i processi di guarigione a discapito di quelli infiammatori: i casi clinici descritti mostrano i benefici effetti sia sui tessuti molli sia su quelli duri.
embedImagecenter("Imagecenter_1_482",482, "large");
Primo caso clinico: escissione di granuloma piogenico
Si è presentata alla nostra osservazione una ragazza di 14 anni lamentando sanguinamento in regione retroincisale associato a una formazione nodulare che interessava la regione retroincisale corrispondente allo sbocco del nervo naso-palatino di Scarpa. All’esame obiettivo si evidenziava la presenza di una lesione nodulare peduncolata, di colore rosso-vivo con sfumature violacee, di consistenza duro-elastica e con superficie liscia. Alcune aree presentavano piccole erosioni superficiali sanguinanti al semplice sfioramento (Fig. 1).
La paziente riferiva che tale lesione era presente da qualche settimana, ingrandendosi progressivamente, e che era già stata asportata almeno due volte mediante incisione alla base del peduncolo effettuata in maniera tradizionale. Il precedente esame istologico rivelava esclusivamente una ricca componente cellulare flogistica (in particolare di plasmacellule) associata a una componente stromale lassa, con diagnosi di granuloma piogenico.
Le valutazioni cliniche e radiografiche mediante rx endorale e OPT non evidenziavano cause endodontiche o parodontali (Fig. 2). Data la recidiva del problema si è deciso di intervenire inizialmente con un’incisione alla base del peduncolo effettuata mediante laser a diodi, preservando la componente nodulare al fine di eseguire un ulteriore esame istologico che comunque confermava la diagnosi precedente. L’incisione mediante laser era stata eseguita eliminando anche la base di impianto del peduncolo al fine di essere decisamente radicali nell’asportazione.
Purtroppo, a un mese di distanza, la paziente si è ripresentata per l’ennesima recidiva della neoformazione: si è pertanto deciso di intervenire in maniera radicale rimuovendo lo spesso strato di mucosa palatina sottostante la lesione con esposizione del piano osseo.
Tale approccio aveva tuttavia l’inconveniente di lasciare scoperta la superficie ossea che necessitava o di una trasposizione di un lembo palatino o di un innesto, fattori che avrebbero incrementato la morbidità post-operatoria con un maggior rischio di una guarigione imperfetta (Fig. 3). Per sopperire a tali inconvenienti si è proceduto a inserire, nella sede lesa, delle membrane autologhe ottenute dalla tecnologia PRGF (Fig. 4), con le quali chiudere la ferita chirurgica ricoprendo la superficie ossea in assenza di tessuto gengivale: nel fondo della cavità sono state inserite membrane ad alta concentrazione piastrinica (Fig. 5), per poi coprire il tutto con le membrane ricche di fibrina ricavate dalla frazione 1: la più superficiale è stata suturata come un lenzuolo alla parte libera di mucosa palatina (Figg. 6,7).
La paziente è stata quindi dimessa con le indicazioni tipiche del periodo post-chirurgico, in particolare per quanto concerne l’apporto alimentare: in questi casi bisogna infatti evitare in particolare quei cibi che possano traumatizzare la ferita creando un distacco della membrana superficiale. Il protocollo farmacologico assegnatole prevedeva ketoprofene (20 gocce per tre volte al giorno per tre giorni) come antalgico e amoxicillina più acido clavulanico (1 grammo per due volte al dì per 6 giorni) come terapia antibiotica. L’azione antisettica era garantita da clorexidina gel 1% dal momento che la zona non poteva essere traumatizzata dallo spazzolamento dentale per 15 giorni. Il decorso post-operatorio è stato privo di dolore (a parte i primi 3 giorni) e caratterizzato da un modesto edema. Dopo 13 giorni si è proceduto alla rimozione della sutura e si può osservare come la rigenerazione tissutale appaia ancora in fase attiva con una incompleta riepitelizzazione del neotessuto (Fig. 8). Dopo 30 giorni dall’intervento la guarigione era pressoché completa anche se permaneva una modesta depressione maggiormente vascolarizzata in corrispondenza della mucosa asportata (Fig. 9). Dopo 60 il processo era giunto a completamento e non era più riconoscibile macroscopicamente la zona rigenerata (Fig. 10). All’epoca di questo controllo si è proceduto anche a una valutazione parodontale dei due incisivi centrali sia in regione palatale sia interprossimale, rilevando l’assenza di tasche (sondaggio massimo 2 millimetri in regione interprossimale) e un indice di sanguinamento pari a 1 per la carente igiene della paziente, ormai intimorita dalla possibilità di vedere un gemizio di sangue della zona che per la sua psiche era espressione della recidiva dell’epulide.
