La comunicazione medico-paziente è fondamentale in odontoiatria, soprattutto nei casi che prevedono l’esecuzione di restauri estetici parziali o totali nel settore anteriore (Smile Makeover). Nell’era moderna è fondamentale rivolgersi all’Odontoiatra, non solo per curare una patologia del cavo orale ma, anche per richiedere una valutazione estetica del proprio sorriso e intervenire ottenendo un risultato che sia in linea con le proprie aspettative estetiche.
Il sorriso è il nostro biglietto da visita e rappresenta la prima cosa che ci distingue nei rapporti umani, lavorativi e sociali; è necessario sapere che un sorriso, può apparire sgradevole pur non presentando problematiche evidenti o patologie, influenzando gli aspetti psicologici dei pazienti/persone. Il Clinico deve essere in grado di comprendere le esigenze psicologiche del paziente, in particolare il “Desiderio, Percezione, Personalità”, affinché sia possibile spiegare al meglio le necessarie scelte terapeutiche e/o estetiche. Nella progettazione di un sorriso questi parametri sono fondamentali e riconducibili alla “comunicazione con il Paziente” e vanno considerati nella valutazione dell’approccio clinico a 360°. Molto spesso i pazienti non sono in grado di identificare le loro aspettative ed i medici devono quindi considerare se le loro esigenze possono essere soddisfatte.
Cosa serve per pianificare un trattamento medico odontoiatrico estetico? Cosa serve per pianificare un sorriso integrato nel viso? Nel bagaglio diagnostico di ogni caso clinico, devono comparire voci come anamnesi, modelli clinici analogici o digitali, esami radiografici, iconografia intra-extraorale, analisi funzionale, analisi estetica dentofacciale, diagnosi intraorale, diagnosi extraorale statica e dinamica, approccio psicologico al paziente, consenso informato, etc..
La virtù del Clinico nei confronti del Paziente sta nel riuscire ad utilizzare un linguaggio che possa essere intuitivo e poco invasivo nel delicato approccio con l’individuo che, sottoponendosi al “sapere” del Dentista Estetico, diventa vero protagonista dell’Odontoiatria Estetica. Poiché la richiesta dei Pazienti è prevalentemente di carattere estetico, dobbiamo soffermarci sulla definizione di “estetica del sorriso” per sapere come farne buon uso. Esiste un concetto di “bellezza” perseguibile in Odontoiatria Estetica? Secondo noi, un sorriso non deve perdere di significato, di attrattiva e personalità, pertanto ha implicazioni psicologiche, sociologiche, comunicative. Solo attraverso una buona comunicazione, potremo rispondere alle esigenze che l’evoluzione ha assunto negli ultimi 50 anni. Comunicare l’estetica oggi è facilmente possibile grazie all’immediata fruibilità che l’Immagine Digitale ci offre, poiché l’immagine è linguaggio universale, facile, immediato e decodificato.
Con il progredire delle tecnologie e l’introduzione della fotografia digitale, sono stati introdotti programmi e protocolli in grado di facilitare sempre più la comunicazione attraverso la previsione del risultato finale del trattamento a cui il paziente sarà sottoposto (Smile Design/Oral Design). In generale il Digital Smile Design prevede l’uso di un software di presentazione (Keynote o PowerPoint secondo C. Coachman) o di software specificatamente dedicati all’odontoiatria; oltre a questi, a livello di previsualizzazione estetica monodimensionale, è possibile usare “Image Editing Software”, descritti in letteratura come PSD (Photoshop Smile Design) da E. Mc. Laren e ADSD (Aesthetic Digital Smile Design) di cui è autore il Dr. Valerio Bini.
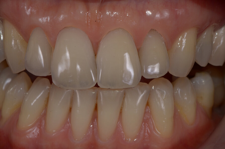
Parti fondamentali di questo metodo sono l’analisi dettagliata del sorriso ed il suo progetto, indispensabili per la formulazione del caso clinico estetico. Il primo step prevede l’acquisizione di immagini e video (Statica e dinamica dento facciale) secondo il protocollo ADSD (Figg. 1-3). L’importazione di questi fondamentali dati nella cartella digitale estetica del paziente saranno complementari all’anamnesi, poiché sono parte integrante dell’esame obiettivo Intra ed Extra orale.
Il secondo Step prevede l’Analisi Estetica secondo le linee guida principali. L’Analisi dinamica del sorriso e l’Analisi Fonetica dento-labiale sono identificate nelle loro caratteristiche, registrando le immagini catturate durante il riposo, la parola e il sorriso, consentendo così una migliore comprensione delle variazioni dei tessuti molli periorali.
