Negli ultimi anni il mondo della medicina e, quindi, anche dell’ortodonzia è radicalmente cambiato. Tutto si è modificato nella forma e nella sostanza. Sono avvenute profonde trasformazioni nelle procedure, nei processi e nei rapporti con il paziente, che sotto alcuni aspetti oggi si è trasformato in “cliente”, diventando in un certo qual modo un target di mercato.
È cambiato il modo di comunicare con il paziente, di proporre le varie tipologie di servizi che l’ortodonzia è in grado di offrire, anche grazie a un accesso facilitato alle tecnologie disponibili. Più che in passato le prestazioni professionali non possono essere erogate senza che vi sia una sempre più stretta collaborazione tra medico e paziente, per quanto riguarda sia la condivisione degli obiettivi di terapia sia le modalità per il raggiungimento degli stessi e non solo per la gestione dei casi più complessi.
La corresponsabilizzazione del paziente/cliente parte innanzitutto dalla comprensione da parte dell’ortodontista delle sue esigenze, aspettative e necessità, che potranno così tradursi, dopo un adeguato inquadramento e analisi del problema, in un piano di cura quanto più aderente, se possibile, ai bisogni espressi inizialmente e a quelli successivamente evidenziati. Fino a pochi anni fa valeva quella che potremmo chiamare la “regola del monologo”.
Tanto per intenderci, quella dove il medico con un messaggio unidirezionale diceva al paziente a quale trattamento si sarebbe dovuto sottoporre dato il suo problema, senza minimamente preoccuparsi della sua risposta. Era appunto un monologo, in cui il medico parlava e il paziente ascoltava. Il paziente era comunque e sempre disponibile ad ascoltare secondo lo schema di una comunicazione unidirezionale. Ma ai pazienti non è più sufficiente un approccio di questo tipo.
Se aggiungiamo quelli che erano, e ancora oggi restano in qualche caso, gli strumenti tradizionali di diagnosi e comunicazione in ortodonzia, ovvero le radiografie tradizionali su fogli di acetato, i tracciati cefalometrici fatti a mano libera, i modelli in gesso, il set-up in laboratorio e lo sviluppo e stampa di fotografie, potremmo definire questa ortodonzia, prendendo in prestito la terminologia informatica, come “ortodonzia 1.0”. Grazie all’innovazione tecnologica è nata successivamente la possibilità di sfruttare nuove modalità di dare informazioni al paziente, che non è più disposto a fare l’applauso al monologo, accettando incondizionatamente il piano di cura ma richiede un dialogo. Chi ha capito l’importanza di questa evoluzione, adattandosi alle necessità diverse dei pazienti, ha iniziato ad applicare la “regola del dialogo”.
Questo è stato reso possibile e più semplice dall’utilizzo di strumenti derivanti dall’ICT (information and communication technology) ovvero: un complesso di scienze, metodologie, criteri, tecniche e strumenti, atti a potenziare le attività relative alla raccolta, trasmissione ed elaborazione dei dati, alla creazione di informazioni e di conoscenza, all’assunzione di decisioni ecc.
L’utilizzo della tecnologia computerizzata per diagnosi, pianificazione del trattamento e una comunicazione più efficace al paziente del piano di cura, oggi è la realtà. Non si tratta più, quindi, di una comunicazione monodirezionale, ma a due vie, mettendo il paziente nelle condizioni di capire più facilmente cosa gli stiamo proponendo (con immagini e video proiettati su schermi, computer portatili o tablet di ultima generazione) e di darci dei feedback, a cui potrà seguire un nuovo messaggio e una nuova risposta, per una comprensione più consapevole da parte sua.
Il completamento di questa mutazione tecnologica dell’ortodonzia è passato attraverso la progettazione virtuale e la produzione computer guidata di apparecchiature, fisse e rimovibili, e/o sistemi di applicazione. Il mondo del virtuale che si trasforma in reale, quello della tecnologia al servizio del dialogo e di una maggior sintonia con il paziente, possiamo definirla “ortodonzia 2.0”.