La paziente è stata controllata costantemente e dopo quattro anno dall’intervento non si sono più avute recidive.
Secondo caso clinico: inserimento di impianto post-estrattivo con rigenerazione ossea
Si è presentato un paziente di sesso maschile chiedendo che venisse ricementata una vecchia corona in oro ceramica in corrispondenza del dente 2.5: in realtà si era decementato il relativo perno moncone e un’accurata ispezione della radice ha mostrato una rima di frattura della stessa. Su richiesta del paziente si è comunque proceduto alla ricementazione del manufatto rinviando ulteriori terapie. Dopo 2 mesi il paziente si è presentato di nuovo lamentando dolore e gonfiore in corrispondenza della gengiva del dente in questione, con fuoriuscita di materiale purulento dal tragitto fistoloso presente a livello vestibolare (Fig. 11).
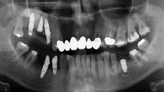
Le valutazioni radiologiche mediante OPT ed endorale hanno evidenziato l’estensione della lesione periapicale e rafforzato il sospetto di una frattura radicolare (Fig. 12). Dopo aver ottenuto il consenso del paziente all’estrazione e al possibile inserimento di una fixture, si è proceduto alla avulsione della radice e del tessuto di granulazione a essa adeso (Fig. 13). Si è quindi proceduto alla scolpitura del lembo vestibolare che ha mostrato un importante deficit osseo (Fig. 14) che tuttavia non ha impedito l’inserimento di una fixture BTI universale esterna (lunghezza 15 mm, diametro 4 mm) stabilizzata solo a livello apicale (Fig. 15). Si è quindi proceduto a ricostruzione della parete vestibolare mediante innesto di osso eterologo (OsteoXenon®, Bioteck Italia) miscelato con PRGF.
A copertura dell’innesto sono state posizionate membrane autologhe di PRGF e di fibrina suturando il lembo vestibolare senza incisione di scarico del periostio (Figg. 16,17): infatti una volta posizionate le membrane gelificate il lembo vestibolare ha immediatamente riacquisito quella elasticità tissutale che ha permesso di evitare il rilascio periostale. Ne consegue in tal modo una minor morbidità post-operatoria (ricordiamo infatti che è proprio l’incisione del periostio una delle cause maggiori di edema e di ematomi cutanei), nonchè la preservazione di quella struttura fondamentale per la rigenerazione di nuovo osso: per questo motivo non è stato necessario inserire membrane sintetiche a protezione dell’innesto. A copertura della fixture è stato posizionato un abutment di guarigione transmucoso suturando il lembo attorno a essa. Il processo di guarigione non ha avuto problemi e l’uso di FANS è stato ridotto a una sola dose di ibuprofene nelle ore successive all’intervento. Dopo 2 mesi (Figg. 18,19) si è proceduto a rimuovere il tappo di guarigione e la fixture non ha mostrato alcun segno clinico (dolore, mobilità) di mancata osteointegrazione: ciò nonostante si è preferito protesizzare l’impianto solo dopo 5 mesi (Figg. 20, 21). Il follow-up a 18 mesi dall’inserimento della fixture (a causa degli gli impegni lavorativi del paziente) ha mostrato la stabilità del risultato sia da un punto di vista clinico che radiografico (Figg. 22, 23), potendo a quel punto proseguire con l’esecuzione del manufatto definitivo.
