Search Dental Tribune

Articoli

Filtro

Mentadent e ANDI rinnovano ed ampliano il loro impegno per la salute orale

39° mese della prevenzione dentale. A ottobre la prevenzione passa anche dalle visite dentistiche e dall’informazione sui canali social.

salvare

Fascino, innovazione ed emozioni: il congresso Dentsply Sirona World a Las Vegas

Dal 3 al 5 ottobre 2019 a Las Vegas, Nevada, si è svolto con grandi aspettative e un ancor più grande pubblico, il congresso Dentsply Sirona World dal ...

salvare

Analisi del rischio clinico odontoiatrico: la nuova sfida per il dentista del futuro

Qualcuno ha cominciato a parlarne già dal 2017, ma solo quando il Collegio dei Docenti, lo scorso aprile, ha dedicato a questo tema un l’intero Congresso...

salvare

L’approccio “Tooth-Like” in implantologia

La perfezione e la lunga resistenza agli insulti strutturali e biologici rende il dente naturale un complesso composito che dovrebbe ispirare la moderna ...

salvare

Intervista: "Le persone rimangono sorprese dalle illusioni sulla modalità di spazzolare i denti"

Con le tecniche, la conoscenza e l'uso di strumenti adeguati, come insegnato in iTOP, è possibile mantenere un sano regime di igiene orale volto a ...

salvare

Pietro di Michele candidato alla Presidenza SIDO per l'anno 2023

Di seguito riportiamo la lettera di candidatura del dott. Pietro di Michele.

salvare
advertisement

Prevenzione odontoiatrica più leggera per i cittadini, AIO non esclude un patto con il Governo

«Siamo pronti a ragionare con il governo su un grande progetto di prevenzione rivolto a tutti gli italiani e in particolare alle fasce deboli. Studieremo ...

salvare

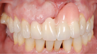
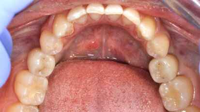
Gestione dei tessuti molli in un caso di malposizionamento implantare in area estetica

Da un punto di vista estetico, un impianto malposizionato specialmente nella regione anteriore, porta inevitabilmente alla realizzazione di un lavoro ...

salvare

Intervista al prof. Zucchelli sulla gestione dei tessuti molli

Il dr. Giovanni Zucchelli è professore all’Università di Bologna in Italia e presidente eletto dell’Accademia Italiana di Osteointegrazione. È ...

salvare

Mentadent e ANDI rinnovano ed ampliano il loro impegno per la salute orale

A ottobre la prevenzione passa anche dalle visite dentistiche e dall’informazione sui canali social.

salvare

CLEARFIL Universal Bond Quick: adesso con tappo flip-top

Come azienda, Kuraray Noritake Dental è impegnata non solo a creare prodotti innovativi ma anche a progredire partendo dai propri successi. L'esempio ...

salvare

Trasformare il paziente in un “brand ambassador”

“Come sta cambiando il ruolo dell’odontoiatra nella relazione con il paziente? Potremmo pensare ad un passaggio da professionista a ...

salvare
advertisement

Ortodonzia intercettiva… oggi: viaggio dall’analogico al digitale

L’ortodonzia intercettiva rappresenta un momento fondamentale della terapia ortodontica del paziente in età pediatrica, in quanto si pone l’obiettivo ...

salvare

Ritrovare il sorriso: un approccio interdisciplinare

Ritrovare un bel sorriso! Una terapia che fa recuperare la gioia di vivere a chi l’ha persa per cause diverse: dai traumi, alla carie, alla malattia ...

salvare

Il “profiling” per conoscere meglio il nostro interlocutore

Profiling, vale a dire delineare il profilo di chi abbiamo di fronte identificando dati personali circa le sue caratteristiche e le sue abitudini. Questo ...

salvare

Anche l’Igienista Dentale fa la “sua” Diagnosi

L’ortognatodonzia è la branca dell’odontoiatria finalizzata a correggere le discrepanze delle ossa mascellari e le malocclusioni dentarie per ...

salvare
advertisement

Gerhard Seeberger: “Assicureremo i migliori trattamenti e cure mediche ai nostri pazienti”

Il recente ADA FDI World Dental Congress 2019, tenutosi presso il Moscone Center di San Francisco dal 4 all'8 settembre, ha visto la conclusione del mandato...

salvare

Caritas Italiana e DentalPro avviano un progetto di cure odontoiatriche pro bono

I centri dentistici DentalPro collaboreranno con la rete degli Empori Solidali delle Caritas diocesane.

salvare

Videocamere integrate nelle lampade operatorie

Questo è il primo di una serie di articoli che ha lo scopo di guidare l’operatore nei fondamenti della registrazione archiviazione, editing, animazione e...

salvare

Uno sguardo al presente e al futuro prossimo dell’Odontoiatria digitale

Dental Tribune Italia, ha avuto modo di intervistare il dott. Giuseppe Luongo, esponente di spicco della Digital Dentistry Society, in merito alle attuali e...

salvare
advertisement

Tecnologia e odontoiatra: il braccio e la mente

Il dr. Quaranta, che sarà relatore al III Congresso Management dello studio e della professione odontoiatrica “La diagnosi come chiave di successo dello ...

salvare

Case report: intervento di chirurgia ricostruttiva a seguito di terapia parodontale non chirurgica

Paziente di sesso femminile, 30 anni, non fumatrice, con anamnesi sistemica silente, assenza di allergie a farmaci e sostanze alimentari, familiarità ...

salvare
advertisement

Comprendere le esigenze manifeste e i bisogni latenti del paziente che si siede sulla poltrona

Il dr. Valerio Bini svolge la libera professione occupandosi prevalentemente di Odontoiatria Estetica e Smile Design. Membro Attivo IAED (Italian Academy of...

salvare

Spesa sanitaria secondo i dati ISTAT: in calo le cure odontoiatriche

Come ogni anno in questo periodo, ISTAT ha reso noti i primi risultati relativi alle indagini del 2018, ai quali faranno seguito intorno a dicembre 2019 i ...

salvare

Dental sleep medicine: think outside the box

Venerdì 20 Settembre si terrà a Parma il congresso nazionale della Società Italiana di Medicina del Sonno Odontoiatrica. Il titolo del convegno è Dental...

salvare

Allergie da contatto della mucosa orale

Le reazioni di ipersensibilità di tipo ritardato o reazioni allergiche di tipo IV possono causare diverse manifestazioni orali. Gli antigeni responsabili ...

salvare
advertisement

La collaborazione tra igienista dentale e odontoiatra nella fase diagnostica

Nell’era della parcellizzazione professionale e della sanità “in svendita”, il tempo riservato alla comunicazione tra odontoiatra e igienista si sta ...

salvare

Micro-Apical Placement System

Il sistema MAP (Micro-Apical Placement System) è un carrier straordinario ed efficace per il posizionamento di precisione dei materiali per otturazione ...

salvare

Ministero della salute risponde sui confini tra Odontoiatria e Medicina Estetica

Il Ministero della Salute ha risposto ai quesiti che la Direzione Generale delle Professioni Sanitarie e delle Risorse Umane del Servizio Sanitario ...

salvare

Una protezione naturale con CURAPROX Perio Plus+

CURAPROX Perio Plus+, una nuova generazione di collutori, gel e dentifricio contenenti la corretta quantità di clorexidina per ogni tipologia di ...

salvare
advertisement
advertisement