L’Invisalign Personalized Plan (IPP) è un nuovo servizio offerto da Align Technology. Questa innovativa funzione è stata progettata con l’obiettivo di semplificare il processo di pianificazione del trattamento, consentendo di ottenere in modo più coerente ed efficiente i piani di trattamento desiderati.
Introduzione
Questa nuova funzione offre un nuovo modulo di prescrizione semplificato con la capacità di creare e gestire preferenze specifiche per ogni medico, incluse le scelte di prescrizione, le preferenze cliniche e le istruzioni speciali destinate a essere applicate in maniera specifica alle diverse tipologie di casi ortodontici. Il punto chiave dell’IPP è quindi offrire un’automazione senza precedenti di preferenze e istruzioni personalizzate applicate alla pianificazione del trattamento fin dal primo piano di trattamento ClinCheck ricevuto. Ciò si traduce in un notevole miglioramento della qualità della pianificazione e in una riduzione dei tempi di elaborazione, così da ottenere una migliore esperienza per medico e paziente. Il processo inizia con la compilazione di un sondaggio online e con un’intervista con un Clinical Protocol Specialist di Invisalign. Si analizzano nel dettagliato le varie tipologie di malocclusione, trasferendo tutte le nostre preferenze cliniche e istruzioni specifiche all’interno di un modello programmato. Queste istruzioni includono protocolli di staging e l’uso di attachment per ogni malocclusione specifica. Per utilizzare IPP sarà necessario eseguire una prescrizione Flex, che si discosta dalla prescrizione tradizionale per il minor numero di passaggi. L’intelligenza artificiale, istruita da noi tramite il questionario che è stato tradotto in codici, produrrà un piano ClinCheck automatico che rispecchia il nostro approccio di lavoro. Dopo il primo ClinCheck automatico, è sempre possibile consultare il tecnico per eventuali modifiche o procedere in autonomia con i comandi 3D e ClinCheck Live Update. È inoltre possibile rivedere il questionario nel tempo per aggiornare o modificare le informazioni, adattandole alle nostre strategie in evoluzione per trattare diverse tipologie di malocclusione. Con l’esperienza, i ClinCheck continueranno a diventare sempre più precisi e prevedibili, soddisfacendo le nostre aspettative. Il caso che segue è stato trattato utilizzando questa metodologia.
Caso clinico
Diagnosi
La paziente (12a-6m) presenta un volto ovale, lieve laterodeviazione mandibolare a destra, buone proporzioni facciali, buona esposizione degli incisivi nel sorriso, un sorriso irregolare con ampi corridoi buccali, profilo armonico con leggera retrusione mandibolare (Figg. 1-4).
Fig. 1_Viso pre-trattamento.
Fig. 2_Viso sorriso pre-trattamento.
Fig. 3_Profilo pre-trattamento.
Fig. 4_Profilo sorriso pre-trattamento.
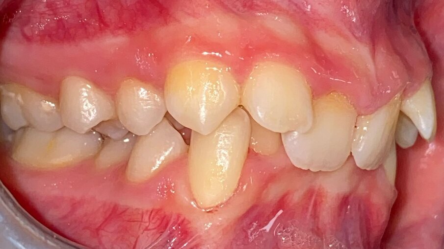