Oggi il digitale è realtà affermata e confermata nella vita quotidiana della società nella quale siamo immersi, pertanto il digital workflow odontoiatrico è diventato un elemento professionale alla portata di tutti gli operatori del settore.
_ADSD
È dovere del medico odontoiatra comunicare, spiegando bene al paziente cosa e come si può migliorare un sorriso, come si può personalizzare il proprio; pertanto è necessario pre-visualizzare un’ipotesi di trattamento estetico ideale da sottoporre all’approvazione del paziente, proprio attraverso l’uso delle immagini.
Al fine di soddisfare le esigenze di tutti gli attori di un caso clinico, dal Paziente al Team, la metodica ADSD prevede di poter analizzare e fornire un’indicazione morfologica dimensionale estetica ai volumi dentali, partendo dall’acquisizione di elementi 2D utili all’analisi estetica attraverso la fotografia, strumento che tutti possiamo avere a disposizione nei nostri studi. Lo Smile Design digitale effettuato bidimensionalmente dovrà avere come peculiarità, la possibilità di ottenere la nuova e predicibile “Composizione Dentale Estetica” progettata attraverso l’impiego di immagini 2D a percezione visiva 3D (Picture in Picture). L’elaborazione digitale delle immagini può essere effettuata con diverse modalità secondo le esigenze dello Smile Designer; attualmente ADSD riesce ad espletare le proprie caratteristiche facendo uso di Adobe® Photoshop® CC PS, celebre software riservato a professionisti come Grafici, Fotografi, Architetti.
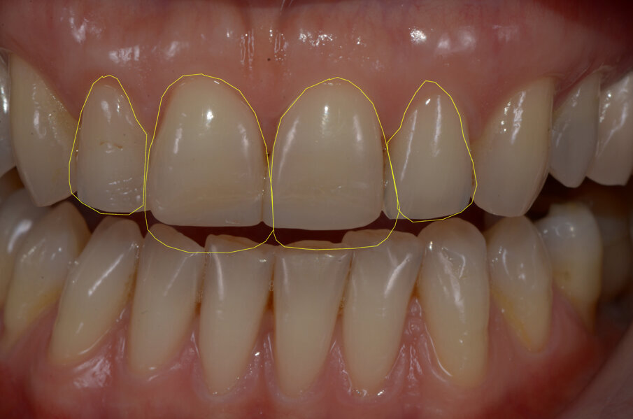
ADSD adotta un set up particolare riservato allo Smile Designer, attraverso il quale è possibile utilizzare questo software così ben elaborato, in modo semplice per il team odontoiatrico. Il metodo ADSD prevede che il risultato fotografico sia più possibile vicino alla realtà clinica delle immagini. Forme, colore, disposizione e armonia della componente dentale estetica inscindibile dalla composizione estetica del viso, rivestono un ruolo primario attraverso la “Percezione Visiva Tridimensionale”, che il Digital Dental Image Editing soddisfa. Una volta importate le immagini nell’area di lavoro del software, vengono necessariamente allineate le fotografie frontali e laterali (DOPP - Digital Orthogonal Projection Planning) per poi sviluppare la mappatura dentofacciale relative a tutte le sue componenti principali (ADSD Digital Face Mapping) (Figg. 4, 5).
