Search Dental Tribune

L’applicazione BOB: la motivazione efficace nell’era della smart technology

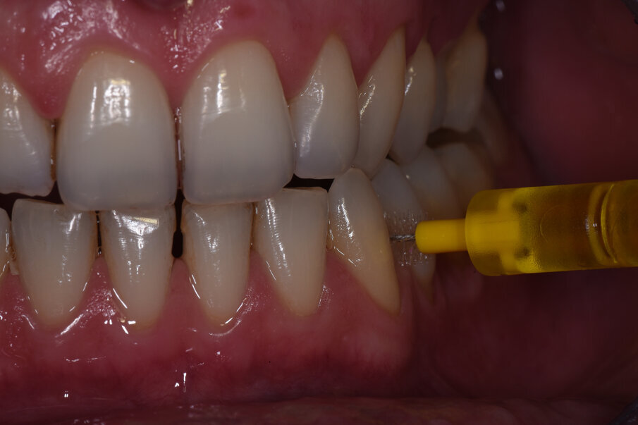
Fig. 12 - Si mostra al paziente, grazie all’ausilio dell’app, come le differenti colorazioni di scovolini interdentali utilizzati, corrispondano e si adattino ai distinti spazi interprossimali presenti.
G. M. Nardi, C. Colafrancesco, R. Di Giorgio

G. M. Nardi, C. Colafrancesco, R. Di Giorgio

ven. 18 dicembre 2020

salvare

Esiste una stretta relazione tra contatto, contorno e forma degli elementi dentari che prende il nome di spazio interprossimale (o spazio interdentale).

Non si tratta solo di spazio, ma anche di tessuto gengivale interdentale, dunque un’unica area anatomica ed istologica. L’elevata incidenza di lesioni cariose e di malattie parodontali nello spazio interprossimale è in parte il risultato di quest’area, la quale appare critica sia in quanto habitat ideale alla proliferazione di biofilm batterico che per la difficoltà oggettiva nel mantenimento dell’igiene orale domiciliare del paziente1. La conoscenza e l’utilizzo delle recenti tecnologie diventa, dunque, indispensabile nella prevenzione e nell’efficacia delle performance di mantenimento della salute orale del paziente. Diverse le applicazioni dedicate e diversi sono anche gli studi negli ultimi anni che mirano al supporto della loro efficacia3.

Come mostrato da recenti studi, lo spazzolino aiuta il paziente nella rimozione di biofilm batterico solo fino al 70%. E il restante 30%? Come spiegarlo al meglio e come motivare il paziente soprattutto sull’importanza dell’utilizzo combinato dei giusti presidi di igiene domiciliare? Come spiegare l’importanza del non tralasciare gli spazi interprossimali, vista anche l’efficacia dei recenti spazzolini interdentali rispetto all’utilizzo del filo interdentale?L’App-BOB studiata dal team di Prevention One, è uno strumento di gestione e monitoraggio facile ed efficace che motiva e crea una routine di igiene orale migliorata per i pazienti.

Materiali e metodi
BOB è l’acronimo inglese di Bleeding On Brushing, ovvero sanguinamento allo spazzolamento. Si tratta di un pratico indice di sanguinamento, ottenuto con l’utilizzo condiviso con il paziente dello scovolino durante la seduta di igiene orale professionale. Con l’ausilio di un’apposita sonda che presenta tacche colorate (codice colore), viene scelto lo scovolino ideale per ogni spazio interprossimale. I siti che presentano sanguinamento durante lo spazzolamento interdentale, vengono registrati simultaneamente in una cartella dentale via web. Il paziente potrà osservare e scegliere il codice colore dello scovolino corrispondente alle differenti dimensioni dei propri spazi interdentali e gli verrà indicato di osservare la presenza di eventuali siti infiammati, come mostrato nel valore finale prodotto dall’app-BOB.

Durante la visita di follow-up, il paziente verrà motivato grazie all’auspicabile valore di un punteggio BOB più basso rispetto a quello registrato durante la prima visita. Questo a riprova dell’efficacia dello spazzolamento interdentale domiciliare effettuato. Questo ausilio visivo risulta facilmente comprensibile al paziente ed il software guida sia il professionista che il paziente attraverso tutta la procedura di compilazione. L’app-BOB è stata ideata per un utilizzo semplice ed intuitivo.

Case report
Qui presentiamo il caso di un giovane paziente, in apparente buono stato di salute sistemica (Fig. 1). Il paziente, già motivato ad un efficace controllo dell’igiene orale (Fig. 2), mostra di avere un buon controllo di placca batterica, ad esclusione delle zone interprossimali. Si passa poi all’attenta osservazione clinica delle caratteristiche anatomiche e tissutali del cavo orale e degli spazi interprossimali. Le immagini ci mostrano la presenza di biofilm batterico e tartaro in particolare nella zona retro-incisivale degli elementi dentali sia dell’arcata superiore che inferiore (Fig. 3).

Successivamente, con l’ausilio del rivelatore di placca tritonale (Figg. 4, 5), viene eseguito l’approccio clinico D-BIOTECH (Dental BIOfilm Detection Topographic Technique, Nardi GM, 2017) che permette all’operatore di evidenziare la topografia del biofilm batterico (Fig. 6). Si riscontra e viene condivisa visivamente con il paziente la presenza di biofilm batterico. Questo non solo negli spazi interprossimali, ma anche nella regione linguale e palatale (Fig. 6). Si procede alla decontaminazione del cavo orale con apposita strumentazione meccanica ad ultrasuoni (COMBI touch Mectron) (Fig. 7). Si controlla l’efficacia del debridement con la sonda parodontale (Fig. 8), passando all’istruzione e alla modifica delle pratiche di igiene domiciliare del paziente (Fig. 9). Si passa poi alla condivisione con il paziente della scelta dei diversi presidi per una più efficace igiene domiciliare (Fig. 10).