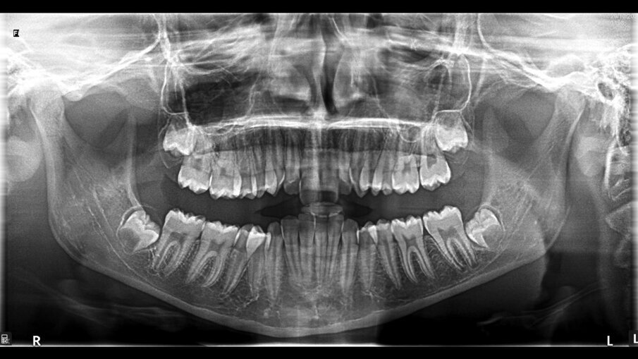
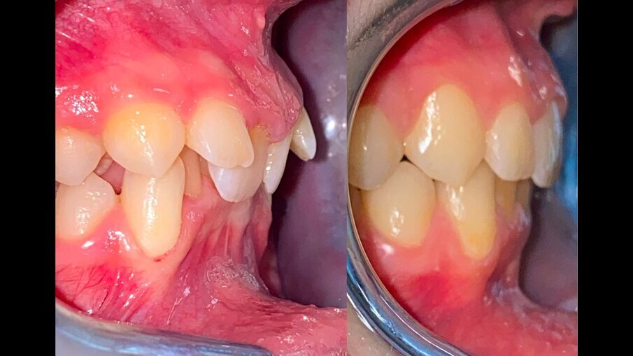
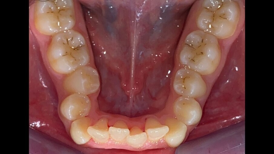
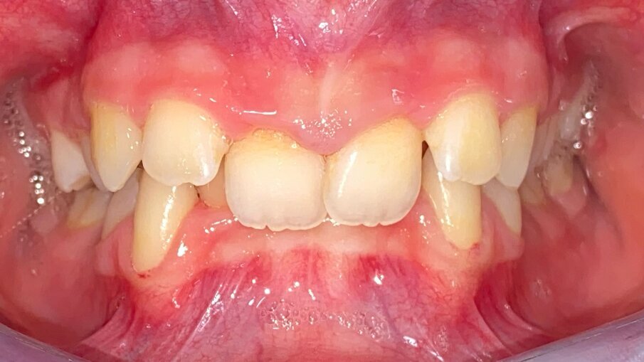
All’esame obiettivo intraorale si riscontra sul piano frontale un severo morso profondo con precontatto traumatico degli incisivi superiori contro la papilla retroincisiva e le rughe palatine anteriori durante la massima intercuspidazione, con overbite di 10 mm (Fig. 5). Dalle foto laterali si evidenzia una malocclusione di Classe II divisione 2 con scissor bite dell’elemento 1.5 (Figg. 6, 7), mentre dalle foto occlusali si rileva un grave affollamento con contrazione di entrambe le arcate maggiore nella zona premolare (Figg. 8, 9). L’analisi di Bolton mostra un eccesso superiore 3-3 di 2,34 mm (73,6%) e 6-6 di 2,76 mm (88,8%). L’analisi cefalometrica evidenzia una Classe II scheletrica, modello facciale normodivergente, angolo interincisale aumentato, incisivi superiori e inferiori retroinclinati (Fig. 10). La radiografia panoramica mostra la presenza dei germi dei terzi molari, assenza di parallelismo tra le radici dei premolari inferiori (Fig. 11) e una sovraeruzione degli incisivi inferiori che crea un doppio piano tra gli incisivi e i molari, segno di una curva di Spee molto profonda.
Fig. 5_Frontale pre-trattamento.
Fig. 6_Laterale destra pre-trattamento.
Fig. 7_Laterale sinistra pre-trattamento.
Fig. 8_Occlusale superiore pre-trattamento.
Fig. 9_Occlusale inferiore pre-trattamento.
Fig. 10_Teleradiografia pre-trattamento.
Fig. 11_Ortopantomografia pre-trattamento.
Obiettivi
Il trattamento ortodontico con allineatori aveva come obiettivi: allineare e livellare le arcate dentarie; correggere la relazione sagittale di Classe II, normalizzare l’overjet, migliorare l’occlusione e l’intercuspidazione tra le arcate; correggere sul piano verticale l’overbite, evitare il precontatto traumatico degli incisivi inferiori con correzione della curva di Spee; sul piano trasversale recuperare le forme di arcata corrette ed espandere le stesse; migliorare l’estetica del sorriso; migliorare il profilo.
Piano di trattamento
Il piano di trattamento ortodontico prevedeva una fase 1 con obiettivi: allineamento e proinclinazione degli incisivi superiori per creare overjet necessario sin da subito per permettere l’azione degli elastici di Classe II e facilitare la correzione della malocclusione sul piano sagittale; in arcata inferiore intrusione degli incisivi ed estrusione dei premolari al fine di livellare la curva di Spee. Questo approccio sfrutta un solido ancoraggio inferiore su premolari e molari, insieme a Bite Ramp; espansione delle arcate e correzione dello scissor bite attraverso un’espansione che sia il più corporea possibile, utilizzando la tecnologia del protocollo Invisalign G8 con la SmartForce aligner activation feature e Optimized Expansion support attachment.