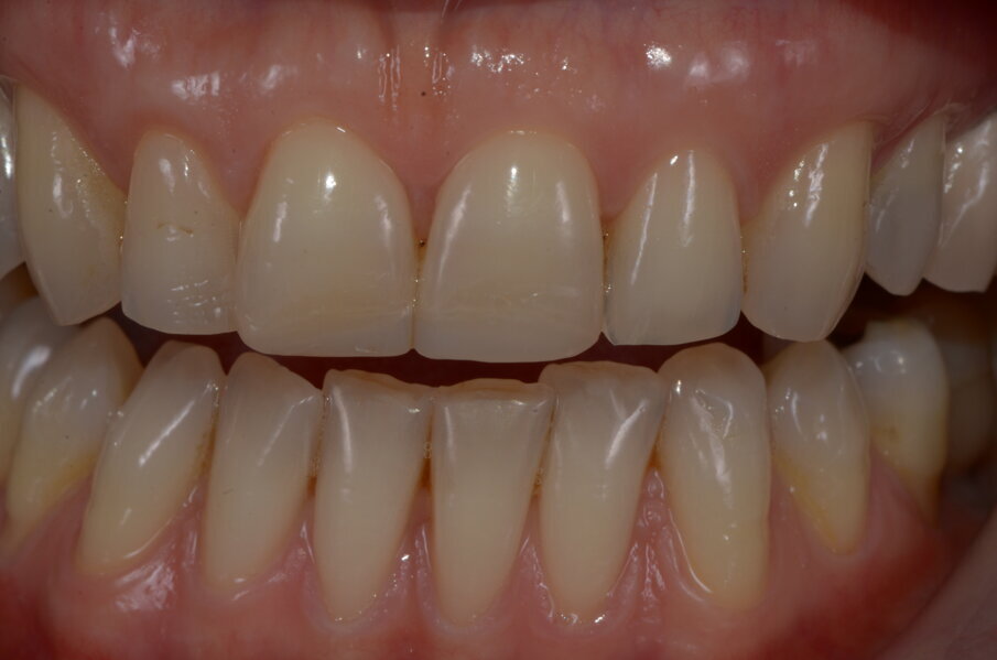
Lo Smile Design o Oral Design è un utile modo di comunicare al paziente “l’idea” attraverso l’informazione visiva di come potrà essere la nuova composizione estetica dentale del sorriso, sinonimo di predicibilità, ottimo strumento da inserire nel linguaggio comunicativo a 360° soprattutto con il team odontoiatrico (Face Aesthetic Medical Team). La modellazione ed il posizionamento conferiscono l’aspetto e la percezione visiva tridimensionale della morfologia dei denti, che il Team Odontotecnico dovrà copiare in fase di modellazione CAD design (Fig. 6).
_3D Modelling
In odontoiatria estetica il ruolo della realtà tridimensionale inizia ad assumere sempre maggiore importanza sia in termini di ottimizzazione del workflow clinico sia per un miglioramento importante dell’efficienza della comunicazione medico-paziente. Il 3D Modelling è una disciplina tecnica che prevede la ricostruzione tridimensionale virtuale di oggetti presenti nel mondo reale. Questa disciplina che trae le sue origini dal mondo dell’architettura e del design viene oggi ampiamente utilizzata in contesti del tutto inusuali come l’ambito biomedico.
L’odontoiatria è stata la prima area specialistica ad utilizzare il 3D Modelling come strumento perfettamente integrato nei processi di lavoro. A seguire questa tecnica è stata ripresa da altre specializzazioni mediche e divenuta oggi frequentemente utilizzata in contesti clinici e di ricerca. Tutto ciò che, in termini tecnici, è affiancato dalla parola “design” di norma può beneficiare della rappresentazione tridimensionale e della modellazione 3D. Per questo lo “smile design” si può definire una specializzazione odontoiatrica che può certamente utilizzare il 3D come strumento di grande supporto per gran parte delle attività cliniche e diagnostiche.
Il 3D nello smile-design permette di superare tutti i limiti imposti dalla tecnologia 2D. Attualmente il 3D consente di disegnare elementi dentali partendo da librerie già presenti in commercio oppure realizzare un personale database partendo da una scansione intraorale (Figg. 7a, 7b).
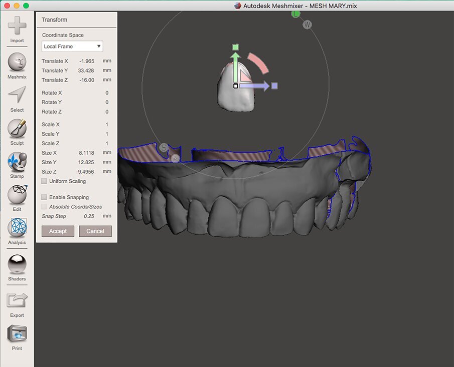
Il vantaggio che la tecnologia 3D offre è indubbiamente molto rilevante: permette cioè di progettare elementi dentali paziente-specifici direttamente in 3D permettendo così un rapido accesso a tutti i sistemi di produzione e di prototipazione rapida. Ci sono decine di software in commercio che consentono di lavorare sul 3D. Tra questi però ce n’è uno che si fa apprezzare per una serie di caratteristiche che lo contraddistinguono dagli altri quali la facilità di utilizzo, il fatto che è completamente gratuito, il fatto che arriva da un’azienda leader nel settore di software 3D e per la sua versatilità davvero infinita, questo software tuttofare si chiama MeshMixer. Consente di lavorare a 360° sulle mesh apportandovi una serie infinita di modifiche (Figg. 8a-8e).