In informatica si indica come web 2.0 l’insieme di tutte quelle applicazioni online che permettono un elevato livello di interazione tra il sito web e l’utente, come i blog, i forum, le chat, le piattaforme di condivisione di media e i social network, in contrapposizione al cosiddetto web statico o web 1.0. Il web 2.0 costituisce anzitutto un approccio filosofico alla rete, che ne connota la dimensione sociale, della condivisione, rispetto alla mera fruizione.
L’evoluzione è oggi
Philip Kotler, guru mondiale della comunicazione, molto attento a tutti i mutamenti del sistema macroeconomico e delle interazioni con la società, considera sorpassato il 2.0 e ha iniziato a parlare di un ulteriore cambiamento: «Il comportamento e i valori delle imprese sono sempre più sotto la lente dell’opinione pubblica, questo fa sì che i consumatori possano scambiarsi con grande facilità opinioni su aziende, prodotti, marche e discutere tra loro delle performance funzionali e sociali.
La nuova generazione di consumatori è molto più attenta ai problemi e alle preoccupazioni di natura sociale. È dunque ora di cambiare! Le imprese devono reinventarsi e abbandonare il più rapidamente possibile le prassi dei vecchi e confortevoli sistemi di comunicazione e promozione, per avventurarsi nel mondo del 3.0».
Il web 3.0, o semantico, è quello che risponde a domande complesse con maggior attenzione alle esigenze personali.
Leggendo le linee guida approvate recentemente dalla FnomCeo relativamente all’ICT, emerge come il medico, nell’uso di questi strumenti informatici e tecnologici debba attenersi a determinate precauzioni e prescrizioni, nonché avvalersi delle innovazioni disponibili nell’interesse del paziente e per il progresso della medicina.
Estratto linee guida FnomCeo sulle ICT
- Ogni utilizzo per qualsiasi fine degli strumenti dell’ICT dovrà tener conto della proporzionalità, necessità e sicurezza degli interventi, nonché dell’eticità delle prestazioni e della deontologia dei comportamenti, al fine di conseguire la massima appropriatezza clinica e gestionale.
- Il medico dovrà favorire l’uso delle tecnologie ICT al fine della gestione della complessità propria della medicina moderna, della attuazione dei criteri della medicina sistemica e della “precision medicine” e per il miglioramento degli strumenti di prevenzione individuale e collettiva.
- L’uso delle tecnologie ICT è volto al miglioramento dei processi di comunicazione interprofessionale, alla più idonea gestione dei percorsi diagnostici, terapeutico assistenziali e al miglioramento della comunicazione con e per i cittadini.
Il medico dovrà avvalersi delle tecnologie ICT per il miglioramento dei processi di apprendimento anche utilizzando sistemi di simulazione per la diminuzione degli errori medici e per la sicurezza del paziente.
Tutto ciò si sposa con quelli che possono essere considerati gli obiettivi o la mission di una nuova odontoiatria, l’odontoiatria digitale e quindi dell’ortodonzia digitale:
- maggior precisione diagnostica;
- standardizzazione delle procedure terapeutiche;
- eliminazione dei gap tra le diverse capacità degli operatori;
- utilizzo di soli materiali biocompatibili, estetici, di sintesi, biologicamente sicuri e privi di possibili conseguenze negative per la salute dell’uomo;
- compatibilità dei materiali con esami strumentali che il paziente potrà eseguire in futuro o a cui periodicamente si sta sottoponendo.
Prima di pensare a tutto ciò, già in occasione del primo incontro con il paziente, è importante innanzitutto ascoltarlo, sentire i suoi problemi, magari la sua storia clinica pregressa, percepire le sue emozioni a riguardo, quando ci chiede di aiutarlo, di dargli delle risposte. Fondamentale è annotare, anche in maniera sintetica, tutte queste informazioni, che saranno utilissime per formulare una corretta diagnosi e un piano terapeutico “cuciti su misura”.
La visita e l’inquadramento diagnostico del paziente dovrebbero, quindi, procedere con una preliminare valutazione clinica, senza buttarsi a capofitto nel cavo orale ma con un approccio più globale, mettendo al centro delle nostre attenzioni il paziente e non i suoi denti o l’apparecchio che potremmo applicargli.
«Una recente ricerca rivela che i pazienti italiani non sono soddisfatti del rapporto con il proprio medico.
