Il soccorso di un paziente che ha subito un trauma dentale è un'evenienza frequente, la cui gestione richiede la conoscenza di precisi protocolli. Dalla letteratura scientifica si desume che l’adozione di corrette procedure in presenza di un trauma dentale è generalmente inadeguata: alcuni studi indicano che solo il 4% dei medici è in grado fornire un trattamento iniziale appropriato (Holan et al., 2003 – Emerich et al., 2010).
D’altra parte è noto che la prognosi delle lesioni traumatiche dentarie dipende dal tempo che intercorre tra l’evento traumatico e l'inizio di un trattamento appropriato mentre, spesso, la prima figura chiamata ad intervenire è un operatore sanitario sprovvisto di formazione specifica.
Il corso metterà il partecipante in condizione di affrontare il primo intervento nei traumi dentali, secondo le linee guida emanate dal Ministero della Salute, senza dimenticare che le lesioni dentali possono essere conseguenza di incidenti e di azioni violente di ogni tipo, a prescindere dall’età del soggetto.
Verranno inoltre approfondite le nozioni di prevenzione primaria sia in ambiente scolastico che sportivo nonché nozioni di prevenzione secondaria integrate da utili schede valutative riguardanti i traumi stessi.
Al termine del corso verranno consegnati a ciascun partecipante due poster (f.to 70x100 in italiano e in inglese), sulle norme comportamentali da tenere in caso di "EMERGENZA TRAUMI DENTALI".
Il corso è rivolto a Odontoiatri, Pediatri, Medici di Medicina Generale e Medici dell’Emergenza.
Organizzato dalla Commissione Albo Odontoiatri OMCeO Torino, patrocinato dalla FNOMCeO, in collaborazione con Società scientifiche e sigle sindacali.
Scarica QUI la locandina
A Villa Raby, sede dell’Ordine dei Medici di Torino si è svolto sabato 30 maggio a cura della CAO di Torino il “Traumatology Dental ...
Pediatri, medici di medicina generale e dell’emergenza, odontoiatri forensi e ortodontisti a confronto a Torino in una conferenza patrocinata dalla ...
BIRMINGHAM, UK: Dalla loro introduzione alcuni anni fa, i monopattini elettrici hanno continuato a guadagnare popolarità nella mobilità urbana in tutto il...
VICTORIA, British Columbia, Canada: Il trauma è una risposta emotiva causata da alcuni eventi passati che hanno causato grande inquietudine in un ...
Riassumiamo alcune informazioni comunicate dall’Associazione Nazionale Titolari di Laboratorio Odontotecnico (ANTLO), in merito ai punti fondamentali ...
Un’arancia al giorno potrebbe togliere il medico di torno, soprattutto in caso di diabete. E’ questa, in sintesi, una delle conclusioni a cui ...
Ritrovare un bel sorriso! Una terapia che fa recuperare la gioia di vivere a chi l’ha persa per cause diverse: dai traumi, alla carie, alla malattia ...
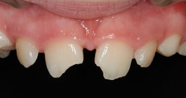
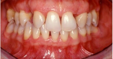
I traumi dentali, che rappresentano un grande “capitolo clinico”, sono di frequente riscontro nella pratica quotidiana di uno studio ...
L’approccio interdisciplinare prevede in odontoiatria l’interazione tra le diverse discipline coinvolte nel piano di trattamento, che si ...
L’approccio interdisciplinare prevede in odontoiatria l’interazione tra le diverse discipline coinvolte nel piano di trattamento, che si ...
Live webinar
mar. 17 febbraio 2026
18:00 (CET) Rome
Live webinar
mer. 18 febbraio 2026
15:00 (CET) Rome
Dr. Anna Lella, Ms. Francesca Nava
Live webinar
mer. 18 febbraio 2026
18:00 (CET) Rome
Prof. Dr. João Caramês CODE expert, Dr. Robert Gottlander DDS
Live webinar
lun. 23 febbraio 2026
9:00 (CET) Rome
Ass. Prof. Elizabeth Shick, Dr. Zehra Yonel
Live webinar
mar. 24 febbraio 2026
19:00 (CET) Rome
Prof. Dr. Markus B. Hürzeler
Live webinar
mar. 24 febbraio 2026
21:00 (CET) Rome
Prof. Dr. Marcel A. Wainwright DDS, PhD
Live webinar
mer. 25 febbraio 2026
17:00 (CET) Rome
Prof. Dr. Daniel Edelhoff
To post a reply please login or register