Negli ultimi anni, l’evoluzione delle tecnologie in odontoiatria, ha permesso la realizzazione di riabilitazioni tramite flussi digitali. La tecnologia CAD/CAM e l’avvento dell’impronta digitale hanno modificato il flusso di lavoro protesico. Questa evoluzione ha reso disponibile l’introduzione dei materiali da restauro dedicati e nel tempo sempre più performanti. La zirconia risulta essere il materiale più utilizzato, essendo il suo utilizzo versatile sia per ricostruzioni a supporto dentale sia implantare. Come ogni materiale, subisce una costante evoluzione, migliorando sempre di più le sue caratteristiche fisiche, estetiche e di biocompatibilità.
_Shofu ha introdotto Zr Lucent Supra (Fig. 1)
SHOFU Disk ZR Lucent Supra combina due varianti di ossido di zirconio: zirconia cubica parzialmente stabilizzata (5Y-PSZ) e zirconia tetragonale (3Y-TPZ). Esso, infatti, oltre ad essere un disco multilayer, presenta tre strati con differenti Mpa di resistenza alla flessione. Nella zona più alta del disco si trova lo smalto con una resistenza alla flessione di 1034 Mpa e una traslucenza del 44%, nella zona media la dentina con una resistenza alla flessione di 1163 Mpa e una traslucenza del 40%, ed infine nella zona più bassa l’area cervicale con una resistenza alla flessione di 1454 Mpa e una traslucenza del 37%. Grazie all’elevata resistenza alla flessione SHOFU Disk ZR Supra risulta essere indicato per molteplici indicazioni, permette infatti la realizzazione di riabilitazioni estese fino ad un massimo di 14 elementi e due unità intermedie.
_Stratificazione vestibolare
Fino a qualche tempo fa, si avevano a disposizione le zirconie tetragonali (circa 1200/1400 Mpa) oppure le zirconie cubiche (circa 750 Mpa). Le zirconie tetragonali convenzionali sono molto opache e ciò non rende semplice la stratificazione con cut-back vestibolare perché il core in zirconia presenta un’elevata opacità dalla zona cervicale sino alla zona incisale rendendo così difficile la riproduzione di effetti e traslucenze naturali del margine incisale. Al contrario, la zirconia cubica è molto traslucente dalla zona cervicale sino alla zona incisale, rendendo difficile ottenere una zona dentinale più ossea/opaca come i denti naturali. SHOFU Disk ZR Lucent Supra presenta un’ottima suddivisione della quota opacità/traslucenza del disco caratteristiche ideali per una stratificazione vestibolare.
_Descrizione caso clinico
Il paziente, uomo di 50 anni, si presenta in studio clinico per sostituire le tre corone frontali in metallo ceramica (Fig. 2). L’esigenza del paziente era di ottenere un’estetica ottimale e un risultato il più naturale possibile.
