Search Dental Tribune

Articoli

Filtro

È il digitale a spingere il mercato domestico e la produzione vola verso il miliardo

Il 2 luglio la presentazione dello Studio di settore UNIDI: Continua il trend positivo del settore dentale, in particolare i comparti produzione ed export. ...

salvare

KATANA™ Zirconia Block: esperienze cliniche in Italia

All’inizio dell’anno, Kuraray Noritake Dental ha invitato professionisti in campo odontoiatrico provenienti da tutta Europa a Berlino per un simposio ...

salvare

Il trattamento funzionale elastodontico con apparecchi AMCOP: funzione, estetica e postura

L’occlusione, l’estetica e l’odontoiatria minimamente invasiva sono i principali argomenti di discussione della moderna odontoiatria.

salvare

Dispositivi medici: facciamo chiarezza

Il settore dei dispositivi medici riveste in ambito europeo una grande importanza nell'assistenza sanitaria, ed è per questo che è fondamentale chiarire ...

salvare

Nuova SmartLite Pro – molto più di una lampada fotopolimerizzatrice

Principalmente, una lampada fotopolimerizzatrice è un dispositivo per polimerizzare i materiali da restauro. In realtà, la nuova SmartLite Pro di Dentsply...

salvare

Estate: a rischio il sorriso

I nemici del sorriso sono spesso invisibili e, soprattutto in estate, si nascondono dietro comportamenti e alimenti apparentemente “innocui”. Stare ...

salvare
advertisement

Intact Tooth: La prima App Per la Gestione dei tessuti duri

Dopo la metà di luglio sarà disponibile su tutti i dispositivi Android e iOS, o direttamente online al sito intacttooth.cloud, la nuova app Intact Tooth.

salvare

Focus sulle attualità della professione odontoiatrica: parlano i più autorevoli personaggi

Sabato 6 luglio prossimo, al Grand Hotel Baia Verde di Catania, incantevole paradiso cittadino sulla scogliera lavica, si terrà la nona edizione del ...

salvare

Rhein83days: 1.000 partecipanti, un grande successo, una conferma

Dal 6 all'8 giugno a Bologna si è tenuta la terza edizione del Rhein83days, un evento nato nel 2015 con il desiderio di riunire gli esperti di protesi ...

salvare

Nobel Biocare Global Symposium

La Nobel Biocare invita i professionisti del settore dentale a provare la prossima evoluzione dell’odontoiatria implantare al Global Symposium di Madrid.

salvare

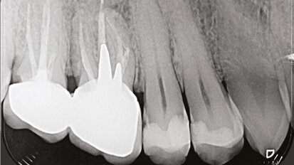
L’utilizzo della Cone Beam Computed Tomography (CBCT) in endodonzia clinica e chirurgica

Da anni gli esami radiografici bidimensionali (2D), le panoramiche dentali e le radiografie periapicali sono usati correntemente per una corretta diagnosi ...

salvare

2019. Il caos delle dichiarazioni. Cosa sta succedendo?

Christopher Bullock, nel lontano 1716, coniò un aforisma destinato a diventare famoso: «è impossibile essere sicuri di qualcosa se non della morte e ...

salvare
advertisement

Protocollo R2C e Single Visit. Presente e futuro dell’endo-restaurativa

Nel corso del congresso “DS World Italy 2019 – Innovation e Solution” promosso dalla Dentsply Sirona a Riccione lo scorso 11-12 aprile, Dental Tribune...

salvare

Intervista: Dott. Hendrik Zellerhoff

Quale operatore del proprio studio odontoiatrico nella cittadina tedesca di Laer e membro della Digital Dental Academy di Berlino, il dott. Hendrik ...

salvare

Apertura alla clinica e prospettive “globali”, l’odontoiatria del terzo millennio promuove l’AIO