Un miglioramento importante del workflow dello smile-design avviene attraverso la stampa di questi prototipi con le nuove stampanti 3D, questo consente un aumento dell’efficienza nella modalità di comunicazione medico-paziente.
_Prototipazione 3D
L’odontoiatria è, più di tutte, la disciplina che ha consentito un utilizzo molto concreto e realistico della stampa 3D dal punto di vista clinico. Esistono diverse tecnologie di stampa attualmente disponibili ma, in ambito odontoiatrico, le tecnologie maggiormente utilizzate sono essenzialmente SLA e Polyjet.
La tecnologia SLA – Stereolitografia è una delle tecnologie di stampa che utilizza resine fotosensibili per la produzione di oggetti fisici attraverso l’uso di luce laser. Le resine fotosensibili sono resine contenenti fotoattivatori, ossia, particolari molecole che se sottoposte ad un raggio luminoso a una determinata lunghezza d’onda, polimerizzano solidificando. Una sottocategoria della Stereolitografia è la tecnologia DLP, che sta per Digital Light Processing, si tratta sempre di una tecnologia che sfrutta la luce per la polimerizzazione delle resine ma questa volta la sorgente luminosa è costituita da un fascio luminoso fornito da un proiettore LED (non laser).
La tecnologia Polyjet invece utilizza ugelli da cui escono gocce di resina che si depositano sul piatto di stampa e che vengono polimerizzati da una luce diffusa ad una determinata lunghezza d’onda. A differenza della tecnologia SLA la tecnologia polyjet si avvale di macchinari che hanno costi molto alti senza fornire un grande valore aggiunto rispetto a quanto già ottenibile con tecnologie di costo inferiore.
In base alle nostre esperienza preferiamo utilizzare la stampante SLA per la realizzazione di un modello 3D in resina, su questo verrà eseguito la chiave del negativo con un silicone, a questo punto inseriamo la resina acrilica nella mascherina in silicone e si inserisce nella bocca del paziente in attesa del suo indurimento. Nel frattempo che il materiale indurisce si rimuovono gli eccessi del materiale fuori dalla chiave in silicone.
Dopo la polimerizzazione, abbiamo rimosso la mascherina in silicone e rifinito al meglio lo stampo della resina. Ultimate queste fasi si fanno vedere al paziente come la nostra idea di estetica del suo sorriso analizzata prima dalla elaborazione digitale delle foto, e successivamente prototipata in 3D può essere simulato nella sua bocca, e si valuta con lui il piano di trattamento necessario per l’ottenimento del seguente risultato (Fig. 9).
_Discussione
A nostro avviso l’indicazione morfologica ideale del nuovo sorriso da comunicare al paziente rimane sempre la fotografia, e con la metodica ADSD 2D otteniamo delle indicazioni utili anche per il team, il quale può sviluppare attraverso la 3D Modelling un prototipo di mascherina in silicone da testare in bocca con della resina. La potenzialità della previsualizzazione estetica ADSD è quella di dimostrare al paziente quello che si può ottenere dall’analisi estetica di una foto ed un suo possibile piano di trattamento (Figg. 10a-10i).
Ad oggi i problemi in questa comunicazione con il 3D sono la mancanza di una texture che simuli il dente naturale, questo quando viene fatto vedere al paziente crea di solito reazioni negative dettate da una pessima integrazione, che ad oggi può essere ottenuta sola con la fotografia (Fig. 11).
_Conclusione
Nel panorama Odontoiatrico sono state proposte una serie di procedure tecniche che implicano una progettazione del Digital Smile Design, passando dal 2D al 3D. Il presente articolo descrive un metodo alternativo economico e riproducibile per ottenere una prototipazione da una foto digitale del sorriso al modello 3D.
Il Programma Meshmixer dell’elaborazione 3D ha il vantaggio di essere open source e il cui uso richiede una minima curva di apprendimento. Inoltre, da Meshmixer si è in grado di creare con facilità una Digital Dental Personal Database, complementare alla libreria 2D DDPD, che può essere modificata seguendo le regole dello Smile-design, che ha come fine la stampa 3D di un modello in resina caratterizzato da una elevata fedeltà di dettagli.
Bibliografia
- Coachman C. and Calamita M.. Digital Smile Design: A tool for treatment planning and communication in esthetic dentistry, Quintess. Dent. Tech. 35:103, 2012.
- Compend Contin Educ Dent. 2013 Nov-Dec;34(10):772, 774, 776 passim. The Photoshop Smile Design technique (part 1): digital dental photography.