Il medico ha fretta, si dirige subito verso la ricerca della malattia per fornire la cura, dimenticando che si trova di fronte a una persona».
La necessità odierna di individualizzare sempre più la soluzione terapeutica da proporre ai pazienti, che tenga conto non solo di esigenze cliniche oggettive ma anche e soprattutto soggettive, correlate a sicurezza, assoluta biocompatibilità, estetica e, non ultimo, ai costi, non può non considerare le recenti innovazioni tecnologiche digitali.
L’utilizzo di metodiche digitali in odontoiatria e quindi anche in ortodonzia, dall’acquisizione dei dati mediante TC Cone Beam o scanner intraorali, alla progettazione tridimensionale e produzione di protesi e dispositivi ortodontici CAD/CAM può consentire, oltre che una maggior precisione diagnostica, una miglior standardizzazione e precisione delle procedure cliniche, nonché una riduzione dei tempi di lavorazione e applicazione, a vantaggio anche di una diminuzione dei costi finali. L’ortodonzia digitale si deve porre l’obiettivo di eliminare le problematiche o i limiti di un approccio tradizionale, ancora troppo operatore dipendente, a partire dalla diagnosi, passando per la progettazione e la produzione individualizzata (custom made) per il paziente, fino ad arrivare all’applicazione clinica del prodotto finito, dopo un adeguato controllo di qualità, sfruttando il massimo della tecnologia oggi disponibile nel settore odontoiatrico.
Compatibilità con esami strumentali
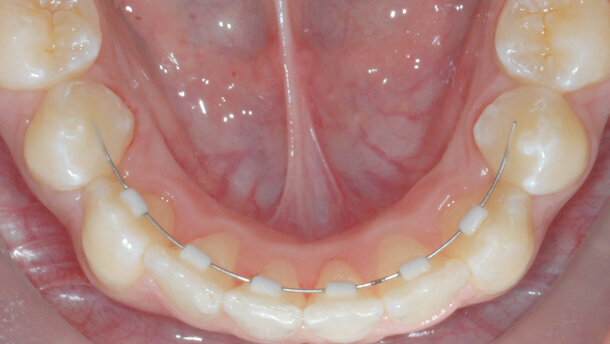
Si può iniziare da qui, andando indietro di qualche anno e leggendo il lavoro di John F. Shenck, The role of magnetic susceptibility in magnetic resonance imaging: MRI magnetic compatibility of the first and second kinds, pubblicato nel 1996 sulla rivista della American Association of Physicists in Medicine, che analizza la suscettibilità magnetica di alcuni materiali utilizzati in medicina e chirurgia, valutandone la compatibilità con la RMN (Fig. 1). Nella tabella originale viene evidenziato come la Zirconia (ZrO2) stia nella regione di compatibilità con la RMN. Questo significa che tale materiale, che è un metallo bianco, non crea fenomeni di magnetismo che possono interferire con il buon esito e accuratezza diagnostica di questo esame. Da un lavoro successivo, del 2006, pubblicato da T.M. J. Harris sul Journal of Orthodontics, dal titolo The benefits of aesthetic orthodontic brackets in patients requiring multiple MRI scanning, vengono evidenziati i benefici di utilizzare apparecchiature ortodontiche fisse estetiche in pazienti che, a causa di patologie interessanti il distretto testa e collo, devono sottoporsi routinariamente a RMN (compresa la rimozione temporanea degli archi in acciaio prima dell’esame), al fine di non incorrere in distorsioni, distacchi o movimenti dell’apparecchiatura stessa causati dai metalli tradizionali utilizzati, che possono risultare pericolosi, potendosi creare anche correnti elettriche e surriscaldamento dei tessuti, oltre ad artefatti di immagine, che possono inficiare l’esito dell’esame (Figg. 2a, 2b). In questo studio si raccomanda, inoltre, di controllare che i retainer fissi siano ben cementati prima della RMN, mentre viene evidenziato come gli archi in nichel titanio non siano da considerare ferromagnetici.