_Materiali e metodi
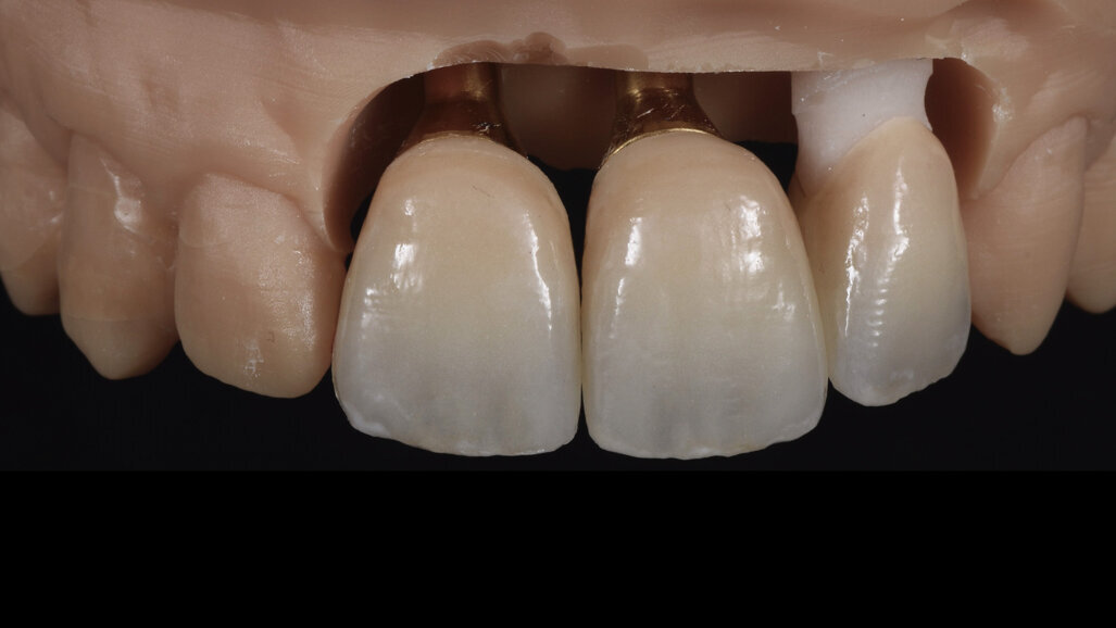
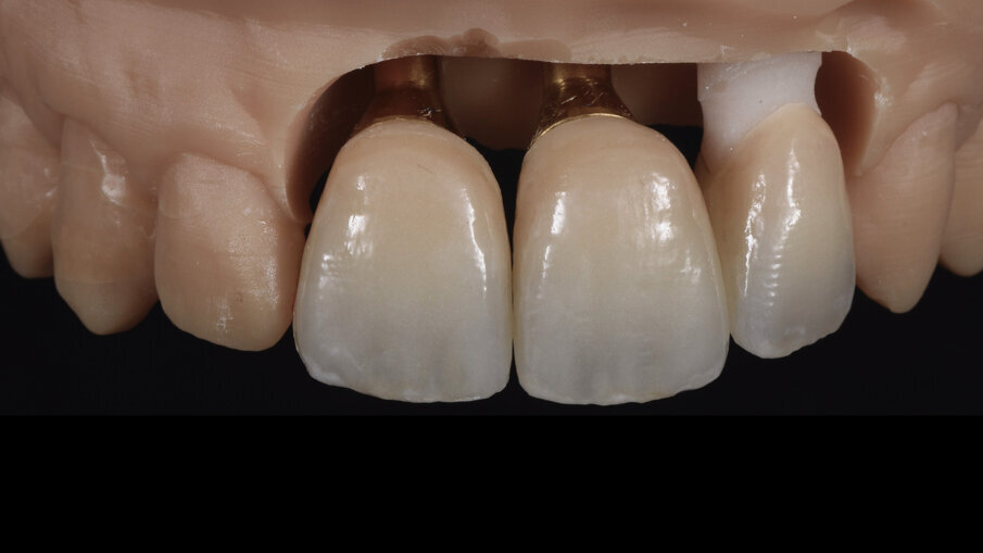
Si è optato per una riabilitazione in zirconia ceramica su impianti (11-21) e dente naturale (22). Era importante, fin da subito, ristabilire i volumi e gli spazi, così è stato effettuato un provvisorio che ha permesso di ottenere un giusto rapporto e dimensione delle forme (Fig. 3). Il provvisorio viene realizzato in PMMA e viene mantenuto per il tempo necessario al condizionamento gengivale. Dopo alcune settimane, il clinico esegue l’impronta definitiva con la scansione intraorale, rileva l’arcata superiore con gli scan abutment per gli elementi 11-21 e il moncone dell’elemento 22, l’arcata inferiore antagonista e la forma dei provvisori (Fig. 4). I modelli di lavoro per la finalizzazione dei manufatti sono stati realizzati attraverso la stampa 3D. Per gli elementi 11-21 si è optato per la realizzazione di due monconi customizzati (Fig. 5).