ClinCheck virtual planning
Il ClinCheck per la fase 1 ha previsto l’uso di 27 allineatori in entrambe le arcate, con movimenti uniformi durante tutto il trattamento attivo. Questo è stato realizzato tramite l’IPP e ClinCheck In-Face Visualization e successivamente modificato attraverso comandi 3D e Live Update, integrando già tutte le nostre preferenze cliniche nei tre piani dello spazio. Le preferenze cliniche includono l’uso di Bite Ramp, attachment ottimizzati secondo il protocollo Invisalign G8 e, dove non è possibile, attachment orizzontali rettangolari per la correzione dell’overbite e il livellamento della curva di Spee tramite intrusione degli incisivi inferiori ed estrusione dei premolari. Per l’applicazione degli elastici di Classe II sono stati predisposti dall'IPP tagli di precisione su U3 e tagli per bottone su L6 secondo le mie preferenze, per poter eseguire un bite jump anteroposteriore. È stato prescritto l’IPR solo nell’arcata superiore per riequilibrare l’indice di Bolton anteriore (Figg. 12, 13). Una fase 2 di rifinitura era stata prevista per raggiungere tutti gli obiettivi prefissati e stabilizzare i risultati. Questa fase ha richiesto 15 allineatori per completare l’intercuspidazione tra le arcate e correggere eventuali minimi disallineamenti residui, oltre a perfezionare i movimenti nei tre piani dello spazio. Non sono stati aggiunti ulteriori attachment ma sono stati utilizzati Precision Bite Ramp per adattarsi all’overjet ottenuto. Inoltre, è stato eseguito un IPR anteriore (da interincisale a mesiale U/L3) tra il primo e il terzo quadrante per migliorare la coincidenza delle linee mediane alla fine del trattamento. Gli allineatori sono stati sostituiti ogni 10 giorni durante la fase 1, successivamente si è passati a un cambio ogni 7 giorni una volta constatata un’eccellente collaborazione da parte della paziente. Inoltre, alla paziente è stata prescritta l’applicazione di elastici intermascellari da 3/16 e 4,5 oz, da indossare per 22 ore al giorno con cambio ogni 12 ore.
Risultati
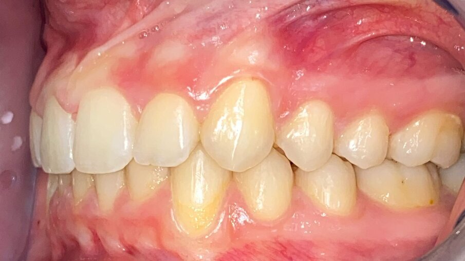
La durata totale del trattamento è stata di 12 mesi, il risultato è stato ottenuto grazie a una pianificazione computerizzata dettagliata e a scelte terapeutiche accurate, unite a una biomeccanica appropriata per la malocclusione nei tre piani dello spazio. Il sorriso della paziente ha ottenuto un miglioramento estetico evidente, con il riempimento dei corridoi buccali, una corretta esposizione degli incisivi e un miglioramento del profilo grazie alla proiezione del pogonion cutaneo e alla coincidenza delle linee mediane (Figg. 14-17). I dati clinici finali evidenziano un rapporto bilaterale di Classe I ottenuto grazie al preciso timing di inizio della terapia. Sono stati normalizzati gli eccessi di overjet (2,5 mm) e overbite (2,5 mm), risolvendo così il severo morso profondo (10 mm) e correggendo la curva di Spee. In entrambe le arcate è stato ottenuto un buon allineamento dentale, il ripristino della forma dell’arcata e la correzione dello scissor bite (Figg. 18-23). Le relazioni scheletriche sagittali sono migliorate con una normalizzazione del rapporto sagittale mandibolare A-N-B a 4° e un indice di Wits di 2 mm. Da un punto di vista delle relazioni verticali, l’inclinazione mascellare è rimasta pressoché invariata, così come l’inclinazione mandibolare. Per quanto riguarda i rapporti dento-basali, l’inclinazione degli incisivi è migliorata rientrando nei valori fisiologici. In termini di rapporti dentali, i valori mostrano la correzione dell’overjet e una variazione positiva dell’overbite (da 10 mm a 2,5 mm). Anche l’angolo interincisale è migliorato di 29°, spostandosi da 158° a 129° (Tab. 1, Fig. 24). La radiografia panoramica mostra il raggiungimento di un buon parallelismo radicolare (Fig. 25) e la correzione del doppio piano tra incisivi e molari. Al termine del trattamento alla paziente è stato applicato uno splintaggio fisso inferiore 3-3 e le sono stati forniti retainers di contenzione Vivera customizzati con Precision Bite Ramp al fine di promuovere la stabilità dei risultati ottenuti a lungo termine.