Ospiti e relatori di oltre 30 nazionalità, con presenze da tutti i continenti, quasi 250 stranieri su 700 tra partecipanti, relatori ed ospiti. Cinquecento...

salvare

EssenSeal®

EssenSeal® è un sigillante eugenolo a base di ossido di zinco di nuova generazione con olio essenziale dell’albero del tè (Melaleuca), composto da una ...

salvare
advertisement

Utilizzo dello scanner intraorale in ortodonzia

L’evoluzione della tecnologia digitale e dei sistemi di progettazione e la fabbricazione assistita da computer (CAD/CAM) di manufatti ad uso odontoiatrico...

salvare

Dentsply Sirona Cavitron Case Contest: presentati i risultati 2019

Siamo lieti di presentare i risultati dell’edizione 2019 del Cavitron Case Contest, il concorso universitario che Dentsply Sirona organizza dal 2017, con ...

salvare

Con la dipartita di Paolo Vigolo ci saluta un grande dell’Odontoiatria

Il primo pensiero va alla famiglia, ai colleghi e agli amici, ma anche a tutti quelli che hanno avuto modo di poterlo incontrare. Colpiva per la sua ...

salvare

Premio Colgate 2019 - Vince un progetto dell’Università degli Studi di Trieste

Tema: “Fluoroprofilassi in studio e a casa: metodi e strumenti a confronto per motivare il paziente”.

salvare
advertisement

L’uso del microscopio in endodonzia

Dental Tribune Italia ha avuto modo di intervistare il Dott. Alberto Rieppi in merito all’evoluzione dell’endodonzia e all’importanza che riveste ...

salvare

Carcinoma della mammella e salute orale: le evidenze in letteratura

Il ruolo dell’odontoiatra moderno non si può configurare come quello di un mero guaritore di dentina e richiede l’acquisizione di nuove consapevolezze ...

salvare
advertisement

ECM: come si deve comportare il professionista

L’educazione continua in medicina (ECM) e i relativi crediti sono argomento di grande attualità, sia per l’imminente chiusura del triennio 2017-2019 ...

salvare

Sterilizzazione e infezioni crociate in odontoiatria

Per infezioni crociate si intendono quelle malattie infettive che riconoscono l’uomo come sorgente e si trasmettono tra le persone mediante contatto ...

salvare

Al via il primo crowdfunding italiano sull’Odontoiatria Sociale

Il 30 aprile è partito il primo C italiano sull'odontoiatria sociale promosso dal Coordinamento di Odontoiatria Sociale in Rete nell’ambito della ...

salvare

MDR: l’industria europea è pronta, l’impianto regolatorio è in ritardo

Milano, 4 Giugno 2019 - Le diverse federazioni europee rappresentanti l’industria dei dispositivi medici, tra cui FIDE (European Dental Industry) - ...

salvare
advertisement

«Per molte persone, spazzolare i denti è un’azione inconsapevole. ITOP cambia questo modo di agire»

Benché lo spazzolamento dei denti sia il più decisivo tra i fattori di prevenzione delle affezioni della bocca, solo pochi pazienti e professionisti del ...

salvare

Cure odontoiatriche per tutti: Russia, America e l’“ONU” dei dentisti ne discutono insieme a Chia

Non solo dedizione al lavoro, grandi capacità chirurgiche, cliniche, manuali. Il dentista di domani deve saper vedere nei problemi del cavo orale la spia ...

salvare

Analisi meccanica delle specifiche di tre diversi dispositivi di ritenzione protesica su impianti

Scopo di questo lavoro è l’analisi meccanica delle caratteristiche di tre diversi dispositivi di ritenzione protesica su impianti. Attraverso ...

salvare

La ricerca scopre che l’odontofobia non è una barriera al trattamento

Londra, Regno Unito: È stato stabilito che i pazienti con la fobia dell’odontoiatra possono spesso ritardare la visita dal dentista o evitarlo del tutto....

salvare
advertisement
advertisement