Fig. 1_SHOFU Disk ZR Lucent Supra.
Fig. 2_Situazione iniziale del paziente.
Fig. 3_Provvisorio in PMMA, incrementando il profilo emergente dell’elemento 11 è stato possibile allineare la parabola gengivale portandola alla stessa altezza del elemento 21.
Fig. 4_Impronta master arcata superiore.
Fig. 5_Modello realizzato da impronta intraorale master attraverso la stampa 3D, si può osservare i due t-base customizzati per elementi su impianto.
Si utilizzerà attraverso un software di progettazione CAD il provvisorio per creare la struttura definitiva in zirconia con riduzione vestibolare (Fig. 6). In questo modo, con facilità, si manterrà tutto il perimetro palatale delle forme create con il provvisorio e questo permetterà di replicare gli stessi volumi, con le dimensioni e rapporti creati precedentemente. Successivamente viene fresata zirconia SHOFU Supra, nel colore A3, tinta desiderata per il restauro finale e colore dei denti adiacenti. Si effettua una riduzione vestibolare di circa 0,8 mm mentre la zona palatale rimane anatomica (Fig. 7).
Dopo la sinterizzazione la struttura in zirconia viene rifinita e si prepara la superficie con una sabbiatura mediante polvere di biossido 50 μ a 1.5/2 atmosfere. Successivamente, si procede con il primo step il wash. La superfice della zirconia viene umettata con liquido di stain, si utilizzano colori per intensificare croma e valore e al di sopra viene spolverata una massa trasparente con un grosso pennello. Dopo la cottura otteniamo il colore desiderato e un’ottima diffusione della luce facilitando le fasi successive di stratificazione (Fig. 8). A questo punto si procede con la stratificazione vestibolare utilizzando dentine opache, dentine, masse per mammelloni, traslucenti e opalescenti. Lavorando con uno spessore così sottile, in questa fase di stratificazione, è necessario utilizzare la massima precisione e calibrare i vari strati di ceramica in sovrapposizione.
Si inizia la stratificazione utilizzando come primo strato una dentina opaca della tinta nominale estesa dalla zona cervicale sino al terzo medio del dente creando così una maggiore opacità e luminosità, nella parte più cervicale si procede con una massa più cromatica dal colore caldo e profondo, a seguire dentina nominale (A3) tinta base del lavoro. Dalla zona media alla zona incisale a terminare la struttura dentinale si utilizza una dentina più chiara (A1) per ottenere una maggiore luminosità. In seguito il margine incisale verrà completato con masse per mammelloni di colore crema-avorio e mammelloni colore arancio.
Nelle stratificazioni vestibolari, avendo il perimetro palatale dell’intero volume del dente, il posizionamento degli effetti incisali sarà molto più semplice e anche la contrazione dopo la cottura sarà ridotta rispetto a una stratificazione totale su cappetta. A seguire, ai lati mesiali e distali, tra i mammelloni e fra gli effetti incisali si utilizza una miscela al 50% tra una massa molto opalescente e una blu traslucente, nella zona media invece si utilizza una massa smalto molto luminosa per aumentare il valore (Fig. 9). Ultimata questa prima fase di build-up dalla zona media alla zona incisale si ricopre tutto con uno smalto opalescente di medio valore e in fine per creare l’aureola incisale si utilizza una miscela delle stesse masse utilizzati per i mammelloni (Fig. 10). È molto importante già in questa fase creare forma attraverso l’utilizzo del pennello e l’apporto di goccia su goccia di ceramica.
Fig. 6_Progetto della struttura definitiva con riduzione vestibolare.
Fig. 7_Struttura definitiva in zirconia SHOFU Supra con riduzione vestibolare.
Fig. 8_Risultato del Wash.
Fig. 9_Build-up dentine ed effetti.