Terzo caso clinico: rialzo di seno mascellare con perforazione della mucosa sinusale
In tutte le tecniche di rigenerazione tissutale il PRGF mostra evidenti vantaggi clinici e biologici, proprio perchè la metodica rappresenta un’amplificazione dei normali processi di guarigione. Anche sui tessuti duri i vantaggi sono importanti proprio per la rapida neoangiogenesi che il PRGF induce, cui consegue un precoce e adeguato apporto di ossigeno, di metaboliti e di cellule a rapida differenziazione che possano trasformarsi in osteoblasti. Per valutare l’efficacia della tecnica viene descritto una caso di rialzo di seno con inserimento contemporaneo di due fixtures e tardivo (dopo 12 mesi) della terza.
La paziente si è presentata alla nostra osservazione per una condizione di parodontite acuta recidivante a livello del quadrante superiore destro in corrispondenza del ponte 25-27. L’OPT evidenziava molto bene la condizione di grave riassorbimento osseo che determinava una forte mobilità del ponte (Fig. 24), ragion per cui si è proceduto all’avulsione di questi elementi.
Dopo 30 giorni si è proceduto all’intervento di rialzo di seno programmando anche l’inserimento contemporaneo di tre fixtures nonostante l’atrofia ossea (1-2 millimetri di osso corticale): questa condizione ha tuttavia determinato la frattura della sottile lamina corticale in corrispondenza della fixture intermedia, permettendo così solo l’inserimento delle altre due. Inoltre durante lo scollamento e l’elevazione della mucosa sinusale si è avuta la sua lacerazione proprio per la presenza di aderenze fibrose: generalmente ciò induce l’interruzione della procedura per l’impossibilità di stabilizzare il materiale d’innesto. In questo caso la perforazione è stata sigillata mediante l’applicazione di membrane gelificate di PRGF e di fibrina, ovvero di un materiale autologo e autolegante con caratteristiche di adesività tissutale eccezionali che ne permettono l’immediata stabilizzazione. Il fenomeno è così evidente e rapido che la mucosa riprende la sua pneumatizzazione in sincronia con i movimenti respiratori, ovvero ricomincia a muoversi seguendo le variazioni pressorie delle cavità nasali. Ciò ha permesso di proseguire l’intervento posizionando nella cavità subantrale il materiale di innesto (auto-, omo- o eterologo) precedente miscelato con PRGF (Figg. 25-29).
Dopo 6 mesi le due fixtures sono state caricate con un ponte provvisorio in resina e dopo 12 mesi è stata inserita anche la terza fixture tra le precedenti. In tal modo è stato possibile valutare la quantità ma soprattutto la qualità dell’osteogenesi indotta dal PRGF miscelato con osso eterologo. Sebbene la superficie ossea sia apparsa irregolare per la presenza di evidenti granuli di osso eterologo, lo sforzo delle frese durante la perforazione con velocità di rotazione di 50 giri al minuto indicava la presenza di un osso denso e compatto (Figg. 30, 31). Grazie a questa metodica di fresatura si è potuto valutare la qualità dell’osso prelevato in sede più profonda: esso appariva rosso, ricco di sangue e con evidenti segni di vitalità (Figg. 32, 33). Infatti la fresatura a basso numero di giri (e senza irrigazione) garantisce non solo un minor trauma chirurgico, ma anche un maggior recupero di osso vitale (rosso) e non surriscaldato dalla fresa (bianco e addensato in sottili scaglie), nonché una migliore visuale del campo operatorio. Nell’alveolo così preparato è stata inserita una fixture BTI interna plus (diametro 5 mm, lunghezza 10 mm) con torque di inserimento pari a 40 Ncm e l’osso recuperato è stato inserito vestibolarmente per dare una migliore anatomia al processo alveolare. I lembi sono stati suturati senza procedere all’incisione di scarico vestibolare grazie all’inserimento di membrane autologhe di PRGF (Figg. 34-41). Dopo 6 mesi la terza fixture è stata caricata con un elemento provvisorio singolo in resina (dopo ovviamente aver modificato il ponte precedente), risultando perfettamente ossificata, e dopo 10 mesi dall’inserimento sono stati cementati le corone definitive in oro ceramica (Fig. 42).
Discussione e conclusioni
I casi mostrati rappresentano solo alcuni esempi di quanto avviene abitualmente nella pratica clinica quotidiana, evidenziando l’efficacia del PRGF nella guarigione dei tessuti duri e molli.
