Search Dental Tribune

ORA-AID cerotto riassorbibile per il cavo orale

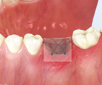
ORA-AID è il primo cerotto intra orale studiato per proteggere qualsiasi sito post-chirurgico.

ORA-AID offre una protezione di circa 8 ore e protegge le ferite da estrazione dentaria, posizionamento di impianti, ferite da prelievo di tessuto connettivo, afte, lesioni suturate di qualsiasi tipo nel cavo orale (ORA-AID non sostituisce le suture).

La guarigione del sito chirurgico non viene alterata dalla presenza di ORA-AID che invece protegge il sito da agenti batterici, dal fumo o da residui di cibo favorendo l’inizio di una guarigione al sicuro da agenti esterni.

In chirurgia rigenerativa ORA-AID aiuta a stabilizzare i tessuti molli e quindi l’innesto nel periodo di formazione del coagulo. Per posizionare ORA-AID è necessario asciugare la ferita con garza sterile, sagomare se necessario il cerotto, staccarlo dalla base e applicarlo tamponando con le dita in modo che aderisca completamente. Se applicato correttamente non ci sono rischi che ORA-AID si distacchi prima di sciogliersi, è quindi un dispositivo medico sicuro e garantito.

ORA-AID, aromatizzato alla menta, è composto da acido polilattico e cellulosa e si scioglie in bocca dopo circa 8 ore. RA-AID è disponibile in 2 formati mm15 x 25 o mm.15 x 50, è ritagliabile con le forbici e sagomabile in qualsiasi forma (è adesivo in tutta la superficie), nel formato 25 x 15 (più comune) ha un costo di € 2,95 cad. + iva 4%.

Per informazioni contattare il distributore esclusivo per l’Italia ROEN s.a.s. – info@roen.it 011.9682604.

advertisement
advertisement