- McLaren EA1, Garber DA2, ueira J3.
- J Clin Orthod. 2015 Aug;49(8):518-24. Invisalign ClinCheck and the Aesthetic Digital Smile Design Protocol. Levrini L.1, Tieghi G., Bini V.2.
- Aesthetic Digital Smile Design - Software-aided aesthetic dentistry - Part I – Bini V. – CAD CAM International Digital Dentistry – 01.2014.
- Aesthetic Digital Smile Design – Software-aided aesthetic dentistry – Part II – Bini V. – CAD CAM International Digital Dentistry – 03.2014.
- Eur J Esthet Dent. 2006 Apr;1(1):62-9. Evaluation of dentolabial parameters as part of a comprehensive esthetic analysis. Fradeani M.1.
- Oral Surg Oral Med Oral Pathol Oral Radiol. 2017 Jun;123(6):651-660. doi: 10.1016/j.oooo.2016.12.011. Epub 2017 Jan 4. Biomaterial shell bending with 3D-printed templates in vertical and alveolar ridge augmentation: a technical note. Draenert FG.1, Gebhart F.2, Mitov G.3, Neff A.4.
- Int J Dent. 2016;2016:6282587. doi: 10.1155/2016/6282587. Epub 2016 Jul 10. For Esthetic Crowns and Veneers. Cattoni F.1, Mastrangelo F.1, Gherlone EF.1, Gastaldi G.2.
- Oral Surg Oral Med Oral Pathol Oral Radiol. 2017 Jun;123(6):651-660. doi: 10.1016/j.oooo.2016.12.011. Epub 2017 Jan 4.
- Biomaterial shell bending with 3D-printed templates in vertical and alveolar ridge augmentation: a technical note. Draenert FG.1, Gebhart F.2, Mitov G.3, Neff A.4.
- The application of parameters for comprehensive smile esthetics by digital smile design programs: A review of literature - Doya Omar , Carolina Duarte - Saudi Dental Journal (2018) 30, 7–12.
- Comparazione tra misurazioni analogiche e digitali nello Smile Design - F.Emilio, P.A. Acquaviva, V.Bini, A.Cerutti - Dentista Moderno oct.2018.
Tag:
L’estetica in odontoiatria richiede sempre più attenzione non solo sull’operatività e il workflow digitale, ma anche e soprattutto...
L’estetica in odontoiatria richiede sempre più attenzione non solo sull’operatività e il workflow digitale, ma anche e soprattutto...
HANNOVER, Germania: un team di ricercatori tedeschi sta sviluppando impianti dentali personalizzati progettati per adattarsi alla struttura mandibolare di ...
La paziente è una donna di 32 anni con amelogenesi imperfetta ipoplasica con anomalie superficiali.
La paziente è una donna di 32 anni con amelogenesi imperfetta ipoplasica con anomalie superficiali.
Sempre più frequentemente si sente parlare di “advanced dentistry”: un’odontoiatria appunto avanzata, evoluta, progredita ed innovativa in grado di ...
Il 29 dicembre scorso il quotidiano La Stampa apre in prima pagina con un articolo intitolato “Da Cuneo alla Croazia con i pendolari dei denti” ...
Il mondo della comunicazione è sempre in evoluzione: suoni, linguaggio e parole si modificano continuamente. Negli ultimi cinquant’anni il ...
Il mondo della comunicazione è sempre in evoluzione: suoni, linguaggio e parole si modificano continuamente. Negli ultimi cinquant’anni il ...
Il dott. Gregorio Tortora condivide la sua esperienza clinica nella gestione delle patologie parodontali, soffermandosi in particolare sulle recessioni ...
Live webinar
mer. 15 aprile 2026
20:00 (CET) Rome
Live webinar
gio. 16 aprile 2026
2:00 (CET) Rome
Linda Hecker MS, BSDH, RDH
Live webinar
gio. 16 aprile 2026
18:00 (CET) Rome
Dr. Pär-Olov Östman, Dr. Robert Gottlander DDS
Live webinar
ven. 17 aprile 2026
18:00 (CET) Rome
Live webinar
ven. 17 aprile 2026
19:00 (CET) Rome
Dr. Stuart Yeaton BDentSc, MOrth
Live webinar
lun. 20 aprile 2026
19:00 (CET) Rome
Dr. Alberto Monje DDS, MS, PhD
Live webinar
mer. 22 aprile 2026
17:00 (CET) Rome
MDT Andreas Chatzimpatzakis
To post a reply please login or register