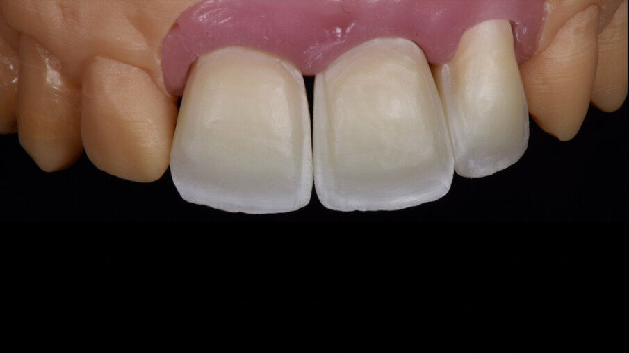
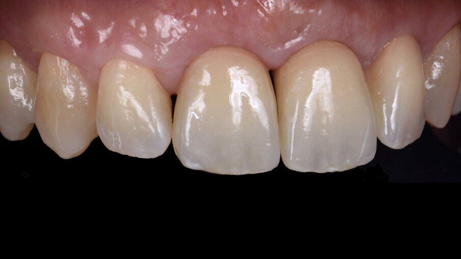
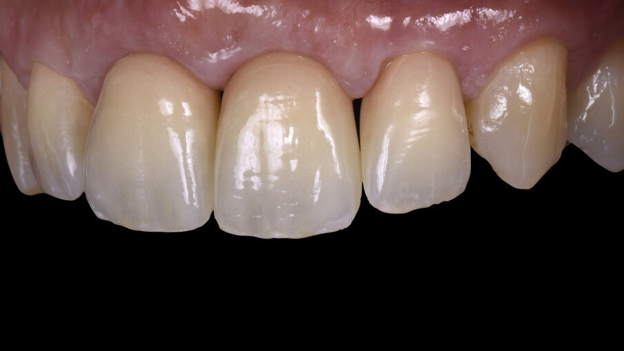
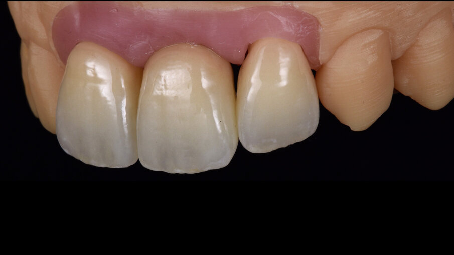
A questo punto, si effettua una cottura del restauro in forno. Dopo la cottura, si procede con le fasi di rifinitura e ricerca della forma. In seguito, si effettuerà la cottura di glaze per finalizzare il manufatto (Fig. 11). Dopo la cottura in forno la superficie viene finalizzata attraverso l’uso di gomme e paste diamantate per rendere la superficie compatta e in questa fase è possibile gestire il grado di lucentezza (Figg. 12-14). Al giorno della consegna i tessuti gengivali devono essere perfettamente maturi, stabili e condizionati. Il lavoro viene cementato dal clinico (Figg. 15, 16) e nelle Figure 17 e 18 si può notare un’ottima armonia delle nuove forme e il rapporto dei denti con le labbra del paziente. Nelle riabilitazioni parziali nel settore anteriore è fondamentale cogliere le caratteristiche, gli effetti e i particolari della superficie dei denti contigui in modo da poter realizzare corone che si integrino al meglio.
Fig. 11_Risultato finale dopo la cottura di lucidatura, la superfice risulta compatta ma non finalizzata. Si utilizzano gomme e spazzoline con pasta diamantata per migliorarne l’aspetto e raggiungere il grado di lucentezza desiderato.