Per ciascuna ampiezza anatomica di spazio interdentale sono necessarie diverse dimensioni di spazzolini interdentali. Assicurarsi della dimensione giusta da far utilizzare al paziente risulta fondamentale poiché una misura troppo piccola può essere inefficace o addirittura, qualora risulti troppo grande, il paziente potrebbe, forzandone l’utilizzo, rischiare di danneggiare i tessuti. Gli scovolini pensati all’utilizzo combinato con l’app-BOB (linea CPS Prime di Curaprox) si suddividono per colore e forma. Soddisfano tutte le diversità anatomiche di spazio interdentale presenti, dal più piccolo al più grande:

  • CPS 06 (Blu): 0.6 mm / 2.2 mm;
  • CPS 07 (Rosso): 0.7 mm / 2.5 mm;
  • CPS 08 (Rosa): 0.8 mm / 3.2 mm;
  • CPS 09 (Giallo) 0.9 mm / 4.0 mm;
  • CPS 011 (Verde) 1.1 mm / 5.0 mm.

Dopo aver creato la cartella dentale del paziente presente nell’app-BOB, questo viene istruito al corretto utilizzo dei diversi scovolini interdentali: l’applicazione permette di registrare facilmente la formula dentaria del paziente ed anche differenziare, con le diverse colorazioni presenti, l’eventuale presenza di corone protesiche, impianti o elementi mancanti.

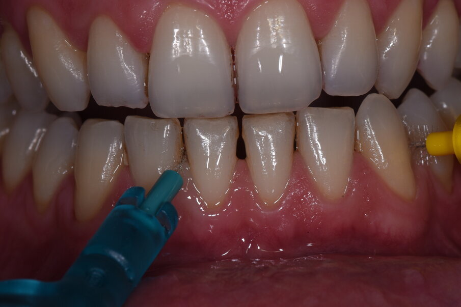
Si mostra poi al paziente, grazie all’ausilio dell’app, come le differenti colorazioni di scovolini interdentali utilizzati, corrispondano e si adattino ai distinti spazi interprossimali presenti (Figg. 11-14). I dati che si registrano nella cartella sono: la presenza di sanguinamento nei siti interdentali dopo l’inserimento dello scovolino negli spazi interprossimali e le diverse colorazioni dei presidi scelti ed utilizzati nei diversi siti. Qui di seguito i singoli scovolini utilizzati: il verde CPS 011 (Fig. 11), il rosso CPS 07 (Fig. 12), il giallo CPS 09 (Fig. 13) e il blu CPS 06 (Fig. 14).

La seduta di igiene professionale viene poi completata con trattamenti personalizzati di remineralizzazione. L’ultimo passaggio permette la condivisione con il paziente tramite tablet, della sua situazione clinica. Il calcolo che l’app-BOB esegue, basandosi sugli indici inseriti, è espresso in percentuale. La percentuale, nel caso qui analizzato, ha dato come valore dello stato di infiammazione interdentale un 50% (Fig. 15). Il paziente viene pertanto sensibilizzato sul suo stato di infiammazione severa (che solitamente riporta valori superiori al 50%). Il risultato finale di salute gengivale e la relativa mappa riepilogativa dei diversi presidi scelti per l’igiene domiciliare degli spazi interprossimali, viene inviata tramite e-mail. Questa rappresenta una guida visiva al miglioramento di igiene orale domiciliare. Alla visita di follow-up (dopo una sola settimana), il paziente viene sottoposto alla registrazione del sanguinamento interdentale tramite l’utilizzo degli scovolini indicati. In questo caso l’applicazione ha mostrato una percentuale di infiammazione pari all’8% (ovvero, leggera infiammazione). È stata infatti riscontrato sanguinamento solo in 2 siti degli iniziali 26 spazi interdentali (Fig. 16). Il risultato, condiviso poi con il paziente, ha permesso una maggiore sensibilizzazione da parte sua ad eseguire la pulizia con maggiore costanza (Fig. 17).

Conclusioni
La comunicazione professionista-paziente migliora l’efficacia dell’igiene domiciliare ed evolve positivamente grazie al supporto visivo dell’app-BOB.

Bibliografia

  1. Dent Clin North Am 1980 Apr; The interdental space. H H Takei.
  2. Texting and Mobile Phone App Interventions for Improving Adherence to Preventive Behavior in Adolescents: A Systematic Review. Sherif M Badawy, Lisa M Kuhns JMIR Mhealth Uhealth. 2017 Apr; The effect of using a mobile application (“WhiteTeeth”) on improving oral hygiene: A randomized controlled trial Janneke F. M. Scheerman, Berno van Meijel, Pepijn van Empelen, Gijsbert H. W. Verrips, Cor van Loveren, Jos W. R. Twisk, Amir H. Pakpour, Matheus C. T. van den Braak, Gem J. C. Kramer. Int J Dent Hyg. 2020 Feb.
  3. J Periodontol. Author manuscript; available in PMC 2019 May 1.Published in final edited for J Periodontol. 2018 May; 89(5): 558–570. PMID: 29520910 A Network Meta-analysis of Interproximal Oral Hygiene Methods in the Reduction of Clinical Indices of Inflammation Georgios A. Kotsakis,* Qinshu Lian,† Andreas L. Ioannou, Bryan S. Michalowicz, Mike John and Haitao Chu.
To post a reply please login or register
advertisement
advertisement