Fig. 12_ClinCheck Virtual Planning di fase 1.
Fig. 13_ClinCheck In-Face Visualization.
Fig. 14_Viso post-trattamento.
Fig. 15_Viso sorriso post-trattamento.
Fig. 16_Profilo post-trattamento.
Fig. 17_Profilo sorriso post-trattamento.
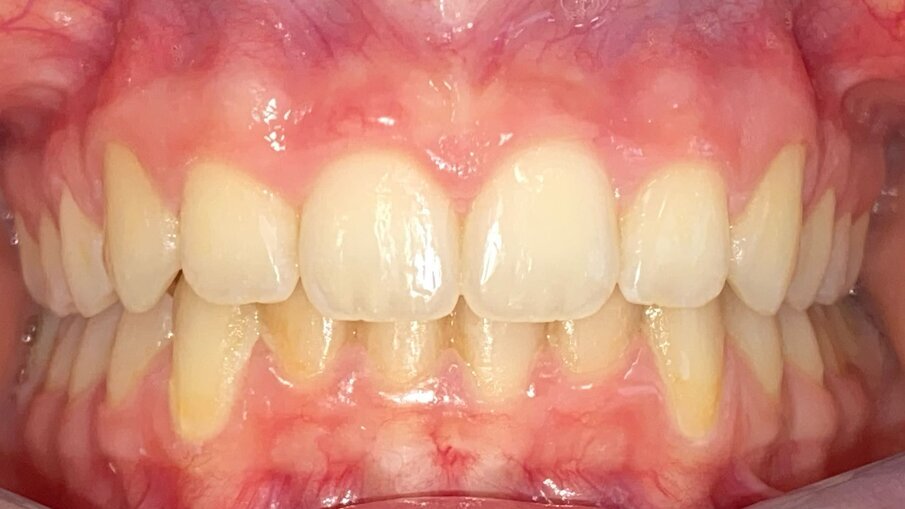
Fig. 18_Frontale post-trattamento.
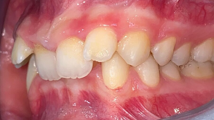
Fig. 19_Laterale destra post-trattamento.
Fig. 20_Laterale sinistra post-trattamento.
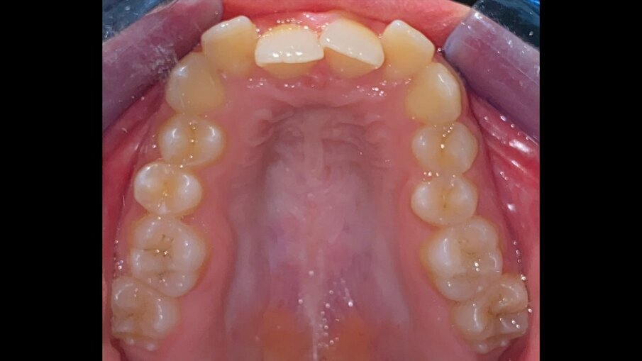
Fig. 21_Occlusale superiore post-trattamento.
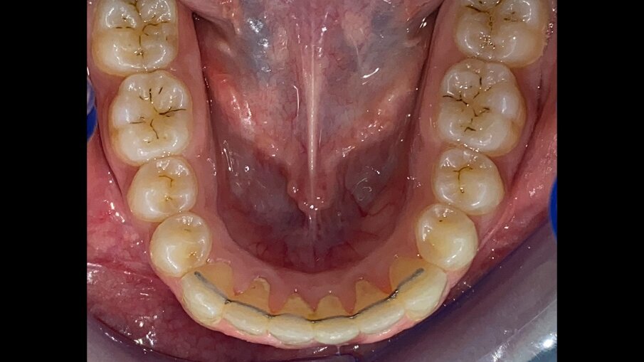
Fig. 22_Occlusale inferiore post-trattamento.
Fig. 23_Laterale pre e post-trattamento.
Tabella 1_Valutazione cefalometrica pre e post-trattamento.
Fig. 24_Ortopantomografia post-trattamento.
Fig. 25_Teleradiografia post-trattamento.