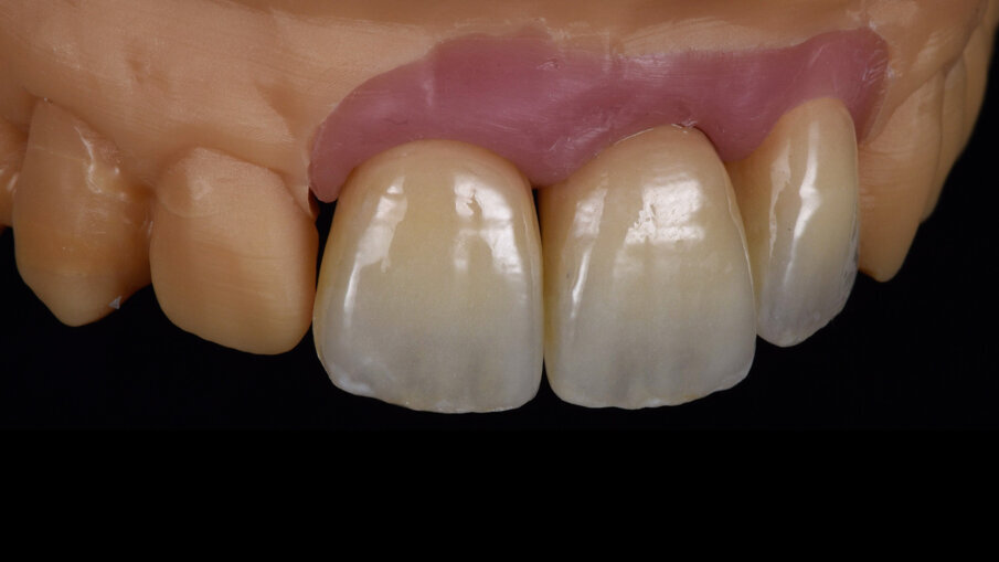
Figg. 12-14_Aspetto finale delle corone dopo le fasi di lucidatura meccanica.
Figg. 12-14_Aspetto finale delle corone dopo le fasi di lucidatura meccanica.
Figg. 12-14_Aspetto finale delle corone dopo le fasi di lucidatura meccanica.
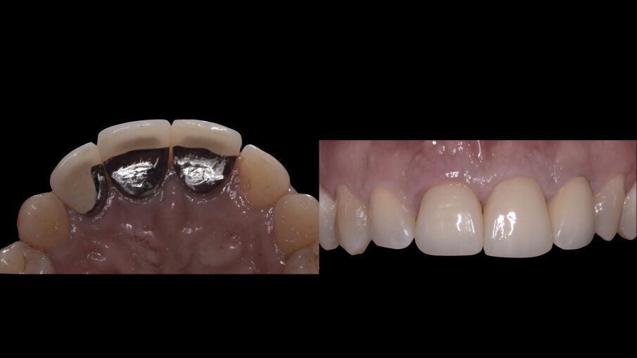
Figg. 15, 16_Risultato finale, si può notare l’ottima integrazione delle corone con i denti adiacenti.
Figg. 15, 16_Risultato finale, si può notare l’ottima integrazione delle corone con i denti adiacenti.
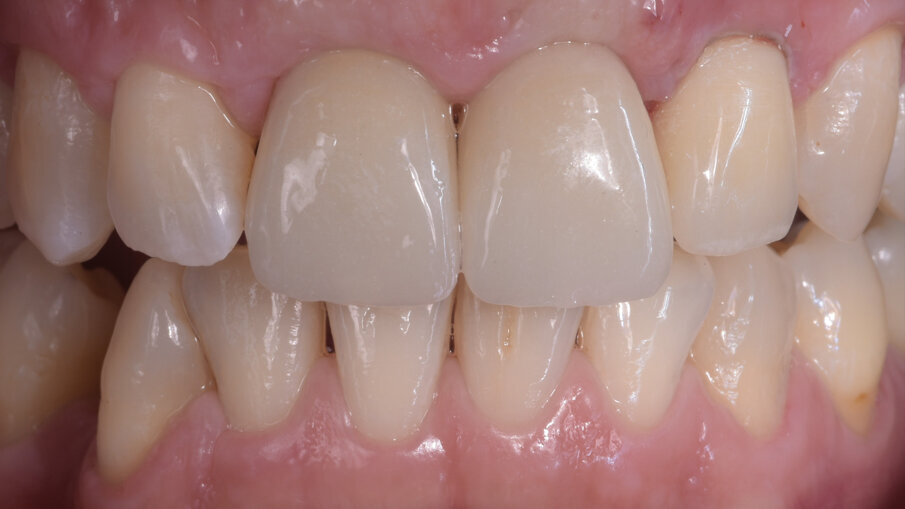
Figg. 17, 18_Armonia delle nuove forme e il rapporto dei denti con le labbra del paziente.
