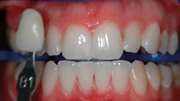
Il sorriso è diventato, nelle civiltà occidentali, sinonimo di benessere e status sociale. L’interesse per ritocchi di inestetismi in odontoiatria viene confermato dall’aumento di richieste di tali trattamenti, che hanno avuto incrementi significativi nell’ultimo decennio, quali per esempio, faccette estetiche dei denti anteriori ma soprattutto sbiancamenti dentali.
Il “dental bleaching” definizione che deriva dal verbo “candeggiare”, è l’insieme di prodotti, processi o procedimenti le cui azioni consentono di rimuovere le discromie endogene.
Si tratta di un processo di schiarimento di smalto e dentina, che consiste nelle rimozione dei pigmenti presenti sulle superfici dentarie e all’interno degli stessi. L’incessante aumento della domanda di trattamenti cosmetici del sorriso ha portato il Consiglio dell’Unione Europea a modificare la direttiva 76/768/CEE relativa ai prodotti cosmetici. Con la direttiva 2011/84/EU per i prodotti contenenti perossido di idrogeno in concentrazione dallo 0,1% al 6% sarà necessaria una visita odontoiatrica, per assicurare l’assenza di fattori di rischio o patologie orali, e un primo trattamento eseguito da un operatore odontoiatrico, qualificato allo scopo di incrementare la sicurezza del paziente.
Leggi l'articolo completo nella sezione CLINICAL > COSMETIC DENTISTRY
La parte più esposta del nostro corpo è il viso, parla e comunica per noi ancora prima che si inizi un dialogo: il sorriso è forse il ...
La parte più esposta del nostro corpo è il viso, parla e comunica per noi ancora prima che si inizi un dialogo: il sorriso è forse il ...
Un nuovo studio di Key-Stone per Straumann Group svela l’impatto dei denti mancanti, tra malessere, ritiro sociale e calo dell’autostima.
È stato siglato nella tarda mattinata Giovedì 25 luglio, nella splendida cornice della Sala David Sassoli di Palazzo Valentini a Roma, da cinque ...
Nella seduta del Consiglio dei Ministri n. 50 del 16/10/2012 sono state approvate nuove misure sulla semplificazione a favore dei cittadini e delle imprese ...
Di solito i numeri sono più precisi delle parole. Ma per darvi l’idea di cosa vuol dire avere alle spalle 70 di storia, vogliamo andare oltre il numero ...
Si conclude nel pomeriggio il 10° Annual Publishers’ Meeting, la Convention degli Editori aderenti alla rete mondiale di Dental Tribune ...
NEW YORK, USA/SHANGHAI, Cina: Numerose prove dimostrano che l’isolamento sociale e la solitudine possono influire sulla salute e sul benessere generale. ...
Una recente revisione sistematica pubblicata su BMC Oral Health ha esaminato l’efficacia clinica dell’ozonoterapia nelle principali aree ...
Dedicato all’endodonzia e all’odontoiatria conservativa, il Congresso nazionale “The Ultimate Endo-Restorative Dentistry” ...
Live webinar
mer. 15 aprile 2026
20:00 (CET) Rome
Live webinar
gio. 16 aprile 2026
2:00 (CET) Rome
Linda Hecker MS, BSDH, RDH
Live webinar
gio. 16 aprile 2026
18:00 (CET) Rome
Dr. Pär-Olov Östman, Dr. Robert Gottlander DDS
Live webinar
ven. 17 aprile 2026
18:00 (CET) Rome
Live webinar
ven. 17 aprile 2026
19:00 (CET) Rome
Dr. Stuart Yeaton BDentSc, MOrth
Live webinar
lun. 20 aprile 2026
19:00 (CET) Rome
Dr. Alberto Monje DDS, MS, PhD
Live webinar
mer. 22 aprile 2026
17:00 (CET) Rome
MDT Andreas Chatzimpatzakis
To post a reply please login or register