Discussione
Grazie all’utilizzo dell’IPP nel caso clinico trattato, abbiamo effettuato solo una revisione del trattamento durante la fase 1. Questo rappresenta un notevole risparmio di tempo e risorse rispetto alla prescrizione tradizionale, dove spesso è necessario revisionare il piano di trattamento più volte prima di ottenerne l’approvazione. Ciò è reso possibile dall’intelligenza artificiale, istruita nel corso del tempo e combinata con i protocolli che abbiamo definito e le abbiamo insegnato. Il primo ClinCheck già rispecchia tutte le preferenze e i protocolli specifici per quella particolare malocclusione e grazie ai comandi 3D, abbiamo apportato solamente minime modifiche al set up e agli attachment. Il ClinCheck Live Update ha poi trasformato le modifiche in un nuovo piano di trattamento in meno di un minuto permettendoci di approvare direttamente il caso senza dover passare attraverso un nuovo controllo con il tecnico. Infatti, i piani di trattamento ClinCheck iniziali sono disponibili per la revisione del clinico con una velocità del 56% più rapida se inviati insieme all'Invisalign Personalized Plan. In particolare, la maggior parte dei piani di trattamento ClinCheck iniziali inviati con l'Invisalign personalized plan sono disponibili per la revisione entro 6 ore o meno.
Conclusioni
L'Invisalign Personalized Plan offre una nuova prospettiva nella pianificazione del trattamento iniziale, presentandosi come un prezioso strumento time-saver per il medico e migliorando, di conseguenza, l’esperienza ortodontica del paziente. Riducendo il numero di ClinCheck revisionati dal clinico, il trattamento può infatti iniziare più rapidamente dall’appuntamento di prima visita senza pregiudicare la qualità dei risultati ottenuti.
L'articolo è stato pubblicato su aligners international magazine of aligner orthodontics italian edition n. 1/24.
Argomenti:
Tag:
Alessandro Bonsignore (Osservatorio): «Presto diventerà una app». 164 pagine per rispondere a tutti i dubbi e le domande che possono assalire un giovane ...
Nella mitica cornice della baia di Chia il 15 giugno è stato inaugurato il XV Simposyum AIO Sardinia, alla seconda edizione internazionale. Dopo una ...
A partire dal 28 giugno è disponibile sul portale ape.agenas.it, nella sezione dedicata ai professionisti sanitari, il servizio 'myEcm'.
Ha suscitato grande clamore mediatico l’approvazione, sul filo di lana di fine legislatura, della Legge 219/2017 in vigore dal 31 gennaio, sul cosiddetto ...
A giugno, Dental Tribune International ha riportato i risultati di uno studio approfondito che ha esplorato il punto di vista dei pazienti odontoiatrici sul...
L’ambulatorio mobile (vedi foto) attrezzato con tecnologie di ultima generazione, e illustrato alla stampa il 13 maggio nell’aula Giovanni ...
Disponibile nel primo trimestre del 2026, ClinCheck Live Plan rappresenta una tappa fondamentale nello sviluppo tecnologico della piattaforma digitale ...
WASHINGTON, USA – Dalle otturazioni in composito alle cannule di aspirazione monouso, la plastica è presente in ogni aspetto dell’odontoiatria moderna....
Durante il 46esimo SIRM – Società Italiana Radiologi Medici, conclusosi ieri a Firenze, oltre che proporre alcune innovazione tecnico ...
STRASBOURG, Francia: La Commissione europea mette a punto la sua posizione sulla riforma della legge circa i dispositivi medici. L'attuale Presidenza ...
Dr. Bruce McFarlane Certified Specialist in Orthodontics Fellow: Royal College of Dentists of Canada Diplomate: American Board of Orthodontics
Live webinar
mer. 15 aprile 2026
20:00 (CET) Rome
Live webinar
gio. 16 aprile 2026
2:00 (CET) Rome
Linda Hecker MS, BSDH, RDH
Live webinar
gio. 16 aprile 2026
18:00 (CET) Rome
Dr. Pär-Olov Östman, Dr. Robert Gottlander DDS
Live webinar
ven. 17 aprile 2026
18:00 (CET) Rome
Live webinar
ven. 17 aprile 2026
19:00 (CET) Rome
Dr. Stuart Yeaton BDentSc, MOrth
Live webinar
lun. 20 aprile 2026
19:00 (CET) Rome
Dr. Alberto Monje DDS, MS, PhD
To post a reply please login or register