DEXIS, una tra le principali aziende del settore dentale, rende disponibili nuove funzionalità di intelligenza assistita (IA) nel suo premiato software DTX Studio Clinic.
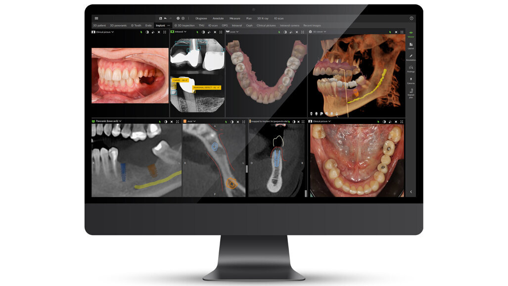
Questa nuova release, grazie all’intelligenza assistita di cui è provvista, è in grado di effettuare una “scansione” delle immagini radiografiche acquisite e di riconoscere le aree di interesse diagnostico, aiutando pertanto l’odontoiatra a prendere decisioni con maggiore consapevolezza. Grazie a queste nuove funzionalità, i medici potranno illustrare ai propri pazienti la diagnosi effettuata e il piano di trattamento conseguente in modo più comprensibile, alimentandone la fiducia e ottimizzando, allo stesso tempo, l’efficienza dello Studio.
Con il rilascio dell’ultima versione di DTX Studio Clinic, la funzionalità MagicSort porta l’intelligenza assistita a nuovi livelli, grazie al riconoscimento, all’ordinamento e al posizionamento delle immagini all’interno della schermata; inoltre, non solo le immagini 2D ma anche quelle fotografiche sono automaticamente orientate in modo corretto. Questa funzione semplifica notevolmente l’organizzazione, facilita la visualizzazione e il confronto e riduce i passaggi manuali richiesti all’operatore, permettendo di risparmiare tempo e sforzi da dedicare invece alla diagnosi e alla programmazione del trattamento.
Un’altra novità è rappresentata da SmartFusion, funzionalità che permette al clinico di vedere sovrapposti i dati provenienti dalla presa di un’impronta ottica con i dati provenienti da una scansione CBCT, per disporre di una visualizzazione 3D altamente dettagliata e accurata dell’anatomia del paziente.
Oltre alle funzioni descritte, una delle più entusiasmanti è il tracciamento automatico del canale del nervo mandibolare. L’IA di cui il software è dotato aiuta a rilevare il canale del nervo mandibolare, aumentando notevolmente la sicurezza del paziente durante le procedure complesse.
DEXIS
Padiglione C1
Corsia 3
Stand 115
Tag:
DEXIS, una tra le principali aziende del mondo nel campo dell’innovazione delle tecnologie digitali di imaging per il settore dentale, rende disponibili ...
Align Technology, Inc. (“Align”) (Nasdaq: ALGN), ha presentato iTero Design Suite, che offre ai medici un modo intuitivo per facilitare la ...
Il prossimo sabato 17 maggio il Centro Congressi dell’Hotel Caesius Thermae & SPA Resort di Bardolino ospiterà l’incontro di Studio, ...
Il trattamento con Air-Flow Perio si rivela più sicuro, più efficace e più duraturo rispetto ad altri metodi di profilassi dentale. ...
DEXIS, una tra le principali aziende del mondo nel campo dell’innovazione delle tecnologie digitali di imaging per il settore dentale, annuncia il lancio ...
DÜRR DENTAL presenta il nuovo VistaScan top di gamma.
Informatizzare significa in sostanza cambiare supporto. Quello che prima avevo su un foglio di carta oggi è in un computer, stessa cosa per un’immagine o...
Quando si discute delle ultime innovazioni in implantologia dentale, uno degli argomenti più popolari è la tecnologia che supporta i flussi di lavoro ...
È una nuova possibilità di sostenere le attività ed i progetti di COI e allo stesso tempo di dare visibilità alla tua ...
Noi medici e operatori del settore dentale trascorriamo la maggior parte del nostro tempo all’interno dei nostri studi: per questo motivo cerchiamo di...
MONACO: La scorsa settimana il Dental Tribune International (DTI) ha lanciato Cone Beam, International Magazine of Cone Beam Dentistry, una pubblicazione ...
Live webinar
mer. 22 aprile 2026
17:00 (CET) Rome
MDT Andreas Chatzimpatzakis
Live webinar
mer. 22 aprile 2026
17:00 (CET) Rome
Live webinar
mer. 22 aprile 2026
18:00 (CET) Rome
Live webinar
gio. 23 aprile 2026
17:00 (CET) Rome
Live webinar
gio. 23 aprile 2026
18:30 (CET) Rome
Live webinar
gio. 23 aprile 2026
19:00 (CET) Rome
Live webinar
gio. 30 aprile 2026
1:00 (CET) Rome
Dr. Renato Leonardo D.M.D.
To post a reply please login or register