Figg. 17, 18_Armonia delle nuove forme e il rapporto dei denti con le labbra del paziente.
_Conclusioni
Solo unendo le nostre abilità e conoscenze analogiche con le tecnologie digitali possiamo raggiungere i massimi risultati. Estetica e Digitale un mix perfetto.
_Ringraziamenti
Ringrazio il Dott. Marco Toia per avermi fornito il materiale clinico e per permettermi ogni giorno di esprimere al meglio la passione che ho per il nostro lavoro.
_Bibliografia
- Zilio A. Zirconia The power of the light, Teamwork media, 2013.
- Sommella A. Il margine incisale il punto di forza nella espressione di un incisivo, Teamwork media 2004.
- Brix O. Il fascino della ceramica integrale, Teamwork media, 2013.
- Parpaiola A., Norton M. R., Cecchinato D., Bressan E., Toia M. (2013). Virtual Abutment Design: A Concept for Delivery of CAD-CAM Customized Abutments-Report of a Retrospective Cohort. International Journal of Periodontics & Restorative Dentistry, 33(1).
Tag:
Oggi siamo al limite di una rivoluzione digitale in odontoiatria. La digitalizzazione offrirà nuovi mezzi per il trattamento dei nostri pazienti. ...
Oggi siamo al limite di una rivoluzione digitale in odontoiatria. La digitalizzazione offrirà nuovi mezzi per il trattamento dei nostri pazienti. ...
Il tema della medicina estetica all’interno degli studi dentistici continua ad essere tra i più dibattuti in ambito odontoiatrico. In KEY-STONE, abbiamo ...
L’evoluzione dell’odontoiatria contemporanea richiede una visione sempre più integrata tra funzione, estetica e benessere dei tessuti del volto. In ...
Negli studi odontoiatrici la richiesta di procedure di medicina estetica non invasiva e mininvasiva al volto è in aumento: in Italia la legge di ...
Anche nel 2025 la Sergio Noviello Academy – fondata dal Prof. Sergio Noviello, Medico e Chirurgo Estetico di Milano – sarà presente a Expodental, ...
Il sorriso è una delle azioni motorie di risposta più antiche all’ambiente interno ed esterno dell’individuo. L’abbiamo ereditato dai primati che ...
Neoss celebra 25 anni di attività all’insegna della Intelligent Simplicity, il principio che ha guidato l’Azienda in ogni innovazione: creare soluzioni...
Abbiamo il piacere di intervistare il dott. Valerio Bini, Odontoiatra ad indirizzo Estetico e di Cosmesi Dentale, Socio Attivo IAED (Italian Academy of ...
Le donne sorridono, in media, 62 volte al giorno, contro le sole 8 degli uomini. Ma non è solo questione di gioia: il sorriso femminile è da sempre carico...
Gli ultimi anni hanno visto l’introduzione in campo dentale di tecnologie sempre più evolute che hanno semplificato il compito del protesista ...
Live webinar
mer. 22 aprile 2026
17:00 (CET) Rome
MDT Andreas Chatzimpatzakis
Live webinar
mer. 22 aprile 2026
17:00 (CET) Rome
Live webinar
mer. 22 aprile 2026
18:00 (CET) Rome
Live webinar
gio. 23 aprile 2026
17:00 (CET) Rome
Live webinar
gio. 23 aprile 2026
18:30 (CET) Rome
Live webinar
gio. 23 aprile 2026
19:00 (CET) Rome
Live webinar
gio. 30 aprile 2026
1:00 (CET) Rome
Dr. Renato Leonardo D.M.D.
To post a reply please login or register