L’elemento chiave è la liberazione equilibrata (e programmata dalla fisiologia) di diversi GFs fondamentali nel processo di guarigione, in primo luogo garantendo una rapida neoangiogenesi che permette un adeguato apporto di ossigeno, di metaboliti e di cellule a rapida differenziazione che a livello osseo possano trasformarsi in osteoblasti. Il fenomeno è particolarmente importante quando si impiega materiale da innesto che deve essere integrato e progressivamente sostituito da nuovo osso. Pertanto il PRGF permette una guarigione più rapida e migliore (da un punto di vista clinico e istologico) di ogni atto chirurgico, in particolare a livello di chirurgia orale o implantare.
Inoltre l’eliminazione dei leucociti dal plasma (e quindi dal materiale innestato) permette in primo luogo un miglior controllo dell’edema e del dolore postoperatorio (minor morbidità legata alla procedura) e, in secondo luogo, l’eliminazione delle interleukine ad attività pro-infiammatoria e osteoclastica: infatti queste proteine (in particolare la IL-6) richiamano i monociti plasmatici inducendone una differenziazione osteoclastica, con conseguenti effetti negativi sui processi di ossificazione dell’innesto (in particolare nelle fasi iniziali). Il risultato principale è comunque la riduzione della fase infiammatoria del processo di guarigione, caratterizzata dal dolore; anche alcuni GFs riducono ulteriormente il dolore, con il risultato che il PRGF garantisce una drastica riduzione del dolore e dell’edema post-operatorio.
Inoltre le proteine dell’immunità umorale presenti nel plasma hanno attività antibatterica e antimicotica preservando la ferita chirurgica o il materiale da innesto dal possibile sviluppo di complicanze infettive nella sede di intervento, facilitando ulteriormente i processi di guarigione.
Pertanto è giustificato affermare che con il PRGF si guarisce meglio, più rapidamente e con meno dolore.
L'articolo è stato pubblicato sul numero 1 di Implant Tribune 2012 Italy.
La bibliografia completa è disponibile presso l'editore.
Con Giancarlo Di Bartolomeo, odontoiatra libero professionista, esperto di ipnosi, abbiamo fatto il punto sul rapporto ipnosi odontoiatria.
Uno studio qualitativo sugli effetti dello yoga su pazienti affetti da dolore cronico ha evidenziato come questa pratica migliori la qualità della ...
Ascoltare musica è un qualcosa che tutti, in misura maggiore o minore, facciamo. È un piacere per il corpo e la mente – ...
Spesso vengono identificate come “chirurgia mini-invasiva” procedure chirurgiche che comportano rischi importanti per i nostri pazienti.
È con piacere che vi vogliamo informare che EthOss Regeneration Ltd. e Isasan hanno raggiunto un accordo per cui è immediatamente disponibile ...
Livio Gallottini si è laureato a Roma presso l’Università degli Studi di Roma “Sapienza” in Medicina e Chirurgia nel 1992. ...
«Siamo pronti a ragionare con il governo su un grande progetto di prevenzione rivolto a tutti gli italiani e in particolare alle fasce deboli. Studieremo ...
In tempi di comunicazione anche i fogli illustrativi allegati ai farmaci volgarmente denominati “bugiardini” (nome che è tutto un ...
Scende il numero delle aziende: sono 4,3 milioni , con in media 3,8 addetti ciascuna. Ogni persona però produce e lavora di più.
Ginevra, Svizzera/Berlino, Germania: la tassa sullo zucchero è una misura molto discussa, la scorsa settimana l’Organizzazione Mondiale della ...
Live webinar
gio. 7 maggio 2026
2:00 (CET) Rome
Ms. Ellen Karlin, Dr. Sara Karlin
Live webinar
gio. 7 maggio 2026
17:00 (CET) Rome
Live webinar
gio. 7 maggio 2026
18:00 (CET) Rome
Live webinar
gio. 7 maggio 2026
18:00 (CET) Rome
Dra. Maria Carolina Erhardt, Dra. Thais Tomé Feldens
Live webinar
gio. 7 maggio 2026
20:30 (CET) Rome
Live webinar
lun. 11 maggio 2026
18:00 (CET) Rome
Live webinar
lun. 11 maggio 2026
19:00 (CET) Rome
To post a reply please login or register