embedImagecenter("Imagecenter_2_1127",1127,"small");
Partendo da queste considerazioni e analizzando la frequente richiesta da parte dei radiologi di rimuovere apparecchiature ortodontiche o contenzioni fisse in pazienti che per motivi accertati di salute (patologie come la sclerosi multipla) o in urgenza (per esempio in caso di traumi o incidenti) si devono sottoporre a RMN, è nata, dagli studi e dalle analisi del gruppo di lavoro diretto dal prof. Aldo Macchi, nell’ambito dell’attività di ricerca del Dipartimento di Scienze Chirurgiche e Morfologiche dell’Università dell’Insubria a Varese, una nuova famiglia di apparecchiature ortodontiche fisse costruite in Zirconia. La Zirconia è un metallo bianco e resistente con cui si possono costruire mediante fresatura con tecnologia CAD/CAM, non solo protesi ma, oggi, anche bracket per apparecchi ortodontici e sistemi di contenzione fissa (anche di colore customizzato), che non interferiscono con la risonanza magnetica nucleare e la cui estetica è un benefit aggiuntivo non primario.
Nell’evoluzione oltre il 2.0 (ovvero l’utilizzo della tecnologia per diagnosi, pianificazione di trattamento, progettazione e produzione di apparecchiature) entrano ora in gioco le necessità di trasmettere nuovi valori, come l’etica, la biocompatibilità e la sostenibilità di un trattamento, con le implicazioni relative che ne conseguono e che vanno ad aggiungersi alle specifiche caratteristiche tecniche dei prodotti e alla qualità delle prestazioni. In sostanza una continua e costante evoluzione con sempre più attenzione alla persona nella sua globalità, perché non esiste quasi più una e una sola giusta terapia, ma una terapia ortodontica che «deve trovare un accordo con la vita del paziente nella sua complessità e per le sue priorità: Ortodonzia 3.0».
L'articolo è stato pubblicato sul numero 1 di Ortho Tribune Italy 2014.
Negli ultimi anni il mondo della medicina e, quindi, anche dell’ortodonzia è radicalmente cambiato. Tutto si è modificato nella forma e ...
Dal momento del suo lancio, oltre 30 anni fa, il Metodo Originale AIR-FLOW di EMS si è evoluto: inizialmente il suo scopo era solo quello di ...
Lo scopo principale di una lampada è la fotopolimerizzazione dei materiali da restauro. Ma alcune lampade possono fare molto di più. Un esempio eccellente...
Principalmente, una lampada fotopolimerizzatrice è un dispositivo per polimerizzare i materiali da restauro. In realtà, la nuova SmartLite Pro di Dentsply...
Madison, Wis., Usa - Un sondaggio effettuato tra adulti statunitensi ha rilevato che un sorriso attraente ha l’impatto più grande su una prima ...
Si è spento improvvisamente il professore che dirigeva la clinica odontoiatrica dell’Università dell’Insubria nonché dell'Ospedale di Varese. Era ...
WUHAN, Cina: Decano della Scuola e dell’Ospedale di Stomatologia dell’Università di Wuhan, il Prof. Zhuan Bian ha avuto un’esperienza diretta circa ...
PITTSBURGH, USA: In un recente studio sugli oppioidi riportato da Dental Tribune International (DTI), i ricercatori hanno scoperto che l’eccessiva ...
VENEZIA, Italia: L’ European Orthodontic Society (EOS), una delle più antiche associazioni europee, riunirà professionisti del mondo ...
Risale a circa tre mesi fa il ritrovamento di un dentino deciduo (il primo incisivo superiore sinistro) di circa 7 mm. appartenuto ad un bambino di ...
Live webinar
mer. 15 aprile 2026
20:00 (CET) Rome
Live webinar
gio. 16 aprile 2026
2:00 (CET) Rome
Linda Hecker MS, BSDH, RDH
Live webinar
gio. 16 aprile 2026
18:00 (CET) Rome
Dr. Pär-Olov Östman, Dr. Robert Gottlander DDS
Live webinar
ven. 17 aprile 2026
18:00 (CET) Rome
Live webinar
ven. 17 aprile 2026
19:00 (CET) Rome
Dr. Stuart Yeaton BDentSc, MOrth
Live webinar
lun. 20 aprile 2026
19:00 (CET) Rome
Dr. Alberto Monje DDS, MS, PhD
Live webinar
mer. 22 aprile 2026
17:00 (CET) Rome
MDT Andreas Chatzimpatzakis
To post a reply please login or register